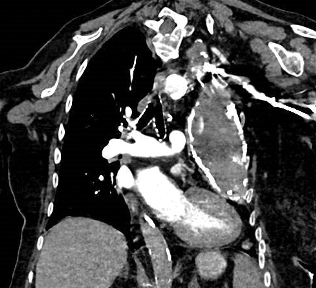
Une femme de 97 ans est hospitalisée pour dyspnée. Elle a un antécédent ancien de pleurésie qui a été drainée.
Quel est votre diagnostic ?
La tuberculose pleurale est une des localisations extrapulmonaires les plus fréquentes.
Le diagnostic est évoqué par la ponction pleurale qui met en évidence un exsudat lymphocytaire, riche en adénosine désaminase (ADA) et est confirmé par la biopsie pleurale devant des lésions granulomateuses avec cellules géantes.
Les séquelles pleurales à type de calcifications (aspect en « os de seiche ») sont la conséquence de l’absence d’un traitement bien conduit.
Le diagnostic est évoqué par la ponction pleurale qui met en évidence un exsudat lymphocytaire, riche en adénosine désaminase (ADA) et est confirmé par la biopsie pleurale devant des lésions granulomateuses avec cellules géantes.
Les séquelles pleurales à type de calcifications (aspect en « os de seiche ») sont la conséquence de l’absence d’un traitement bien conduit.