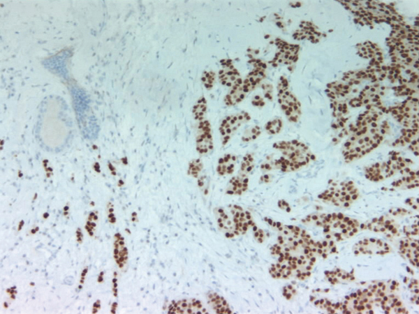
© Frédérique Penault-Llorca - La Revue du Praticien Cellules identifiées par immunohistochimie anti-cytokératine.