Vous recevez aux urgences un patient âgé de 55 ans, commerçant, diabétique sous metformine depuis 5 ans et traité pour tuberculose pulmonaire commune il y a 5 ans.
À l’interrogatoire, on note la présence de contage tuberculeux récent (chez son frère) ; pas de tabagisme (ni actif ni passif), d’exposition professionnelle à l’amiante ou à la silicose, de contact avec les animaux, d’exposition à la fumée de bois.
Il consulte pour une symptomatologie respiratoire datant de 15 jours : douleur thoracique diffuse, hémoptysie de petite abondance, dyspnée permanente, toux productive avec des expectorations pyosanglantes. Pas d’amélioration sous amoxicilline + acide clavulanique (1 g x 3/j) débutée il y a 5 jours.
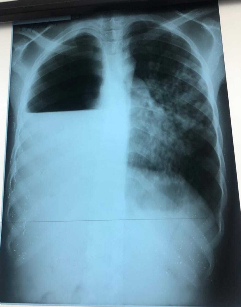
À l’examen : altération de l’état général, associé à une fièvre et sueurs nocturnes ; pâleur cutanéo-muqueuse, PA = 10/60 mmHg, FC = 100 b/min, T°= 38,8 °C, FR = 38 cycles/min, SaO2 : 93 % à l’air ambiant. Syndrome de condensation pulmonaire (râles crépitants) au niveau de l’hémithorax gauche, et syndrome d’épanchement pleural mixte à l’hémithorax droit. Une radiographie du thorax est réalisée aux urgences.
Quel diagnostic évoquez-vous en 1er ?
Certes, la présence d’une symptomatologie respiratoire (douleur thoracique, dyspnée, hémoptysie et toux), associée à une altération d’état général, fait craindre un cancer broncho-pulmonaire, mais ce qui rend ce diagnostic peu probable, c’est l’absence de tabagisme actif et passif, et l’absence d’exposition professionnelle à des agents cancérigènes.
L’absence de contact avec les animaux, de vomique à l’interrogatoire et de la classique image en nénuphar (opacité dense, homogène, surmontée d’une clarté, séparée d’elle par un niveau ondulé) rend ce diagnostic peu probable.
Il s’agit du pyopneumothorax tuberculeux. Explications ci-dessous.
Elle est rapidement éliminée devant la radiographie thoracique du patient, car la PFLA donne un syndrome alvéolaire fait d’une opacité de densité homogène, bien systématisée, avec bronchogramme aérien. Généralement, la PFLA est due au pneumocoque, qui est habituellement sensible à l’amoxicilline.
Le pyopneumothorax tuberculeux est une complication rare mais grave de la tuberculose pulmonaire évolutive. Le diagnostic est facilement évoqué quand s’associent au pneumothorax des lésions fibro-cavitaires parenchymateuses. On demande un bilan phtisiologique : recherche de BK (Bacille de Koch) dans les expectorations et dans le liquide d’aspiration bronchique (revenues positifs), IDR (intradermoréaction à la tuberculine : revenu positif), bilan inflammatoire (VS, CRP élevés).
Puis, le bilan préthérapeutique : hémogramme, créatininémie, bilan hépatique complet (transaminases, phosphatases alcalines, gamma GT), uricémie ; avec recherche de terrain d’immunodépression (sérologie VIH après consentement du patient).
Le traitement repose sur un traitement antituberculeux correct selon le régime 2SRHZ/7RH ; un drainage thoracique (parfois guidé par un repérage échographique) permettant la fermeture de la fistule bronchopleurale au bout de quelques semaines, pouvant être associé à des lavages-aspirations par du sérum physiologique, quotidiens et répétés ; une kinésithérapie adaptée et bien suivie.
L’évolution était favorable chez ce patient : amélioration clinique (disparition des symptômes respiratoires et de la fièvre, avec reprise du poids), avec régression du syndrome inflammatoire biologique. Réflexe : le pyopneumothorax tuberculeux est une forme grave de la tuberculose nécessitant une prise en charge associant une polychimiothérapie spécifique, un traitement local et une kinésithérapie +++.
Puis, le bilan préthérapeutique : hémogramme, créatininémie, bilan hépatique complet (transaminases, phosphatases alcalines, gamma GT), uricémie ; avec recherche de terrain d’immunodépression (sérologie VIH après consentement du patient).
Le traitement repose sur un traitement antituberculeux correct selon le régime 2SRHZ/7RH ; un drainage thoracique (parfois guidé par un repérage échographique) permettant la fermeture de la fistule bronchopleurale au bout de quelques semaines, pouvant être associé à des lavages-aspirations par du sérum physiologique, quotidiens et répétés ; une kinésithérapie adaptée et bien suivie.
L’évolution était favorable chez ce patient : amélioration clinique (disparition des symptômes respiratoires et de la fièvre, avec reprise du poids), avec régression du syndrome inflammatoire biologique.
Réflexe : le pyopneumothorax tuberculeux est une forme grave de la tuberculose nécessitant une prise en charge associant une polychimiothérapie spécifique, un traitement local et une kinésithérapie +++.
Pour en savoir plus :
Hicham S, Hanane EO, Hicham J, et al. Pyo-pneumothorax tuberculeux : à propos de 18 cas. Pan Afr Med J 2016;24(9):26.
Ami M, Zaghba N, Benjelloun H, et al. Pyopneumothorax tuberculeux. Rev Mal Respir 2018;35:A263.
Par le Dr Fatima Oulhouss, médecine interne, CHP Inezgane, Maroc.