Une femme de 38 ans, sans antécédents particuliers, consulte pour des douleurs thoraciques récurrentes du côté droit, survenant de manière synchrone avec ses menstruations.
Quel est votre diagnostic ?
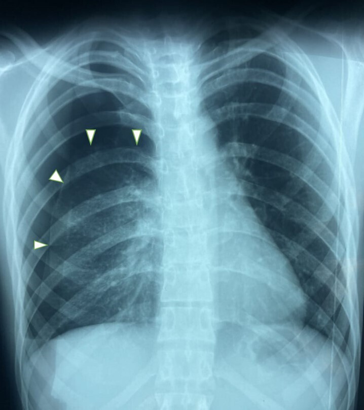
Il s’agit d’un pneumothorax cataménial : c’est une condition peu fréquente et méconnue, caractérisée par la survenue récurrente de pneumothorax généralement entre la veille et les 72 h suivant le début des menstruations. Dans la majorité des cas, il affecte le côté droit, mais des cas du côté gauche voire bilatéraux ont également été signalés.
En pratique, la combinaison typique de douleurs thoraciques, de dyspnée et d’hémoptysie survenant dans les 72 heures avant ou après les menstruations chez les jeunes femmes devrait inciter les praticiens à évoquer un pneumothorax cataménial.
La prise en charge est multidisciplinaire. Le traitement est chirurgical (les nodules endométriosiques doivent être réséqués et analysés en anatomopathologie et les perforations diaphragmatiques visibles doivent être suturées). Le talcage pleural est souvent choisi comme technique de symphyse pleurale. En parallèle, un traitement hormonal est discuté.
Elle est caractérisée par un angle de raccordement à la paroi thoracique, obtus en cas de bulles alors qu’il est aigu en cas de pneumothorax ; c’est le signe de « Bernou ». Une tomodensitométrie thoracique est indiquée cas de doute entre les deux diagnostics.
Ce diagnostic est rapidement éliminé par l’absence de contact avec les animaux, de vomique à l’interrogatoire et de la classique image en nénuphar à la radiographie thoracique (opacité dense, homogène, surmontée d’une clarté, séparée d’elle par un niveau ondulé).
Elle est rapidement éliminée devant la radiographie thoracique de la patiente, car la PFLA donne un syndrome alvéolaire fait d’une opacité de densité homogène, bien systématisée, avec bronchogramme aérien. Généralement, la PFLA est due au pneumocoque, qui est habituellement sensible à l’amoxicilline.
Références :
Anastasio C, Wémeau-Stervinou L, Jaillard S, et al. Le pneumothorax cataménial : un diagnostic souvent méconnu.  Rev Pneumol Clin 2013;69(1):50-4.
Roberts ME, Rahman NM, Maskell NA, et al. British Thoracic Society guideline for pleural disease.  Thorax 2023;78(Suppl 3):s1-s42.
Radji M, Bride TMC. Pneumothorax chez la femme jeune : penser au pneumothorax cataménial.  Ann Fr Anesth Reanim 2009;28(11):994-5.
 
Par le Dr Fatima Oulhouss, médecine interne, CHP Inezgane, Maroc.

Exercez-vous aux ECN avec les dossiers progressifs et les LCA de La Revue du Praticien