Madame A., 51 ans, est admise aux urgences pour une dyspnée aiguë. Elle est d’origine malienne, ne fume pas et ne boit pas d’alcool. Son seul antécédent est une hypertension artérielle traitée par amlodipine. Elle se sent inhabituellement fatiguée depuis plusieurs jours, et a du mal à respirer depuis ce matin. Elle n’a pas noté de fièvre ou de frissons, et n’a pris aucun médicament récemment.

À l’accueil, les paramètres vitaux sont les suivants : pression artérielle (PA) : 152/85 mmHg ; fréquence cardiaque (FC) : 103 btm ; température (T°) : 36 °C ; saturation en oxygène (SpO2) : 91 % en air ambiant.
Question 1 - Parmi les propositions suivantes, quels diagnostics vous semblent compatibles avec ce tableau clinique ?
L’absence de fièvre rend ce diagnostic improbable.
Toujours l’évoquer devant une dyspnée aiguë.
L’absence d’antécédent d’asthme et la désaturation rendent ce diagnostic improbable.
À évoquer car possible cardiopathie hypertensive.
La désaturation et le caractère aigu rendent ce diagnostic improbable.
À l’examen clinique, vous retrouvez des signes de détresse respiratoire aiguë avec une polypnée et un tirage sus-claviculaire, ainsi que des crépitants bilatéraux à l’auscultation. Les bruits du cœur sont réguliers et sans souffle. Vous ne retrouvez pas d’œdème des membres inférieurs ni de turgescence jugulaire. Vous constatez une dégradation progressive de l’état neurologique avec l’apparition de troubles de la conscience. Le reste de l’examen est sans particularité.
Question 2 - Parmi les propositions suivantes, quel(s) diagnostic(s) vous semble(nt) compatible(s) avec ce tableau clinique ?
L’absence de syndrome infectieux rend ce diagnostic improbable.
Les crépitants bilatéraux doivent faire évoquer un autre diagnostic.
Les crépitants bilatéraux doivent faire évoquer un autre diagnostic.
Cardiogénique ou lésionnel.
Il s’agit d’une maladie chronique. Les crépitants « velcro » prédominent généralement aux bases.
L’association d’une détresse respiratoire aiguë avec des crépitants bilatéraux réduit le champ des diagnostics possibles, qui restent dominés par l’œdème pulmonaire, soit cardiogénique (bien qu’ici on ne retrouve pas d’autres signes d’insuffisance cardiaque), soit lésionnel (même si le contexte n’apporte pas de cause évidente ici). Une origine infectieuse est rendue peu probable par l’absence de syndrome infectieux. Une hémorragie intra-alvéolaire pourrait être évoquée même si ce diagnostic reste rare.
Les gaz du sang réalisés en urgence retrouvent : pH = 7,24 ; PaO2 = 70 mmHg (sous 15 L/min d’oxygène) ; PaCO2 = 47 mmHg ; HCO3- = 20,3 mmol/L ; lactate = 3,7 mmol/L.
Question 3 - Parmi les propositions suivantes, laquelle (ou lesquelles) est (sont) exacte(s) ?
Attention à bien prendre en compte l’apport d’oxygène dans l’interprétation de la PaO2.
Oui, car PaO2 + PaCO2 < 120 mmHg.
Oui, car présence d’une hypercapnie et d’une hypoxémie.
Les gaz du sang confirment l’extrême gravité du tableau clinique. Il existe une hypoxémie profonde (la PaO2 serait certainement < 60 mmHg sans oxygène puisqu’elle est basse malgré un débit maximal). La présence d’une hypercapnie témoigne d’une hypoventilation alvéolaire et probablement d’un début d’épuisement respiratoire. L’hypercapnie n’est probablement pas préexistante, car les bicarbonates ne sont pas élevés (absence de compensation). L’acidose est mixte, à la fois respiratoire (hypercapnie) et métabolique (lactatémie).
Question 4 - Parmi les propositions suivantes, laquelle (ou lesquelles) proposez-vous dans l’immédiat ?
À éviter absolument sous peine d’arrêt hypoxique immédiat !
Le débit d’oxygène est déjà maximal et n’a pas pu empêcher la dégradation rapide de la patiente. L’état clinique et les gaz du sang indiquent un épuisement respiratoire rendant indispensable une ventilation mécanique rapide pour éviter un arrêt hypoxique. La VNI est contre-indiquée en cas de troubles de la conscience et inutile en cas d’épuisement respiratoire. L’ECMO pourra être discutée dans un deuxième temps en cas d’échec de la ventilation mécanique à restaurer une PaO2 adéquate.
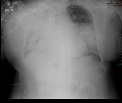
La patiente est rapidement mise sous ventilation mécanique après intubation en séquence rapide. Une radiographie thoracique est réalisée (figure 1) :
Figure 1 (source : É. Crickx)
Question 5 - Parmi les propositions suivantes, laquelle (ou lesquelles) est (sont) exacte(s) ?
La radiographie est réalisée au lit après intubation, l’index cardiothoracique n’est pas évaluable dans ces conditions. On note un syndrome alvéolaire bilatéral (opacités floconneuses) prédominant à droite.
Vous recevez les résultats des examens biologiques suivants :
– ionogramme : Na+ : 138 mmol/L ; K+ : 5 mmol/L ; Cl- : 98 mmol/L ; HCO3- : 20,3 mmol/L ; Ca2+ : 1,99 mmol/L ; urée : 18,8 mmol/L ; créatinine : 138 µmol/L (dernière mesure le mois dernier : 70 µmol/L) ;
– numération formule sanguine (NFS) : GB : 20,28 G/L dont PNN : 17 G/L et lymphocytes : 2,36 G/L ; Hb : 8 g/dL ; plaquettes : 570 G/L ;
– bandelette urinaire (BU) : sang +++ ; protides ++ ; leucocytes ++ ; nitrites –
Question 6 - Quel mécanisme principal soupçonnez-vous être à l’origine de l’insuffisance rénale aiguë présentée par la patiente ?
N’explique pas les anomalies à la BU (habituellement pas d’hématurie/protéinurie).
N’explique pas les anomalies à la BU (habituellement leucocytes++ mais pas/peu d’hématurie/protéinurie).
Pas d’argument pour ce diagnostic.
N’explique pas les anomalies à la BU.
La présence de sang, de protides et de leucocytes en abondance dans les urines oriente vers une néphropathie glomérulaire, pouvant s’intégrer dans le cadre d’une glomérulonéphrite rapidement progressive. Il existe probablement une néphropathie hypertensive sous-jacente mais n’expliquant pas l’épisode actuel (dernière créatinine était normale).
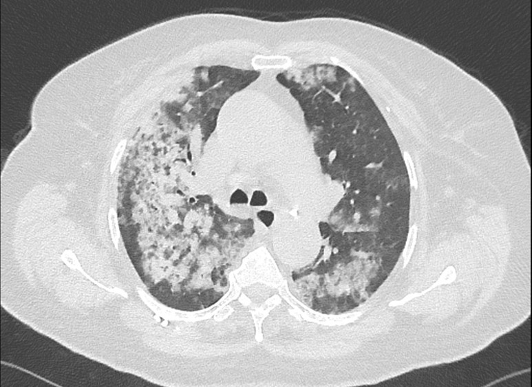
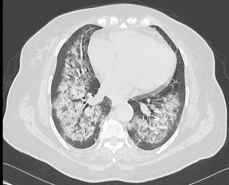
Vous confirmez la présence d’une protéinurie à 2,8 g/24 h. L’infirmière vous appelle car elle a constaté la présence de sang dans la sonde d’intubation. Un scanner thoracique est réalisé (figures 2a et 2b) :
Figure 2a (source : É. Crickx)
Figure 2b (source : É. Crickx)

 
Question 7 - Parmi les propositions suivantes, laquelle (ou lesquelles) est (sont) exacte(s) ? 
Le scanner montre la présence d’opacités alvéolaires floues, confluentes et prédominant en périhilaire, tout en épargnant les régions sous-pleurales. Cet aspect est évocateur d’hémorragie intra-alvéolaire.
Question 8 - Parmi les propositions suivantes, quel diagnostic vous semble le plus probable au regard de l’ensemble du tableau clinique, radiologique et biologique ?
Le tableau est celui d’un syndrome « pneumo-rénal ». Sur le plan pulmonaire, l’association d’une détresse respiratoire avec présence d’opacités alvéolaires, d’une hémoptysie et d’une anémie doit faire évoquer une hémorragie intra-alvéolaire. Ceci est conforté par la présence d’une atteinte rénale probablement glomérulaire évoquant une maladie immunologique sous-jacente. L’absence de fièvre et l’aspect radiologique rendent peu probable une infection, malgré un syndrome inflammatoire biologique. Un œdème pulmonaire ne peut expliquer l’atteinte rénale glomérulaire, et aucun autre signe d’insuffisance cardiaque n’a été retrouvé.
Vous suspectez une hémorragie intra-alvéolaire.
Question 9 - Parmi les propositions suivantes, laquelle (ou lesquelles) est (sont) exacte(s) ?
Le tableau n’est pas évocateur d’une tuberculose pulmonaire.
Il faut bien distinguer une hémoptysie d’origine bronchique (fréquente, comme observée dans la tuberculose ou les cancers bronchiques), d’une hémorragie intra-alvéolaire (diagnostic rare), où le saignement est issu des capillaires pulmonaires, comme ici. Les causes d’hémorragie intra-alvéolaire sont nombreuses. On peut distinguer les causes immunologiques – principalement les vascularites des petits vaisseaux, le lupus systémique et le syndrome de Goodpasture – des causes non immunologiques, principalement cardiaques (classiquement le rétrécissement mitral), médicamenteuses ou infectieuses.
Vous prévoyez l’administration d’un bolus de méthylprednisolone (Solumédrol®) en urgence.
Question 10 - Parmi les propositions suivantes, laquelle (lesquelles) prescrivez-vous le jour même ?
Indispensable, car originaire de zone d’endémie parasitaire.
À éviter dans le contexte d’insuffisance rénale aiguë !
Son efficacité n’a jamais été prouvée en cas de corticothérapie, mais il faut le prescrire dans le contexte d’hypertension artérielle et d’insuffisance rénale.
Pas nécessaire dans l’immédiat. Il faudra prévoir une ostéodensitométrie en cas de corticothérapie prolongée.
Une ponction biopsie rénale est réalisée et retrouve une glomérulonéphrite nécrosante segmentaire et focale, avec prolifération extracapillaire. L’immunofluorescence est négative.
Question 11 - Parmi les propositions suivantes, quel diagnostic vous semble le plus probable ? 
Le tableau clinique est très évocateur de vascularite associée aux ANCA, devant l’association hémorragie intra-alvéolaire et glomérulonéphrite rapidement progressive. L’histologie confirme ce diagnostic en retrouvant une glomérulonéphrite avec prolifération extracapillaire sans dépôts immuns (glomérulonéphrite « pauci-immune »). Cette dernière donnée permet d’éliminer un lupus, un syndrome de Goodpasture et une glomérulonéphrite aiguë post infectieuse, ainsi qu’une glomérulonéphrite extra-membraneuse (qui ne s’intègre pas dans le tableau général).
Vous retrouvez la présence de p-ANCA, de spécificité anti-myéloperoxydase. Le diagnostic de polyangéite microscopique est confirmé. L’évolution est rapidement favorable sous traitement immunosuppresseur et la patiente est extubée avec succès. La créatinine se stabilise à 100 µmol/L, et la pression artérielle de la patiente est régulièrement mesurée à 150/90 mmHg.
Question 12 - Parmi les propositions suivantes, quelle(s) prescription(s) proposez-vous ?
Contre-indiqué en cas d’insuffisance rénale.
Il paraît licite de poursuivre le traitement par inhibiteur calcique actuel et de passer à une bithérapie incluant un IEC de l’angiotensine (ou un antagoniste du récepteur à l’angiotensine II) qui permettra de plus d’assurer une réduction de la protéinurie, participant à la néphroprotection. Le déséquilibre de la pression artérielle est probablement favorisé par l’insuffisance rénale (et la corticothérapie).
La patiente peut finalement quitter l’hôpital est suit un traitement associant une corticothérapie prolongée et du cyclophosphamide (Endoxan®).
Lors d’une consultation de suivi 7 mois plus tard, elle vous informe qu’elle présente une angine, qu’elle a traitée par ibuprofène en automédication avec succès.
Question 13 - Parmi les propositions suivantes, laquelle (lesquelles) est (sont) exacte(s) ? 
L’automédication par AINS est à éviter en cas d’insuffisance rénale chronique, car le traitement peut avoir des effets néfastes sur le rein via différents mécanismes (insuffisance rénale fonctionnelle surtout si combiné à un IEC, déséquilibre de la pression artérielle, néphropathie interstitielle…).
La pression artérielle est à 128/75 mmHg et la patiente ne se plaint d’aucun symptôme en dehors de son angine.
Elle a réalisé toutes les perfusions de cyclophosphamide comme prévu, et prend comme traitement actuel : amlodipine 10 mg/j, périndopril 5 mg/j, prednisone 10 mg/j.
Elle vous présente ses dernières analyses : créatinine = 100 µmol/L ; protéinurie = 1,2 g/24 h ; examen cytobactériologique des urines (ECBU) = absence d’hématurie et de leucocyturie.
Question 14 - Parmi les propositions suivantes, laquelle (lesquelles) est (sont) exacte(s) ?
La créatinine s’est stabilisée (identique à la valeur lors de la sortie d’hôpital) et la protéinurie a diminué tout en restant significative. L’absence d’hématurie est également en faveur de la rémission de la maladie. Il faut donc poursuivre la décroissance de la corticothérapie, et augmenter progressivement les IEC jusqu’à la dose maximale (selon la tolérance) pour limiter au maximum le débit de protéinurie (néphroprotection).
La patiente vous informe qu’elle n’a réalisé aucune vaccination récente.
Question 15 - Parmi les propositions suivantes, laquelle (lesquelles) est (sont) exacte(s) ?
Cette vaccination est indispensable chez l’adulte immunodéprimé.
Cette vaccination est indispensable chez l’adulte immunodéprimé.
Ces vaccinations ne sont pas indispensables chez tous les adultes immunodéprimés (seulement en cas de risque élevé d’infection à germe encapsulé, par exemple en cas de splénectomie).
Il s’agit des vaccins vivants atténués (principalement le ROR, la fièvre jaune, la varicelle, le BCG…) qui présentent un risque de réactivation.
La maladie immunologique n’est pas une contre-indication à la vaccination (au contraire, celle-ci va apporter un bénéfice en termes de protection anti-infectieuse !).
En cas d’immunodépression, le schéma vaccinal recommandé pour le pneumocoque est une première injection du vaccin conjugué 13 valences, suivi 2 mois plus tard d’une injection du vaccin non conjugué 23 valences.

Exercez-vous aux ECN avec les dossiers progressifs et les LCA de La Revue du Praticien