Aphtose buccale
Aphtose buccale
Image
Granulome péri et intraglomérulaire
GLOMERULONEPHRITE
Image
Glomérule normal
GLOMERULONEPHRITE
Image
Glomérulonéphrite extramembraneuse stade II (imprégnation argentique)
GLOMERULONEPHRITE
Image
Glomérulonéphrite membrano-proliférative
GLOMERULONEPHRITEGLOMERULAIRE
Image
Nécrose du floculus
GLOMERULONEPHRITE
Image
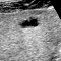
Kyste hépatique simple
TUMEURS DU FOIE
ECHINOCOCCOSE HEPATIQUE
Image
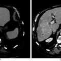
Nodule typique de CHC sur foie de cirrhose
TUMEURS DU FOIE
Image
Rachis thoracique
TUBERCULOSE
Image
Onychomycose sous-unguéale disto-latérale
ONYCOMYCOSE
Image
Intertrigo
INTERTRIGO
Image
Ongles équisegmentés ou ongles de Lindsay
ONGLES INFORMES
INSUFFISANCE RENALE CHRONIQUE
Image
Dermatophytie modifiée par des corticoïdes
TEIGNE
CORTICOSTEROIDES
Image
Eczéma du mamelon
ECZEMA
ECZEMA DU MAMELON
Image
Dermatose plantaire juvénile
DERMATOSES DU PIED
Image
Nodule hépatique
CARCINOME HEPATOCELLULAIRE
Image
Ongle de Terry
ONGLE
ONYCHOPATHIES
LEUCONCHIE TOTALE
Image
Eczéma de contact
ECZEMA
Image
Teigne tondante
TEIGNE
Image
Image
Image
Électrocardiogramme normal
ELECTROCARDIOGRAPHIE
Image
Sarcoïdose cutanée sur un tatouage
SARCOIDOSE
TATOUAGE
Image