Skip to main navigation
Header navigation
Newsletters
Librairie
Plus
Menu du compte de l'utilisateur
S'abonner
Bookmark page
Sous menu plus
larevuedupracticien
larevuedupracticien
La rédaction
La rédaction
Indépendance
Indépendance
DPC
DPC
JNMG
JNMG
Annonces
Annonces
E-suppléments
E-suppléments
La Revue du Praticien
Navigation principale
Actualités
Vient de paraître
Tests
Culture
Recherche
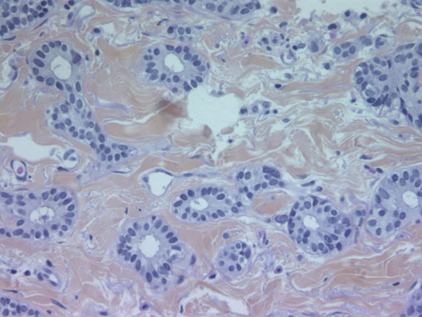
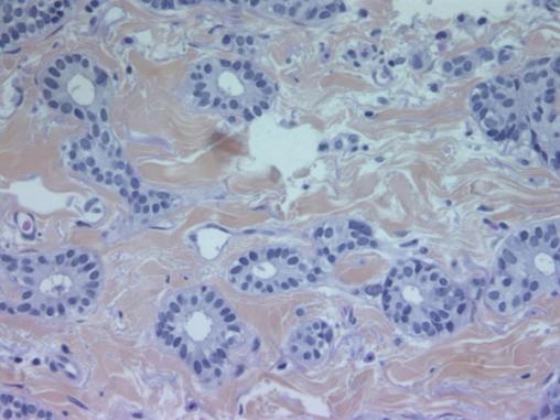
Tumeurs du sein - Tumeur exprimant fortement les récepteurs aux estrogènes
Lire plus tard
Partager
Imprimer
Ce contenu est exclusivement réservé aux abonnés
Fil d'Ariane
Image
Tumeurs du sein - Tumeur exprimant fortement les récepteurs aux estrogènes
© Frédérique Penault-Llorca - La Revue du Praticien
Marquage nucléaire.
Lire aussi
Article Web
Cancer du sein et de la prostate : NutriNet-Santé pointe du doigt les émulsifiants
Article Web
Cancer du sein : nouvelles recos sur les dosages à ARN
Exercice
Testez-vous sur l’item 290
Article Web
Cancers du sein : des progrès !
Article Web
Cancer du sein : faut-il dépister dès 40 ans ?
Article
Avancées thérapeutiques dans le cancer du sein HER2+