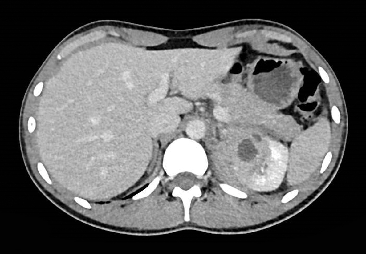
Un homme de 20 ans, sous immunosuppresseurs, est hospitalisé pour une douleur lombaire gauche et de la fièvre. La protéine C réactive (CRP) est à 150 mg/l. L’examen cytobactériologique des urines (ECBU) est stérile.
Quel est votre diagnostic ?
Le scanner montre  une image hypoactive bien limitée témoignant d’un abcès rénal. L’examen cytobactériologique des urines (ECBU) étant stérile et le malade restant fébrile sous céphalosporines de troisième génération, une biopsie rénale est effectuée mettant en évidence un staphylocoque. Un traitement par sulfaméthoxazole est instauré permettant d’obtenir l’apyrexie.

Exercez-vous aux ECN avec les dossiers progressifs et les LCA de La Revue du Praticien