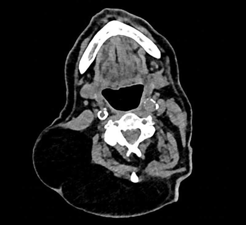
Un homme de 85 ans a une tuméfaction cervicale ancienne.
Quel est votre diagnostic ?
Sur le scanner, l'image hypodense est évocatrice d'une lipome.
Les lipomes sont des tumeurs bénignes fréquentes des parties molles.
Ils peuvent être isolés ou en nombre important. Lorsqu’ils sont nombreux, on parle de lipomatose. Les lipomatoses peuvent être héréditaires ou acquises comme la maladie de Launois-Bensaude, responsable de multiples lipomes à prédominance cervico-faciale, fréquemment associée à une consommation alcoolique excessive.
Les lipomes sont des tumeurs bénignes fréquentes des parties molles.
Ils peuvent être isolés ou en nombre important. Lorsqu’ils sont nombreux, on parle de lipomatose. Les lipomatoses peuvent être héréditaires ou acquises comme la maladie de Launois-Bensaude, responsable de multiples lipomes à prédominance cervico-faciale, fréquemment associée à une consommation alcoolique excessive.