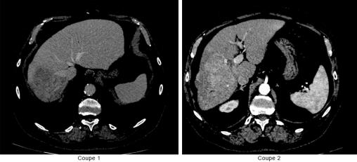
CHSD – PACS, La Revue du Praticien Nodule hépatique avec prise de contraste au temps artériel et wash out au temps portal.