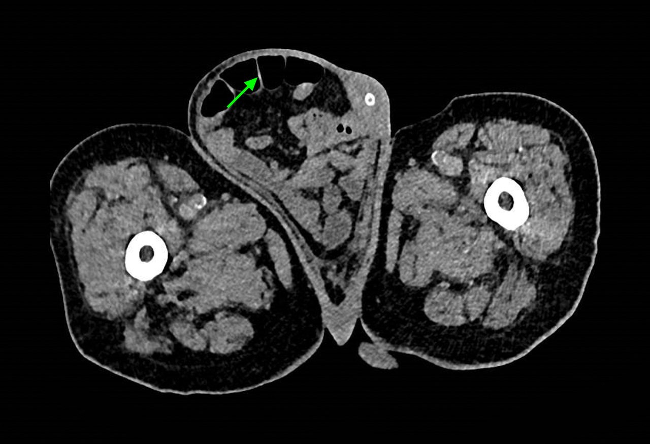
Un homme de 81 ans, aux antécédents d’accidents vasculaires cérébraux, est hospitalisé pour une pneumopathie d’inhalation. Il a une tuméfaction inguinale droite.
Quel est votre diagnostic ?
Le scanner montre une volumineuse hernie inguinale avec des anses digestives (flèche). Cette hernie inguinale a entraîné des épisodes subocclusifs responsables de vomissements, à l’origine des pneumopathies d’inhalation.

Exercez-vous aux ECN avec les dossiers progressifs et les LCA de La Revue du Praticien