Monsieur R., âgé de 35 ans, vient aux urgences pour une faiblesse généralisée des quatre membres, qui évolue depuis environ trois semaines, accompagnée d’une diplopie qui se majore le soir.
Son examen clinique retrouve une tétraparésie à prédominance proximale cotée à 4/5 sur l’échelle MRC, sans atteinte sensitive associée. Il est apyrétique et ses constantes sont normales.
Monsieur R. fume deux paquets de cigarettes par jour depuis l’âge de 15 ans, n’a aucun antécédent et ne prend aucun traitement.
Question 1 - Votre analyse sémiologique du tableau clinique vous permet d’éliminer (une ou plusieurs réponses exactes) :
Devant un déficit moteur pur diffus des quatre membres d’évolution aiguë associé à une diplopie, la lésion peut se situer à plusieurs niveaux (de la périphérie vers le centre) :
– au niveau du muscle : dans le cadre d’une myosite aiguë inflammatoire ou infectieuse par exemple qui toucherait les muscles des quatre membres et les muscles de l’oculomotricité ;
– au niveau de la jonction neuromusculaire présynaptique (dans le cadre d’un syndrome de Lambert-Eaton) ou post-synaptique (dans le cadre d’une myasthénie auto-immune en poussée, le caractère fluctuant du déficit moteur et de la diplopie est un élément à rechercher à l’interrogatoire) ;
– au niveau des nerfs périphériques et des racines nerveuses dans le cadre d’une polyradiculonévrite aiguë, puisque le tableau évolue depuis moins de quatre semaines. Il existe des formes de polyradiculonévrites motrices pures appelées AMAN (Acute Motor Axonal Neuropathy). Dans le syndrome de Guillain-Barré classique, l’atteinte des nerfs crâniens (paralysie faciale, nerfs oculo-moteurs) et la dysautonomie (associée à l’atteinte sensitivo-motrice des quatre membres) sont très évocatrices du diagnostic. Une atteinte nerveuse périphérique (dans le cadre d’une mononeuropathie multiple par exemple) touchant les troncs nerveux donnerait une atteinte systématisée qui serait sensitive et motrice puisque la plupart des troncs nerveux (ex : nerf médian, nerf radial, sciatique poplité externe) sont sensitifs et moteurs. Une polyneuropathie évolue lentement et ne peut pas donner de tableau de ce type ;
– au niveau du système nerveux central sous-tentoriel et notamment du tronc cérébral par atteinte des voies pyramidales motrices antérieures et par exemple du noyau du VI qui est situé à la partie antérieure du bulbe.
Une atteinte bilatérale de la corne antérieure de la moelle épinière (par compression médullaire antérieure cervicale par exemple) pourrait entraîner une tétraparésie sans troubles sensitifs mais n’explique pas la diplopie. La sclérose latérale amyotrophique, qui associe l’atteinte de la corne antérieure et du système nerveux périphérique, ne donne jamais de paralysie oculomotrice et donc de diplopie.
Une atteinte du système nerveux central sus-tentoriel donnerait une hémiparésie controlatérale mais pas une tétraparésie et n’expliquerait pas la diplopie fluctuante (atteinte des noyaux des nerfs crâniens ou du thalamus par atteinte des voies de l’oculomotricité).
Devant ce tableau clinique de déficit moteur pur d’aggravation aiguë avec atteinte des nerfs crâniens (diplopie), vous réalisez un examen neurologique avec plusieurs hypothèses étiologiques en tête.
Question 2 - En prenant en compte ces données, que pourriez-vous retrouver lors de votre examen clinique (une ou plusieurs réponses exactes) ?
Atteinte pyramidale.
Plutôt d’une atteinte musculaire, ou neurologique périphérique/centrale évoluée.
Ici, les deux diagnostics à évoquer en urgence sont :
– un syndrome de Guillain-Barré de forme purement motrice (AMAN) en phase d’extension ;
– une myasthénie auto-immune généralisée en poussée.
L’examen clinique pourrait en effet retrouver :
– des réflexes ostéotendineux vifs, diffusés, polycinétiques en cas de lésion du tronc cérébral ;
– une abolition diffuse des réflexes ostéotendineux en cas de syndrome de Guillain-Barré de forme motrice pure ou d’atteinte de la jonction neuromusculaire présynaptique (syndrome de Lambert-Eaton) ;
– des réflexes ostéotendineux normaux en cas de myasthénie auto-immune généralisée ;
– une mydriase aréflective associée à un ptosis en cas d’atteinte du nerf oculomoteur III soit dans le cadre d’un syndrome de Guillain-Barré soit, beaucoup moins probable, dans le cadre d’une atteinte du tronc cérébral car le noyau du III est situé à la partie postérieure du mésencéphale, et les voies sensitives postérieurs seraient donc certainement aussi atteintes ;
– à noter qu’une intoxication au botulisme pourrait donner un tableau un peu similaire avec des troubles dysautonomiques marqués et une mydriase qui serait bilatérale sans ptosis associé car elle est causée par la dysautonomie et non à l’atteinte du III ;
– une amyotrophie en cas d’atteinte musculaire.
Rappel : Les réflexes ostéotendineux (ROT) :
– sont abolis de manière diffuse dans le syndrome de Guillain-Barré ;
– sont toujours conservés dans la myasthénie auto-immune ;
– sont abolis de manière sélective dans les territoires déficitaires amyotrophiés dans les myopathies.
Dans la myasthénie et les myopathies :
– il n’y a jamais d’atteinte de la motricité pupillaire en cas de diplopie (puisque seul le muscle ou la jonction neuromusculaire est atteinte et donc pas le composant nerveux parasympathique associé au nerf III) ;
– il n’y a jamais d’atteinte sensitive ou du système nerveux autonome.
Vous complétez votre examen clinique. La trophicité musculaire est normale, les réflexes ostéotendineux sont abolis de manière diffuse aux quatre membres, il existe une limitation isolée de l’adduction de l’œil droit sans anomalie de l’élévation ou de l’abaissement de l’œil et sans anomalie pupillaire. Vous notez une sécheresse oculaire importante ainsi qu’une sécheresse buccale marquée. Monsieur R. vous signale des difficultés érectiles depuis deux semaines environ. Quelques minutes plus tard, l’infirmière vous appelle car Monsieur G. vient de faire un malaise en allant aux toilettes. Sa pression artérielle est à 80/40 mmHg, la fréquence cardiaque à 82/min.
Question 3 - Quelle est votre attitude immédiate (une ou plusieurs réponses exactes) ?
À utiliser en cas de BAV/bradycardie mal tolérée.
Dans un premier temps, il faut allonger le patient et le mettre en position de Trendelenburg les jambes surélevées pour favoriser l’afflux sanguin cérébral. Ici le patient a manifestement des signes de dysautonomie.
Il faut ensuite poser rapidement une voie veineuse périphérique et perfuser une solution salée isotonique de type sérum physiologique à fort débit afin de « remplir » le patient et faire ainsi remonter la tension.
On reprendra régulièrement au cours de ces procédures la pression artérielle pour s’assurer qu’elle se normalise.
Il n’y a pas lieu de s’inquiéter dans l’immédiat car un simple malaise vagal peut entraîner une chute de tension artérielle conséquente, on attendra un peu avant de prévenir le réanimateur !
Si la tension ne remonte pas malgré les premières mesures mises en place, la situation est différente. On sera devant un équivalent de choc (défini par une hypotension < 90 mmHg [systolique] ou une baisse de 30 % par rapport à la valeur habituelle du patient ne répondant pas au remplissage) et il faudra alors alerter le réanimateur de garde, placer le patient en secteur de « déchoquage » ou soins intensif des urgences, mettre en place une deuxième voie veineuse périphérique, poursuivre le remplissage ou utiliser des substances vasoactives (noradrénaline…) et déterminer rapidement la cause du choc (cardiogénique, hypovolémique, septique, hémorragique) pour adapter le traitement spécifique.
La pression artérielle de Monsieur R. est revenue à la normale grâce aux mesures simples que vous avez mises en place.
Question 4 - Pour mieux caractériser l’origine de son malaise, vous allez (une ou plusieurs réponses exactes) :
Devant ce malaise qui a eu lieu au lever chez un patient qui a d’autres signes de dysautonomie : sécheresse oculaire, sécheresse buccale et impuissance, l’examen clé ici consiste à rechercher une hypotension orthostatique dont le diagnostic repose sur la prise de pression en position couchée puis debout à 0, 1 et 3 minutes. Le test est positif si la pression artérielle, évaluée à 3 minutes après le passage en orthostatisme, chute de 20 mmHg pour la systolique et/ou de 10 mmHg pour la diastolique.
Ce test est toujours accompagné de la prise conjointe de la fréquence cardiaque. Une tachycardie associée à l’hypotension signe une réaction cardiaque adaptée et l’origine de l’hypotension orthostatique sera plutôt iatrogène ou hypovolémique. En cas de bradycardie ou de non accélération de la fréquence cardiaque, on évoquera un malaise vagal ou une dysautonomie neurogène.
Le dosage de la NFS (notamment la mesure de l’hématocrite) et le dosage de la créatinine permettent indirectement d’évaluer l’état d’hydratation du patient. En cas d’hématocrite diminué et de créatinine élevée, on suspecterait un malaise hypovolémique. La NFS permet également de rechercher un saignement occulte qui serait responsable d’un malaise hypovolémique.
À noter bien sûr que devant tout malaise à l’orthostatisme le premier examen réalisé sera une glycémie veineuse puisque l’hypoglycémie est la cause la plus fréquente de malaise vagal.
Vous réalisez un test d’hypotension orthostatique dont le résultat est positif sans accélération de la fréquence cardiaque.
Question 5 - Quel est alors le mécanisme physiopathologique le plus probable à l’origine de cette hypotension orthostatique ?
Il s’agit d’une dysautonomie neurogène périphérique dans le cadre d’un syndrome de Lambert-Eaton.
Question 6 - Quel est votre diagnostic final pour expliquer l’ensemble du tableau clinique ?
Devant ce tableau de tétraparésie + aréflexie + dysautonomie, le seul diagnostic à évoquer est le syndrome myasthéniforme de Lambert-Eaton.
Plusieurs éléments orientent le diagnostic devant ce tableau de tétraparésie + aréflexie :
La diplopie : en effet, l’examen retrouve une limitation isolée de l’adduction de l’œil droit sans anomalie de l’élévation ou de l’abaissement de l’œil et sans anomalie pupillaire. La limitation de l’adduction isolée n’est pas compatible avec une atteinte du nerf III qui toucherait également l’élévation et l’abaissement de l’œil et donnerait un ptosis (composante extrinsèque) et une mydriase (composante intrinsèque). Cela nous permet donc d’éliminer un syndrome de Guillain-Barré de forme motrice pure.
Cette limitation isolée de l’adduction non systématisée à un territoire nerveux fait donc évoquer une atteinte musculaire ou une atteinte de la jonction neuromusculaire.
L’aréflexie diffuse et l’absence d’amyotrophie vont contre une atteinte musculaire (myopathie inflammatoire), il existerait une amyotrophie des muscles déficitaires (après un certain temps d’évolution) et une abolition sélective des ROT dans les territoires amyotrophiés.
L’aréflexie diffuse et la dysautonomie éliminent une atteinte de la jonction neuromusculaire post-synaptique (myasthénie auto-immune généralisée).
Il ne reste donc que l’atteinte de la jonction neuromusculaire présynaptique qui peut expliquer l’ensemble de ses troubles.
Rappel sur le Lambert-Eaton :
Le syndrome de Lambert-Eaton est causé par la présence d’anticorps anticanaux calciques voltages-dépendants présynaptiques au niveau des terminaisons nerveuses motrices et autonomes (sympathiques et parasympathiques). Ces anticorps bloquent l’influx entrant de calcium qui est nécessaire à la libération des vésicules d’acétylcholine dans la fente synaptique. Il en résulte une diminution de la libération d’acétylcholine. Au niveau de la jonction neuromusculaire, le déficit en acétylcholine est responsable du déficit moteur diffus. Au niveau du système autonome, il entraîne une dysautonomie cholinergique.
Toutefois, les stocks d’acétylcholine présynaptiques ainsi que les récepteurs post-synaptiques étant intacts, une stimulation répétitive ou une tétanisation musculaire permettent l’ouverture des vésicules et la libération d’acétylcholine et donc la genèse du potentiel d’action musculaire et la contraction musculaire.
Une atteinte oculaire est retrouvée dans environ 30 % des cas (ptosis, diplopie transitoire) mais, à la différence de la myasthénie, le syndrome de Lambert-Eaton ne commence jamais par une atteinte oculaire.
L’atteinte des muscles respiratoires est plus rare.
Les réflexes ostéotendineux sont diminués ou abolis chez 90 % des patients au repos mais peuvent réapparaître après un effort bref.
L’atteinte du système nerveux autonome est présente chez 80 % des patients et dominée par une impuissance et une sécheresse buccale.
Autres signes de dysautonomie retrouvés : hypotension orthostatique, constipation, incontinence urinaire ou fécale, sudation diminuée, tonicité pupillaire, trouble de la motilité œsophagienne et intestinale.
Vous suspectez le diagnostic de syndrome myasthéniforme de Lambert-Eaton.
Question 7 - Quels examens complémentaires programmez-vous en première intention (une ou plusieurs réponses exactes) ?
Le syndrome de Lambert-Eaton est souvent associé à un cancer bronchique à petites cellules, un bilan complémentaire est donc indispensable.
Le dosage des Ac anticanaux calciques voltage-dépendants et l’ENMG permettent de confirmer le diagnostic.
L’ionogramme sanguin peut révéler un SIADH aussi associé au cancer à petites cellules.
Le TEP-scanner sera réalisé pour le bilan d’extension du cancer pulmonaire après confirmation histologique.
Le scanner thoracique avec injection de produit de contraste est l’examen de première intention pour rechercher une masse pulmonaire.
Question 8 - Quels résultats de l’électromyogramme sont attendus dans ce contexte (une ou plusieurs réponses exactes) ?
L’EMG du Lambert-Eaton retrouve : une perte d’amplitude du potentiel d’action moteur et un incrément (ou augmentation de l’amplitude du potentiel d’action moteur) après tétanisation ou stimulation répétitive à haute fréquence.
Il s’agit d’une maladie de la jonction neuromusculaire (qui relie le nerf et le muscle), il n’y a donc pas d’anomalie sensitive clinique ni EMG, comme dans la myasthénie.
Vous réalisez le scanner thoracique suivant.
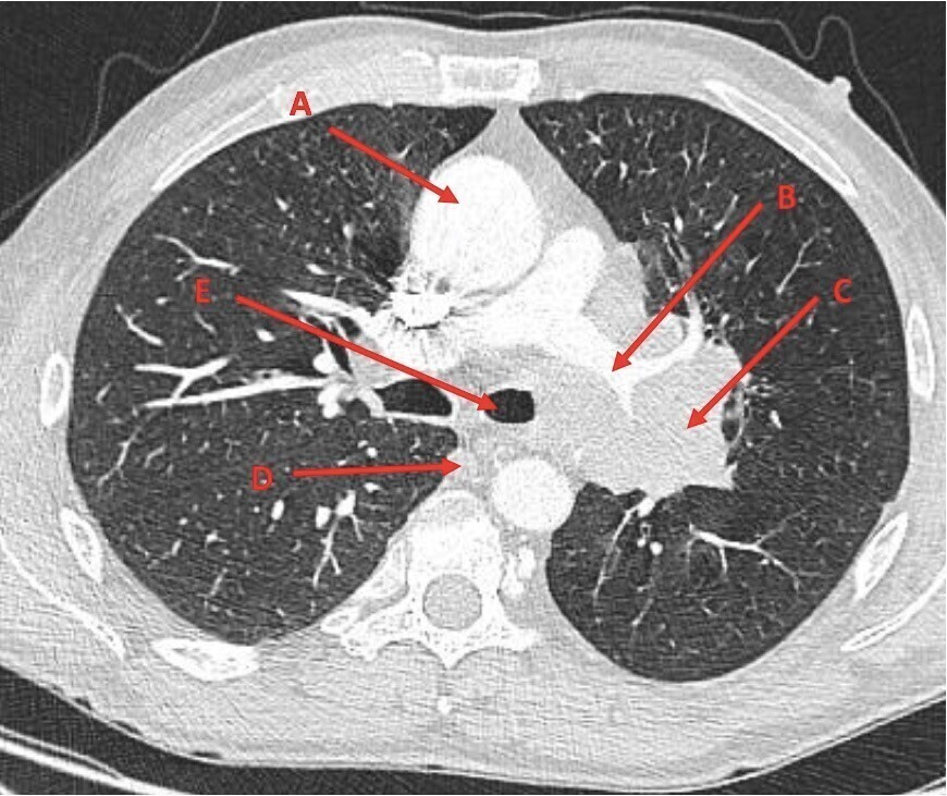
Question 9 - Indiquez les éléments correspondant à la légende :
Aspect évoquant une masse tumorale.
Celle-ci est visible à l’endroit le plus dense de la coupe (arrivée du produit de contraste).
Sur le scanner les lettres correspondent à :
– A : aorte ascendante ;
– B : artère pulmonaire gauche ;
– C : masse tumorale ;
– D : grande veine azygos ;
– E : bronche souche gauche.
Le scanner ne montre pas d’autre anomalie que la lésion présentée en question 9.
Question 10 - Pour préciser votre diagnostic au vu des résultats du scanner thoracique, vous allez réaliser (une ou plusieurs réponses exactes) :
Le scanner thoracique dans le contexte de syndrome de Lambert-Eaton fait fortement suspecter un cancer bronchique à petites cellules.
Le diagnostic repose sur la mise en évidence de cellules cancéreuses sur l’histologie.
Le lavage broncho-alvéolaire ne permet qu’une analyse cytologique, qui est insuffisante pour poser un diagnostic de cancer même si elle retrouve des cellules cancéreuses.
La technique du prélèvement histologique est adaptée à la localisation de la tumeur. Ici, en raison du siège médian et péribronchique de la tumeur, on réalisera une ponction-biopsie sous échoendoscopie bronchique plutôt qu’une biopsie pulmonaire par ponction transpariétale sous guidage scanner ou une thoracotomie diagnostique.
Vous décidez de réaliser une endoscopie bronchique.
Question 11 - Avant votre geste, vous devez (une ou plusieurs réponses exactes) :
Précautions avant de réaliser une endoscopie bronchique :
– bilan d’hémostase avec vérification de la numération plaquettaire ;
– arrêt temporaire d’un traitement éventuel par Kardegic ou Plavix ;
– s’assurer de l’absence de risque de maladie de Creutzfeldt-Jakob ;
– être à jeun ;
– chez un patient n’ayant pas de détresse respiratoire aiguë ;
– sous anesthésie locale à l’aide d’un spray anesthésiant ou sous anesthésie générale de courte durée si échoendoscopie associée notamment.
Question 12 - Quelle(s) est/sont la/les réponse(s) compatible(s) avec l’histologie la plus probable de la masse tumorale pulmonaire compte tenu du contexte ?
Le cancer bronchique à petites cellules est une tumeur neuroendocrine.
C’est le cancer le plus fréquemment responsable de syndromes paranéoplasiques et très fréquemment associé au syndrome de Lambert-Eaton.
L’examen anatomopathologique du prélèvement effectué lors de l’endoscopie bronchique confirme le diagnostic de cancer bronchique à petites cellules.
Question 13 - Quels examens complémentaires programmez-vous pour compléter le bilan d’extension ?
Le TEP-TDM au 18-FDG permet d’évaluer la présence de métastases osseuses ou organiques mais n’est pas assez sensible pour le système nerveux central. Il est donc complété par une imagerie cérébrale.
L’imagerie cérébrale de référence dans le bilan d’extension des cancers pulmonaire est l’IRM cérébrale avec injection de produit de contraste.
La scintigraphie osseuse n’est pas recommandée.
Le bilan d’extension est négatif. Un traitement par chimiothérapie (cisplatine + étoposide) et radiothérapie concomitante est proposé.
La première cure est réalisée, mais une semaine plus tard, le patient contacte le service pour une fièvre à 38,6° associée à des frissons et une asthénie intense, l’empêchant de se lever.
Question 14 - Quelle conduite à tenir proposez-vous (une ou plusieurs réponses exactes) ?
Le traitement du cancer à petites cellules repose sur l’association radiothérapie + chimiothérapie à base de sels de platine et d’étoposide en première intention (tous les 21 jours pendant 6 cycles).Il sera suivi d’une irradiation prophylactique cérébrale systématique en cas de réponse au traitement initial.
On associera ici le traitement symptomatique du Lambert-Eaton par 3-4-diaminopyridine.
Une immunothérapie pourra également être discutée mais la présence d’une maladie autoimmune préexistante doit être prise en compte.
Ici, le tableau évoque une infection aiguë, potentiellement favorisée par une neutropénie chimioinduite (délai 5-10 jours après le traitement généralement). Il faut confirmer la neutropénie, et vu la présence de signes de mauvaise tolérance (et les frissons évoquant un sepsis), une hospitalisation s’impose pour réalisation de prélèvements (hémocultures, ECBU, et selon les points d’appel) puis antibiothérapie d’emblée à large spectre. Un traitement ambulatoire peut se discuter pour des neutropénies fébriles pauci symptomatiques.
Le bilan sanguin retrouve une créatininémie à 196 µmol/L avec une clairance de la créatinine calculée à 40 alors que la créatinine avant chimiothérapie était normale. La NFS plaquettes montre des polynucléaires neutrophiles à 450/mm3.
Question 15 - Que pouvez-vous en conclure (une ou plusieurs réponses exactes) ?
Le patient a une neutropénie fébrile, secondaire à la chimiothérapie et associée à une insuffisance rénale aiguë.
L’insuffisance rénale fait partie des effets indésirables connus et fréquents des chimiothérapies par sels de platine. Il n’est donc pas nécessaire de le déclarer au centre de pharmacovigilance. Il s’agit d’une insuffisance rénale organique par nécrose tubulaire aiguë liée à la toxicité tubulaire directe du cisplatine.
Devant toute insuffisance rénale aiguë, même dans un contexte de cause évidente, il est recommandé de faire une échographie rénale afin de s’assurer de l’absence de cause obstructive (qui peut aussi être surajoutée).
La nécrose tubulaire aiguë est en général d’évolution favorable en quelques semaines.
Bien évidemment, pendant cette période, il faut informer le patient de la contre-indication des autres traitements néphrotoxiques.
La nécrose tubulaire aiguë contre-indique temporairement la cure de cispatine, qui sera décalée, et il faudra la prévenir par une hydratation plus importante lors des prochaines cures. Ce n’est qu’en cas de persistance de l’insuffisance rénale ou de récidive lors des prochaines cures malgré une prévention optimale qu’on envisagera de changer de molécule de chimiothérapie.
Le SIADH peut se retrouver dans les cancers pulmonaires, mais n’est pas une complication du cisplatine et entraîne une hyponatrémie et non une insuffisance rénale.
– au niveau du muscle : dans le cadre d’une myosite aiguë inflammatoire ou infectieuse par exemple qui toucherait les muscles des quatre membres et les muscles de l’oculomotricité ;
– au niveau de la jonction neuromusculaire présynaptique (dans le cadre d’un syndrome de Lambert-Eaton) ou post-synaptique (dans le cadre d’une myasthénie auto-immune en poussée, le caractère fluctuant du déficit moteur et de la diplopie est un élément à rechercher à l’interrogatoire) ;
– au niveau des nerfs périphériques et des racines nerveuses dans le cadre d’une polyradiculonévrite aiguë, puisque le tableau évolue depuis moins de quatre semaines. Il existe des formes de polyradiculonévrites motrices pures appelées AMAN (Acute Motor Axonal Neuropathy). Dans le syndrome de Guillain-Barré classique, l’atteinte des nerfs crâniens (paralysie faciale, nerfs oculo-moteurs) et la dysautonomie (associée à l’atteinte sensitivo-motrice des quatre membres) sont très évocatrices du diagnostic. Une atteinte nerveuse périphérique (dans le cadre d’une mononeuropathie multiple par exemple) touchant les troncs nerveux donnerait une atteinte systématisée qui serait sensitive et motrice puisque la plupart des troncs nerveux (ex : nerf médian, nerf radial, sciatique poplité externe) sont sensitifs et moteurs. Une polyneuropathie évolue lentement et ne peut pas donner de tableau de ce type ;
– au niveau du système nerveux central sous-tentoriel et notamment du tronc cérébral par atteinte des voies pyramidales motrices antérieures et par exemple du noyau du VI qui est situé à la partie antérieure du bulbe.
Une atteinte bilatérale de la corne antérieure de la moelle épinière (par compression médullaire antérieure cervicale par exemple) pourrait entraîner une tétraparésie sans troubles sensitifs mais n’explique pas la diplopie. La sclérose latérale amyotrophique, qui associe l’atteinte de la corne antérieure et du système nerveux périphérique, ne donne jamais de paralysie oculomotrice et donc de diplopie.
Une atteinte du système nerveux central sus-tentoriel donnerait une hémiparésie controlatérale mais pas une tétraparésie et n’expliquerait pas la diplopie fluctuante (atteinte des noyaux des nerfs crâniens ou du thalamus par atteinte des voies de l’oculomotricité).