Vous travaillez comme interne en radiologie à l’hôpital.
Un homme de 60 ans, aux antécédents d’intoxication éthylique chronique, vous est adressé pour un scanner abdominal pour bilan d’hépatopathie.
Le patient est diabétique de type 2 traité par metformine. Le débit de filtration glomérulaire est à 60 ml/min/m².
Question 1 - Que faites-vous (une ou plusieurs réponses exactes) ?
Trois problèmes se posent chez le diabétique : le jeûne, l’insuffisance rénale, et les traitements en cours (insuline, antidiabétiques oraux, metformine) :
– le jeûne expose aux accidents hypoglycémiques ;
– une insuffisance rénale peut être aggravée par l’injection de produit de contraste ;
– la metformine expose au risque d’acidose lactique par diminution de sa clairance rénale en cas de néphropathie induite par le PCI.
La metformine doit être arrêtée si le DFG est inférieur à 30 mL/min/1,73 m². Si le DFG est supérieur à 30 mL/min/1,73 m², le traitement peut être poursuivi, sous réserve de s’assurer de la bonne hydratation du patient.
Il n’est plus recommandé de l’interrompre 48 heures avant l’examen ou après l’injection de produit de contraste.
Source : De Laforcade L, Bobot M, Bellin MF, et al. Recommandations ESUR sur l’utilisation des produits de contraste : enquête de pratique, revue et commentaire par le CJN, le FIRN et la SFNDT.Néphrol Ther 2021;17(2):80-91.
Le scanner ci-dessous est réalisé.
Question 2 - Concernant l’acquisition du scanner (une ou plusieurs réponses exactes) :
Le scanner abdomino-pelvien est réalisé en décubitus dorsal, non à jeun et en apnée inspiratoire.
Le volume d’examen couvre des coupoles diaphragmatiques jusqu’à la symphyse pubienne, déterminé par un topogramme frontal +/- sagittal.
L’acquisition sans injection permet la visualisation des calcifications, en situation d’urgence le sang « frais » (hématome récent), et surtout de calculer le différentiel de rehaussement pour mettre en évidence le rehaussement d’une lésion (pour, par exemple, différencier une masse tissulaire d’une masse kystique).
Le volume de produit de contraste iodé injecté est d’environ 2 cc/kg à raison d’un débit d’environ 2 à 3 mL/s.
Le temps artériel correspond à une acquisition à 25-35 secondes après l’injection et se caractérise par une opacification franche des structures artérielles +/- une parenchymographie débutante pour les temps artériels réalisés tardivement (vers 40 secondes, comme lors des bilans de cancers pancréatiques).
Le temps portal correspond à une acquisition à 70-80 secondes après l’injection et se caractérise « stricto sensu » par une opacification des vaisseaux portes. C’est le temps de la parenchymographie, ou les rehaussements des différents organes de la cavité abdominale sont étudiables. Les structures vasculaires artérielles et veineuses ont alors un rehaussement équivalent.
Le temps tardif correspondant à une acquisition à 3 minutes après l’injection, peut par exemple permettre une meilleure visualisation du lavage d’un CHC, ou bien, dans un contexte d’urgence avec recherche d’un saignement abdominal, de visualiser l’extravasation de produit de contraste sous forme de flaque hyperdense (« blush »). Il est à distinguer du temps tardif (10 minutes) réalisé dans les scanners rénaux ou uroscanners où l’objectif est la visualisation des voies excrétrices urinaires.
L’acquisition biphasique correspond à une seule acquisition à la suite de 2 injections espacées (une première injection permettant l’opacification des tissus suivie d’une deuxième, donc plus rapprochée de l’acquisition, pour opacifier les structures vasculaires). Elle est principalement utilisée en imagerie ORL.
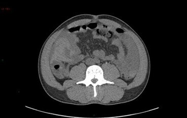
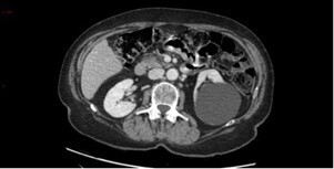
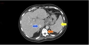
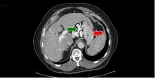
Question 3 - Dans les coupes précédentes, quelles sont les structures désignées par les flèches ?
Veine cave inférieure.
Corps vertébral.
Voies veineuses de dérivation péri-gastriques.
Question 4 - Vous constatez (une ou plusieurs réponses exactes) :
Non pas du foie gauche (= lobe gauche + segment IV) mais du lobe gauche (segments II et III).
Flèche verte.
La dysmorphie hépatique est caractérisée par une hypertrophie de segment I (en arrière du tronc porte et en avant de la veine cave inférieure) et du lobe gauche (segments II et III situés à gauche de la veine hépatique gauche) ; ainsi que par une hypotrophie du segment IV (situé entre les veines hépatiques gauche et médiane, séparé du lobe gauche par le plan passant par la veine hépatique gauche et le ligament rond). Peut également s’y associer une hypotrophie du secteur postérieur du lobe droit (segments VI et VII).
Pour la segmentation hépatique, voir la figure ci-dessous : On retrouve comme autre signe d’hépatopathie chronique les contours bosselés.
Les signes d’hypertension portale visibles en scanner sont :
– les voies veineuses de dérivation porto-systémiques (spléno-rénales, gastro-rénales, mésentériques, rétro-péritonéales…) ;
– la splénomégalie.
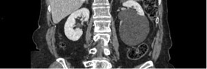
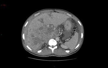
L’analyse des coupes abdominales montre également les images suivantes :
Question 5 - L’aspect évoque (une ou plusieurs réponses exactes) :
Formation transparenchymateuse rénale de densité liquidienne pure au temps portal, sans cloison, paroi épaisse, nodule pariétal ni calcification = kyste rénal simple. Pas de surveillance.
Les kystes rénaux sont très fréquents (50 % des patients après 50 ans), la plupart du temps découvert fortuitement, asymptomatiques, et bénins comme celui-ci.
Le scanner réalisé retrouve donc un foie d’hépatopathie chronique avec signe d’hypertension portale, sans lésion suspecte de carcinome hépatocellulaire. Quelques semaines plus tard, on vous demande une biopsie du parenchyme hépatique pour faire le diagnostic de cirrhose.
Question 6 - Quelles contre-indications à la biopsie hépatique transpariétale recherchez-vous chez ce patient lors de sa venue ?
1 – Les troubles de coagulation exposent aux complications les plus fréquentes à la ponction-biopsie hépatique. L’hémorragie, bien que rare, expose à un risque de décès en cas de lésion vasculaire hépatique (branche de l’artère/veine hépatique ou porte) avec hémopéritoine (recommandation grade C).
Les seuils généralement acceptés sont :
– TCA < 1,5* témoin ;
– TP > 5 ;
– plaquettes > 50 Giga/L.
2 – Un obstacle biliaire extra-hépatique, s’il entraîne une dilatation diffuse importante des voies biliaires intra-hépatiques, expose à un risque de plaie biliaire et de bilome (recommandation grade C).
3 – L’ascite abondante expose à un risque de ponction blanche du fait de l’augmentation de la distance entre la paroi abdominale et le foie. Par ailleurs, elle expose à un risque de saignement incontrôlable. Une alternative est la ponction-biopsie hépatique par voie transjugulaire (recommandation grade C).
4 – L’aspirine, si ne pouvant pas être interrompue (coronaropathie, par exemple), n’est pas une contre-indication définitive à la biospie transpariérale. En cas de bi-antiagrégation, le clopidogrel doit quant à lui être interrompu 5 jours avant le geste, et repris dès que possible (souvent le soir même du geste en l’absence de complication) [d’après : HAS. Antiagrégants plaquettaires : prise en compte des risques thrombotique et hémorragique pour les gestes percutanés chez le coronarien. novembre 2013].
5 – L’insuffisance rénale chronique sévère et terminale est associée à une augmentation du risque hémorragique. La voie transjugulaire est recommandée (recommandation grade C).
Retenir par ailleurs, comme contre-indication à la biopsie hépatique percutanée le kyste parasitaire (risque de dissémination) et le foie cardiaque (congestion vasculaire augmentant le risque hémorragique).
Une biopsie du parenchyme hépatique transpariétale est donc réalisée, concluant au diagnostic de cirrhose hépatique et d’origine probablement éthylique.
Question 7 - Vous surveillez ce patient par (une ou plusieurs réponses exactes) :
Le dépistage du CHC chez les malades atteints de cirrhose compensée par échographie semestrielle sans dosage de l’alpha-fœtoprotéine est recommandé et permet de diagnostiquer le CHC au stade curable dans plus de 70 % des cas.
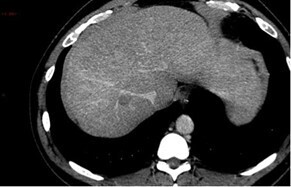
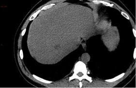
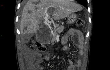
Lors de cette surveillance échographique, une image nodulaire du dôme hépatique apparaît. Le scanner ci-dessous est réalisé pour caractériser cette lésion.
Question 8 - Les caractéristiques sémiologiques de cette lésion sont :
La lésion est hypodense sans injection, mais de densité plus élevée que la graisse sous-cutanée qui apparait presque noire ici (NB : le CHC graisseux est une entité qui existe mais rare).
Le temps artériel se reconnait grâce à la densité importante des artères (par exemple l’aorte).
On parle d’hyperdensité en scanner et d’intensité en IRM.
Un envahissement tumoral vasculaire se manifesterait sous la forme d’une plage infiltrante hypervasculaire au temps artériel au sein de la veine.
Lésion nodulaire typique de carcinome hépatocellulaire (CHC) en scanner : nodule bien délimité hypodense sans injection, hypervasculaire au temps artériel (« wash-in »), présentant un lavage au temps portal et tardif (« wash-out »), et une capsule (dont la définition est la présence d’une couronne se rehaussant au temps tardif).
Un scanner réalisé pour caractérisation d’une lésion hépatique doit comprendre une phase sans injection, une phase artérielle, une portale et une tardive à 3 minutes. Un scanner thoracique pourra également être réalisé dans le bilan d’extension du CHC.
L’imagerie est donc évocatrice de carcinome hépatocellulaire (CHC).
Question 9 - Chez ce patient, pouvez-vous poser le diagnostic de CHC de manière formelle sur ce seul scanner (une ou plusieurs réponses exactes) ?
La référence pour le diagnostic de CHC est, comme pour tous les cancers, l’analyse histologique d’un fragment tumoral obtenu par ponction dirigée sous échographie ou scanner, comparé, chaque fois que c’est possible, à un fragment de foie non tumoral prélevé simultanément.
Néanmoins, une option, en cas de nodule chez un cirrhotique, est l’utilisation de critères non invasifs ; la validité de ces critères, nécessite :
– la certitude du diagnostic de cirrhose ;
– le respect de recommandations techniques concernant la réalisation des examens d’imagerie, décrites sur le site de la Société française de radiologie ;
– que le diagnostic soit validé par une RCP « spécialisée », c’est-à-dire comportant au moins les compétences en hépato-gastro-entérologie/hépatologie, radiologie diagnostique et interventionnelle, chirurgie hépatique et transplantation, oncologie médicale et oncologie-radiothérapie.
Le patient est par la suite perdu de vue. Quelques années plus tard, le patient est amené à l’hôpital en état de choc après avoir été retrouvé sur la voie publique sans connaissance. On vous demande de réaliser une échographie de débrouillage (« fast echo ») en salle de réveil pendant que le patient est en cours de stabilisation par l’équipe d’anesthésie-réanimation.
Question 10 - Que recherchez-vous à l’aide de cette fast echo ?
La « fast echo » (Focus Assessment for the Sonographic Examination of the Trauma patient) recherche essentiellement un épanchement péritonéal, un épanchement pleural ou péricardique. Elle ne s’attache pas à décrire les lésions des organes pleins (environ 40 % de ces lésions ne sont pas visualisées en urgence) ; en revanche, elle doit être réalisée rapidement, permettant d’aiguiller le chirurgien sur l’origine du saignement en cas de traumatisme chez un patient hémodynamiquement instable, ne pouvant avoir un bilan scanographique, et nécessitant une prise en charge chirurgicale de toute urgence. La sonde d’échographie doit être disposée dans quatre localisations afin d’identifier les épanchements précédemment décrits.
Le patient est finalement stabilisé hémodynamiquement, permettant son transfert en radiologie, et le scanner suivant est réalisé.
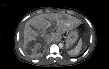
Question 11 - Sur ce scanner vous observez (une ou plusieurs réponses exactes) :
Le scanner retrouve de multiples masses intra-hépatiques infiltrantes. L’une d’entre elles, dans le segment V, est partiellement exophytique (bombant en sous-capsulaire) avec en son sein une flaque de produit de contraste. Par ailleurs, on retrouve une thrombose portale extensive de l’ensemble du système porte.
Au contact et le long de la gouttière pariéto-colique droite : un épanchement liquidien abondant, hétérogène, avec une composante spontanément hyperdense évocatrice de sang frais.
Le tout est donc évocateur, compte tenu par ailleurs des antériorités du patient, d’une progression de la maladie avec un CHC infiltrant bi-lobaire, rompu dans la cavité péritonéale avec saignement actif.
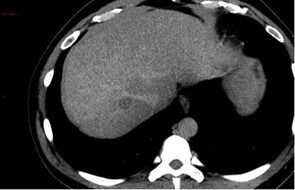
Le traitement suivant est par la suite réalisé.
Question 12 - À quoi correspond ce traitement (une ou plusieurs réponses exactes) ?
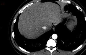
L’embolisation vasculaire radioguidée (artériographie) est la technique privilégiée pour le traitement des hémorragies abdominales en urgence. Elle consiste, après ponction artérielle, à la cathétérisation du vaisseau responsable du saignement, le plus sélectivement possible, et l’injection de matériel embolisateur.
La première figure montre bien la flaque artérielle du produit de contraste (saignement actif artériel) au niveau du segment V.
La seconde figure, elle, correspond au contrôle en fin de procédure après embolisation de la branche artérielle hépatique responsable du saignement, montre la disparition de cette flaque.
Quelques mois plus tard, le patient consulte aux urgences pour dyspnée.
À l’examen clinique :
– pression artérielle : 145/90 mmHg ;
– fréquence cardiaque : 100 bpm ;
– SaO2 : 89 % ;
– fréquence respiratoire : 25 cycles par minute ;
– température : 37,0 °C.
Le patient est dyspnéique et rapporte une oppression thoracique. Les mollets sont souples. L’ECG retrouve un rythme sinusal, sans particularité.
Question 13 - Quel examen complémentaire vous paraît justifié ?
Le patient a une probabilité forte d’embolie pulmonaire (score de Genève modifié, score ASE).
Alors que le patient est sur la table de scanner, et que l’injection de produit de contraste a débuté, celui-ci se plaint d’une douleur du pli du coude en regard du point de ponction de la voie veineuse.
Le pli du coude est un peu tuméfié, voici une photographie de celui-ci.
Question 14 - Quel est votre diagnostic ?
L’extravasation de produit de contraste est une complication non exceptionnelle des injections intraveineuses de produit de contraste.
En cas d’extravasation, il convient d’arrêter la perfusion en cours, de tenter d’aspirer le contraste extravasé, de surélever le bras et de le glacer.
Par ailleurs, après avoir estimé le volume injecté, il est indispensable de délimiter l’étendue de l’extravasation, et d’évaluer les signes de mauvaise tolérance (peau cartonnée, troubles de perfusion, moteurs et sensitifs). À l’extrême, une extravasation expose à un syndrome des loges.
L’extravasation doit être signalée dans le compte-rendu.
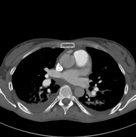
Finalement, après réinjection de produit de contraste, le scanner suivant est réalisé.
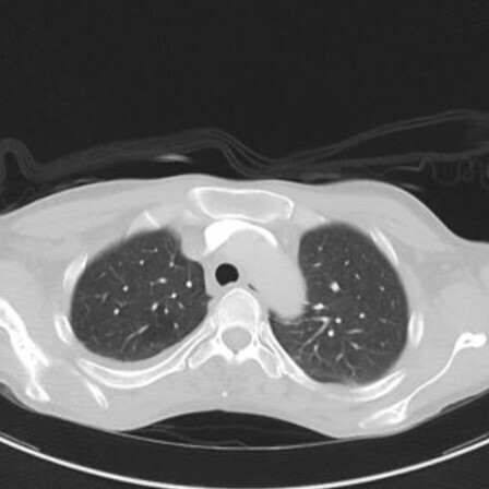
Question 15 - Quelle est votre première hypothèse diagnostique ?
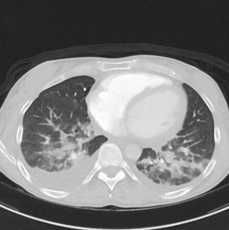
Le diagnostic d’œdème aigu du poumon (OAP) se fait sur un faisceau d’arguments : la cardiomégalie avec dilatation des veines pulmonaires, les plages en verre dépoli et d’épaississement des septa interlobulaires déclives respectant les lobes supérieurs, ainsi que les épanchements pleuraux bilatéraux d’abondance modérée. L’accumulation de ces éléments rend le diagnostic d’OAP le plus probable.
Il n’y pas de défect endoluminal des artères pulmonaires permettant d’éliminer l’embolie pulmonaire. Il n’y a pas non plus de signe indirect d’embolie pulmonaire (infarctus pulmonaire).
L’hémorragie intra-alvéolaire peut aussi se manifester sous la forme de plages de verre dépoli, mais le contexte est différent, et la cardiomégalie avec dilatation des veines pulmonaires ne sont pas en faveur.
L’absence de condensation parenchymateuse et la topographie des anomalies parenchymateuses pulmonaires n’est pas en faveur d’une pneumopathie bilatérale.
– le jeûne expose aux accidents hypoglycémiques ;
– une insuffisance rénale peut être aggravée par l’injection de produit de contraste ;
– la metformine expose au risque d’acidose lactique par diminution de sa clairance rénale en cas de néphropathie induite par le PCI.
La metformine doit être arrêtée si le DFG est inférieur à 30 mL/min/1,73 m². Si le DFG est supérieur à 30 mL/min/1,73 m², le traitement peut être poursuivi, sous réserve de s’assurer de la bonne hydratation du patient.
Il n’est plus recommandé de l’interrompre 48 heures avant l’examen ou après l’injection de produit de contraste.
Source : De Laforcade L, Bobot M, Bellin MF, et al. Recommandations ESUR sur l’utilisation des produits de contraste : enquête de pratique, revue et commentaire par le CJN, le FIRN et la SFNDT. Néphrol Ther 2021;17(2):80-91.