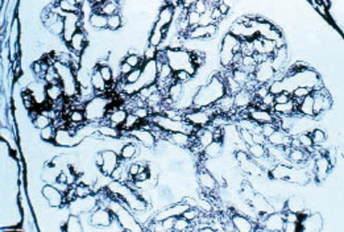
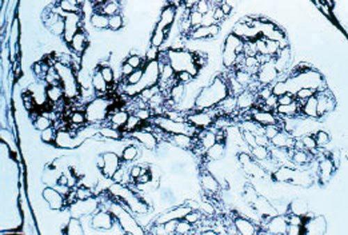
La Revue du Praticien - Christian Jacquot Aspect en double contour des anses capillaires glomérulaires (imprégnation argentique).