Skip to main navigation
Header navigation
Newsletters
Librairie
Plus
Menu du compte de l'utilisateur
S'abonner
Bookmark page
Sous menu plus
larevuedupracticien
larevuedupracticien
La rédaction
La rédaction
Indépendance
Indépendance
DPC
DPC
JNMG
JNMG
Annonces
Annonces
E-suppléments
E-suppléments
La Revue du Praticien
Navigation principale
Actualités
Vient de paraître
Tests
Culture
Recherche
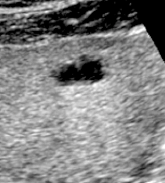
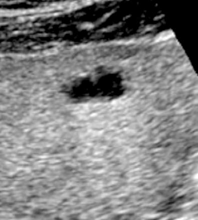
Kyste hépatique simple
Lire plus tard
Partager
Imprimer
Ce contenu est exclusivement réservé aux abonnés
Fil d'Ariane
Image
Kyste hépatique simple
La Revue du Praticien - Lionel Arrivé
Echographie. Image anéchogène avec un renforcement postérieur.
Lire aussi
Article Web
Enfants conçus par PMA : un risque accru de cancer ?
Article Web
Cancer du foie : mieux repérer les patients à risque
Article
Tumeurs hépatiques
Article
Diagnostic des tumeurs hépatiques bénignes
Article
Métastases hépatiques : quel est l’apport de la radiologie interventionnelle ?