De nouvelles recos sur le pneumothorax viennent d’être éditées par la SPLF : elles mettent l’accent sur sa prise en charge en ambulatoire, dans certaines conditions. Que doit savoir le MG ? Quand évoquer le diagnostic ? Quels conseils donner aux patients pour prévenir les récidives ?

Le pneumothorax est lié à l’irruption d’air au sein de la cavité pleurale, qui entraîne la perte de pression négative habituelle ou une pression positive ; cela peut s’accompagner d’un collapsus, partiel ou complet, du poumon sous-jacent. Il est plus fréquent chez l’homme : l’incidence annuelle est comprise entre 7,4 à 24 cas pour 100 000 habitants (vs 1,2-6 cas pour 100 000 chez la femme).

Quatre types

Spontané primaire (PSP) : ou idiopathique, survient chez des patients n’ayant pas de pathologie respiratoire sous-jacente, plutôt d’âge jeune ; il se formerait par rupture de bulles sous-pleurales (blebs) à la suite d’une élévation de pression.

Spontané secondaire (PSS) : apparaît chez des sujets ayant une affection respiratoire sous-jacente (surtout BPCO avec emphysème mais aussi asthme, mucoviscidose, pathologie interstitielle, cancer bronchique ou infection pulmonaire nécrosante) ; souvent moins bien toléré que le primaire et associé à une plus grande morbimortalité.

Cataménial : survient 24 à 72 heures après le début des menstruations ; volontiers associé à une endométriose thoracique, qu’il faut rechercher.

Traumatique : consécutif à une effraction de la plèvre pariétale, liée à un traumatisme direct (plaie pénétrante), indirect (écrasement thoracique responsable d’une hyperpression) ou iatrogène (biopsies ou ponction transthoraciques, ventilation).

Facteurs de risque 

Tabagisme +++ : risque multiplié par 9 chez la femme et 22 chez l’homme ; il est accentué par la consommation de cannabis, qui favorise le développement de lésions bulleuses pulmonaires. Conditions météorologiques (variations de la pression atmosphérique), associées parfois à de petites « épidémies ».

Quand évoquer le diagnostic ? 

Les signes cliniques sont variables, souvent d’apparition brutale :

  • douleur thoracique « en coup de poignard », dyspnée, toux ;
  • diminution ou abolition du murmure vésiculaire ;
  • si pneumothorax sous tension (compressif) : la pression positive engendrée entraîne une détresse respiratoire et une compression des cavités cardiaques responsable d’un état de choc par tamponnade gazeuse, mettant en jeu le pronostic vital.

L’imagerie confirme le diagnostic et évalue l’abondance.

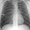
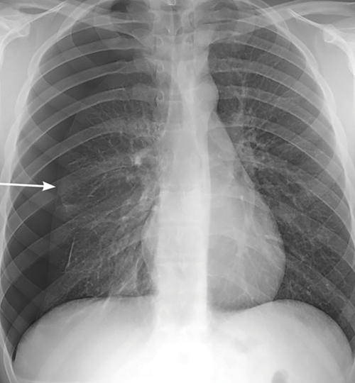
La radiographie thoracique (de face, debout et en inspiration ; clichés en expiration non recommandés) met en évidence une hyperclarté avasculaire plus ou moins importante délimitée en dedans par la plèvre viscérale visualisée par une ligne bordante pleurale. On parle de pneumothorax « complet » en cas de décollement sur toute la longueur de la ligne axillaire de l’apex au diaphragme.

On recherche des signes de compression avec déviation médiastinale et refoulement des organes, une bride retenant partiellement le poumon à la paroi (sa rupture peut provoquer un hémopneumothorax). Un pneumothorax est considéré de grande abondance lorsqu’il existe un décollement sur toute la hauteur de la ligne axillaire, d’une largeur ≥ 2 cm au niveau du hile.

Le scanner thoracique n’est pas recommandé en 1re intention. Il est utile en cas d’incertitude diagnostique, de suspicion de pathologie sous-jacente ou avant chirurgie.

Prise en charge du premier épisode

En cas de pneumothorax spontané primaire récent (figure) :

  • Si faible abondance et bonne tolérance : une prise en charge conservatrice est recommandée : surveillance ++ (recommandation forte), une résorption spontanée étant possible. La prise en charge doit être ambulatoire si le patient est observant, stable cliniquement et radiologiquement à 4 heures. Il ne doit pas être seul dans les 24 premières heures. Une consultation avec radiographie thoracique doit être prévue à 24-72 heures.
  • Si échec ou aggravation, l’évacuation de l’air par exsufflation ou drainage est recommandée.
  • Si grande abondance sans signe de sévérité : nécessité d’évacuer l’air par exsufflation ou par drainage. L’exsufflation consiste à insérer, après anesthésie locale, une aiguille par voie antérieure, au niveau du 2e ou 3e espace intercostal et en dehors de la ligne médio-claviculaire ; après une surveillance de 3 à 6 heures, prise en charge ambulatoire ; en cas d’échec, pose d’un drain thoracique de petite taille (≤ 14 F) par voie antérieure ou axillaire. En alternative à l’exsufflation : pose d’un cathéter de Fuhrman (drain « en queue de cochon ») raccordé à une valve anti-retour de Heimlich, permettant au patient de déambuler. Prise en charge en ambulatoire selon les mêmes conditions que le PSP de faible abondance ; sinon hospitalisation courte.
  • Si pneumothorax suffocant, compressif : prise en charge urgente +++, avec mesure de réanimation et remplissage vasculaire. Décompression en urgence par voie antérieure ou axillaire, au moyen d’un kit de thoracocentèse ou tout autre dispositif d’exsufflation disponible (aiguille creuse…) ; le drain doit être posé immédiatement après la décompression.
  • L’administration systématique d’oxygène et le repos strict au lit ne sont pas recommandés.
  • Il faut limiter les activités sportives intenses et de contact jusqu’à résolution complète du pneumothorax.

En cas de pneumothorax spontanés secondaires et traumatiques : le drainage est recommandé en 1re intention, si la taille du pneumothorax le permet, en hospitalisation (au moins 24 heures). Pour les iatrogènes (évolution généralement favorable) : l’abstention est possible (surveillance).

Hémopneumothorax (rupture de bride vascularisée) : drainage chirurgical conseillé.

Les récidives sont fréquentes : 30 % de récidive homolatérale après le 1er épisode, jusqu’à 60 % après un 2e et 80 % après un 3e.

Que conseiller aux patients après un épisode ?

  • Le patient doit être informé du risque de récidive et des signes cliniques devant amener à reconsulter.
  • Le sevrage tabagique est indispensable pour diminuer le risque de récidive.
  • Une consultation de pneumologie est recommandée après un épisode de pneumothorax pour rechercher une pathologie respiratoire sous-jacente.
  • La plongée sous-marine avec détendeur est contre-indiquée à vie.
  • Vols aériens : proscrits si le pneumothorax n’est pas résolu. Il est recommandé d’attendre 2 semaines après la résolution du pneumothorax avant de prendre l’avion (recommandation SPLF).
  • Pas de limitation à la pratique du sport après la résolution du pneumothorax.
  • Pas de contre-indication aux efforts à glotte fermée (instrument à vent…).

Qu’en retenir ?

  • Un pneumothorax doit être suspecté devant une douleur thoracique brutale, associée à une dyspnée et une diminution/abolition du murmure vésiculaire.
  • La radiographie thoracique fait le diagnostic.
  • La prise en charge ambulatoire doit être favorisée pour les PSP de faible abondance jusqu’à résolution spontanée et les PSP de grande abondance évacués.
  • Le sevrage tabagique est indispensable.
  • La plongée sous-marine en bouteille est contre-indiquée à vie.
  • Une consultation pneumologique est recommandée après chaque épisode.

Encadre

1. Rôle du médecin généraliste

Les nouvelles recommandations mettent le cap sur la prise en charge ambulatoire.

Le médecin traitant joue un rôle capital dans la mise en place du réseau ville-hôpital, permettant cette prise en charge. Celle-ci est possible uniquement si le patient a accès à un centre médical dans l’heure. Son rôle est également majeur dans la prévention des récidives en aidant le sevrage tabagique.

Encadre

2. Pleurodèse : quelles indications ?

– Récidive homolatérale ou 1er épisode controlatéral

– Pneumothorax bilatéral

– Échec de drainage (≥ 4 jours)

– Profession à risque (pilote, personnel navigant), parachutisme sportif

Dans cet article

Ce contenu est exclusivement réservé aux abonnés