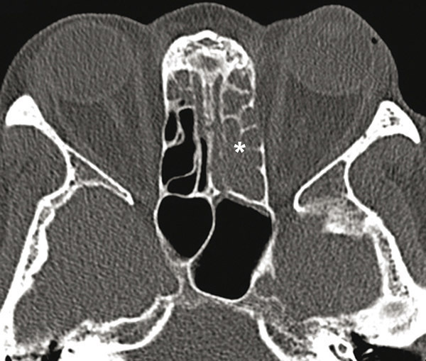
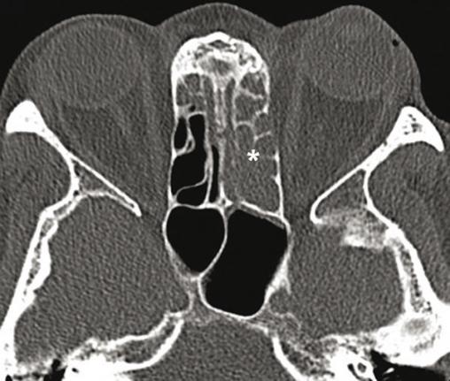
© Sylvain Poirée - La Revue du Praticien Tomodensitométrie des sinus de la face montrant un comblement du labyrinthe éthmoïdal à prédominance gauche (*).