Skip to main navigation

Header navigation

  • Newsletters newsletter
  • Librairie Librarie
  • Plus plus

Menu du compte de l'utilisateur

  • S'abonner
  • Bookmark page

Sous menu plus

  • larevuedupracticien larevuedupracticien larevuedupracticien
  • La rédaction La rédaction redaction
  • Indépendance Indépendance Independance
  • DPC DPC DPC
  • JNMG JNMG JNMG
  • Annonces Annonces Annonces
  • E-suppléments E-suppléments
Accueil
La Revue du Praticien

Navigation principale

  • Actualités
  • Vient de paraître
  • Tests
  • Culture
  • Recherche

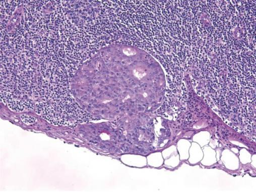
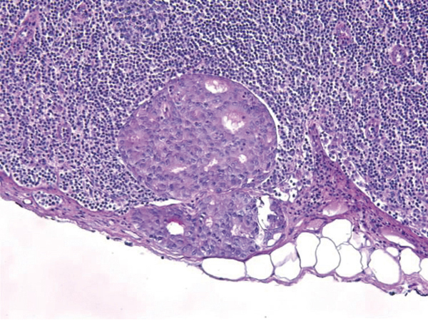
Tumeurs du sein - Coupe histologique d'un ganglion sentinelle montrant une micrométastase (< 2mm)

  • Lire plus tard
  • Partager
  • Imprimer
Ce contenu est exclusivement réservé aux abonnés

Fil d'Ariane

  1. Image
  2. Tumeurs du sein - Coupe histologique d'un ganglion sentinelle montrant une micrométastase (< 2mm)
La Revue du Praticien

Lire aussi

Article Web
Cancer du sein et de la prostate : NutriNet-Santé pointe du doigt les émulsifiants
Article Web
Cancer du sein : nouvelles recos sur les dosages à ARN
Exercice
Testez-vous sur l’item 290
Article Web
Cancers du sein : des progrès !
Article Web
Cancer du sein : faut-il dépister dès 40 ans ?
Article
Avancées thérapeutiques dans le cancer du sein HER2+

La Revue du Praticien

  • Qui sommes-nous ?
  • La rédaction
  • Indépendance & Comités
  • Contactez-nous

Services

  • DPC
  • JNMG
  • Trouver un emploi
  • Commander un livre
  • S'abonner

Informations légales

  • Mentions légales
  • Politique de confidentialité
  • Gestion des cookies
  • Données personnelles
  • Conditions générales de vente
  • Aide (F.A.Q)
Recevoir nos newsletters

La Revue du Praticien © 2021 | un site du groupe Global Média Santé

Tous droits réservés | Powered by Imagence & Global Média Santé

Autres sites du groupe :

  • Egora
  • Concours pluripro