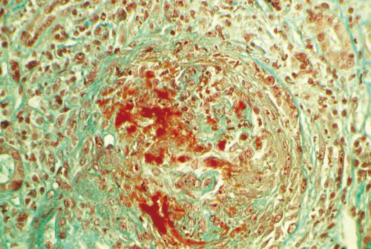
La Revue du Praticien - Christian Jacquot Nécrose du floculus et prolifération extracapillaire en croissant au cours d’une glomérulonéphrite par anticorps anti-membrane basale glomérulaire.