Vous êtes médecin du Samu. Le soir du 10 mai 2019, vous êtes appelé sur le lieu d’un accident de la voie publique, voiture contre voiture sur une route nationale.
Les témoins sur place rapportent un violent choc frontal entre les 2 voitures.
Sur place, les pompiers ont extrait un patient de 32 ans. Vous réalisez un premier examen clinique : lorsqu’on le pince il émet un grognement, essaie de repousser votre main, et ouvre les yeux. Il n’y a pas de déformation de membres ni de saignement extériorisé, l’auscultation cardiopulmonaire est sans particularité, le patient émet un grognement lors de la palpation abdominale, les pupilles sont normo-réactives.
Les paramètres vitaux sur place sont : pression artérielle (PA) = 78/55 mmHg ; pression artérielle moyenne (PAM) = 62 mmHg ; fréquence cardiaque (FC) = 120 bpm ; saturation en oxygène (SpO2) = 98 % ; Dextro = 5,2 mmol/L
Hémocue = 10,5 g/dL.
Un électrocardiogramme (ECG) est réalisé sur place :
Question 1 - Parmi les propositions suivantes laquelle (lesquelles) est (sont) exacte(s) ?
À l’ECN, le score de Glasgow a une très forte probabilité de tomber, c’est très facile à poser en question et il se retrouve dans de très nombreux DP de réanimation. Il y a souvent des ambiguïtés sur les termes utilisés dans le score, surtout pour la réponse motrice, c’est pourquoi je vous mets le détail avec tous les termes possibles pour décrire la réponse motrice et verbale.
Réponse motrice : 6 : à la demande ; 5 : orientée (= adaptée, c’est-à-dire localise la douleur) : bouge un membre pour essayer de supprimer le stimulus douloureux ; 4 : évitement (= retrait) : retire le membre qui a reçu le stimulus douloureux ; 3 : flexion stéréotypée : flexion des 2 membres supérieurs quel que soit le stimulus douloureux, correspond à une décortication ; 2 : extension stéréotypée : extension de tous les membres et rotation interne des 2 membres supérieurs (manœuvres d’enroulement) correspondant à une décérébration ; 1 : aucune réponse à la douleur.
Pour la réponse verbale, il y a aussi des termes différents : 5 : adaptée ; 4 : confusion (désorientation temporo-spatiale) ; 3 : incohérent (propos décousus) ; 2 : incompréhensible (grognement, onomatopée) ; 1 : aucune réponse. Le score de Glasgow-Liège complète le score de Glasgow mais est surtout utilisé en réanimation pour évaluer l’état végétatif du patient. L’ECG réalisé sur place retrouve une tachycardie sinusale régulière avec un axe des complexes QRS compris entre 0 et 90° (quasiment à 90° dans ce cas). Je vous remets une aide pour la mesure de l’axe cardiaque :
Question 2 - Le patient va être transféré par camion du Samu au CHU le plus proche, vous prenez les précautions suivantes avant le transport :
Le patient doit être considéré comme polytraumatisé vu la cinétique du choc, donc toujours immobilisation dans un matelas coquille pour le transport.
Le soluté de remplissage de 1re intention est un cristalloïde.
Il existe des cristalloïdes isotoniques au plasma : sérum à 0,9 %, glucosé 5 %, bicarbonate de Na, Ringer Lactate ; et des solutés hypertoniques : sérum à 7,5 %, G30 %, indiqués dans des situations spécifiques et restreintes.
Les colloïdes sont utilisés en 2e intention, ce sont des macromolécules qui permettent d’éviter la fuite capillaire du soluté. Pour faire simple, les colloïdes restent dans les vaisseaux, leurs principaux risques sont l’allergie et le risque de troubles de l’hémostase, ils coûtent également beaucoup plus cher. Ils sont représentés par Plasmion, Voluven, et l’albumine.
La norédraline sera débutée en 2e intention en cas d’échec du remplissage avec persistance d’une hypotension. Elle s’administre par voie centrale (cathéter veineux jugulaire, sous-clavier, fémoral), mais la voie périphérique est possible en urgence en attente de la pose de la voie centrale (recommandation de la Société française d’anesthésie et de réanimation [SFAR] 2015).
L’objectif de la pression artérielle systolique (PAS) en l’absence de traumatisme crânien est 80-90 mmHg jusqu’à réalisation de l’hémostase.
Chez ce patient il n’y a pas encore d’indication d’une intubation. Les principaux critères d’intubation en urgence sont : détresse respiratoire aiguë avec signes d’épuisement majeur, coma avec score de Glasgow < 8 entraînant un risque majeur d’inhalation du contenu gastrique, arrêt cardiorespiratoire.
Par contre, si on avait dû l’intuber, on l’aurait fait en séquence rapide car il est considéré comme ayant l’estomac plein et il y a un gros risque d’inhalation du contenu gastrique. Dans ce cas la ventilation au masque préalable à l’intubation est contre-indiquée car elle augmente ce risque d’inhalation en remplissant l’estomac d’air.
Le dextro du patient montre une glycémie normale (attention à la conversion g/L → mmol/L, il faut multiplier ou diviser par 5,5).
Référence : Collège des enseignants de médecine intensive-réanimation, 6e édition.
Le patient est arrivé 10 minutes après au déchocage du Trauma Center, la PA est à 80/60 mmHg après un remplissage par sérum physiologique, la FC à 120/min.
Question 3 - Quel est (ou quels sont) l’(ou les) examen(s) que vous réalisez en urgence ?
Ce patient est classé en catégorie 1 ou 2 des polytraumatisés (instable ou critique), il est un peu tôt pour évaluer le remplissage mais il est instable hémodynamiquement au début de la prise en charge. Les 3 examens en urgence sont : – radio de thorax qui recherche une rupture de l’isthme aortique ou un hémopneumothorax ; – écho FAST ou l’on place la sonde d’écho à 3 points : abdominal pour rechercher un épanchement intra-abdominal ; sternal pour rechercher un épanchement péricardique ; pleural pour rechercher un épanchement pleural (hémothorax ou pneumothorax) ; ce sont les principales étiologies de choc après un polytraumatisme à rechercher en urgence car elles nécessitent un traitement urgent ; – radio du bassin de face pour rechercher un fracas du bassin responsable de saignements majeurs. Ces 3 examens permettent de diagnostiquer une étiologie qui peut être rapidement prise en charge sans aller au Body-TDM. Le Doppler transcrânien peut être réalisé au lit du patient mais n’est pas indispensable à la prise en charge initiale, il indique une souffrance cérébrale mais ne permet pas de se passer de la TDM cérébrale pour en faire le diagnostic étiologique. Il est recommandé en cas de traumatisme crânien grave avec score de Glasgow < 8. Attention ! s’il y a un saignement clairement identifié (fracture ouverte du fémur, par exemple) chez un patient instable, il faut l’emmener au bloc directement sans faire ces examens. Si le patient est dans la catégorie 3 des polytraumatisés (= stable dès le début de la prise en charge), il faut lui faire la TDM corps entier d’emblée si disponible en moins de 30 minutes.
Référence : Collège des enseignants de médecine intensive-réanimation, 6e édition.
La radio du thorax et du bassin sont normales, l’écho FAST montre un épanchement intra-abdominal important. La PA est à 70/50 mmHg malgré un remplissage par 2 L de sérum physiologique, l’hémocue retrouve une hémoglobine à 6,5 g/dL.
Question 4 - Quelle est votre prise en charge ?
Nous sommes devant un choc hémorragique avec une hypotension qui ne répond pas au remplissage, une déglobulisation rapide avec un épanchement intra-abdominal important. L’urgence est l’envoi au bloc opératoire pour exploration et traitement du saignement, jamais de TDM chez un patient instable. La catécholamine de référence pour le choc hémorragique est la noradrénaline par voie intraveineuse (IV) en cas de persistance d’une hypotension avec une PAS < 80 mmHg (recommandations de la SFAR 2015). La dobutamine est utilisée dans les chocs cardiogéniques, car c’est un inotrope positif (action bêta-1) mais n’a pas d’action sur les vaisseaux (action alpha-1), elle ne peut donc pas augmenter la pression artérielle par vasoconstriction. Le PFC est utilisé dans les chocs hémorragiques avec un ratio CGR/PFC à 1/1 ou 2/1, et l’objectif d’hémoglobine est entre 7 et 9 g/dL.
Question 5 - Concernant la transfusion en urgence de concentrés érythrocytaires :
La transfusion est ici une urgence vitale, sans délai, on peut transfuser sans carte de groupe ni RAI si on utilise des culots O négatif, donneur universel. Cependant, il faudra s’assurer au lit du patient que le culot qui va être transfusé est bien du groupe O, on ne peut pas éviter le test de Beth-Vincent qui est le contrôle ultime au lit du patient. Il n’y a plus aucune indication pour les culots CMV négatifs chez l’adulte.
Question 6 - Concernant le test ci-dessus, quelle est la ou les réponse(s) vraie(s)
C’est le test de Beth-Vincent, test ultime au lit du malade pour s’assurer de la compatibilité du culot avec le patient, on ne peut pas se passer de ce test. Ici, les globules rouges (GR) du patient s’agglutinent en présence d’anticorps anti-A et d’anticorps anti-B, il porte donc les antigènes A et B. Il est donc du groupe AB. Les GR du culot ne s’agglutinent pas en présence des anticorps anti-A ou anti-B, il ne porte donc ni l’antigène A ni l’antigène B, il est donc de groupe O. Le CGR ne va pas apporter au patient des antigènes qu’il ne possède et contre lequel il aurait pu avoir des anticorps, on peut donc le transfuser avec ce culot. Groupe O : donneur à tous les autres groupes car il ne possède pas d’antigène. Groupe AB : ne peut donner qu’aux groupes AB car il possède les 2 antigènes.
Le patient est transféré en urgence au bloc opératoire. En même temps est débutée la noradrénaline sur un cathéter sous-clavier droit. Le chirurgien retrouve un hémopéritoine sur rupture de rate, il réalise une splénectomie d’hémostase. Le patient est transféré en réanimation chirurgicale en postopératoire et est stabilisé.
Question 7 - Concernant le choc hémorragique :
La PAS est le reflet du volume éjecté du cœur à chaque systole et diminue préférentiellement en cas de choc cardiogénique ou hypovolémique ou en cas de rétrécissement aortique. La pression artérielle diastolique (PAD) est le reflet de la résistance des vaisseaux périphériques et diminue préférentiellement en cas de vasoplégie, d’hypovolémie, de choc septique. Le système sympathique s’active en cas d’hypovolémie et vasoconstricte les territoires splanchniques (digestifs), musculocutanés, et rénaux pour assurer une bonne distribution sanguine au cœur et au cerveau. Ce système ne permet plus de maintenir une bonne perfusion des organes si l’hypovolémie dépasse 30-40 %. La triade acidose, hypothermie et coagulopathie secondaire (par consommation des facteurs de coagulation) est fréquente dans le choc hémorragique et l’aggrave. L’index cardiaque qui est la fréquence cardiaque par le volume éjecté à chaque systole (FC x VES) diminue malgré l’augmentation de la FC car le VES diminue drastiquement.
Question 8 - Quelles est la prise en charge à proposer au patient étant donné la splénectomie
Après une splénectomie, vaccination antipneumococcique tous les 5 ans, anti-Hæmophilus b, antiméningococcique ACYW135, et antigrippal annuel (n’est pas favorisé par la splénectomie mais favorise les infections bactériennes au décours). Pas de contre-indications des vaccins vivants. Attention ! c’est la pénicilline V (oracilline) per os une fois par jour pendant 2 ans (pendant 5 ans chez l’enfant). La pénicilline G est très rarement utilisée, parfois dans les érysipèles, et est utilisée sous forme injectable.
Référence : Pilly, 2018.
Question 9 - Quelles sont les complications à redouter en postopératoire chez ce patient ?
Un cathéter est dit central si son extrémité arrive dans une veine de gros calibre (veine cave, veine fémorale principalement). Le cathéter sous-clavier a pour principal risque le pneumo- ou hémothorax, toujours faire une radio de thorax de contrôle. Risque infectieux du cathéter : fémoral (voie de l’urgence) > jugulaire > sous-clavier. Les indications de pose de cathéter veineux central sont la perfusion de solutés veinotoxiques (chimiothérapie, nutrition parentérale), ou l’utilisation d’amines vasopressives. La récidive hémorragique est à craindre devant une hypotension chez ce patient en postopératoire. De manière réflexe, il faut surveiller les complications thromboemboliques chez ce patient qui a des troubles de l’hémostase secondaire au choc hémorragique, des complications métaboliques et qui est maintenu alité. L’anticoagulation préventive se discute en fonction de la balance bénéfices-risques. Dans l’attente on peut mettre en place des compressions pneumatiques intermittentes.
Vingt-quatre heures après la pose du cathéter sous-clavier, le patient présente une dyspnée avec une saturation en O2 à 95 %. Il est apyrétique, FC : 100 bpm, PA : 100/77 mmHg.
Question 10 - Quels seraient les arguments en faveur d’un pneumothorax droit ?
En présence d’un pneumothorax droit, on observe une abolition des vibrations vocales à la palpation, un tympanisme à la percussion, une diminution de l’expansion thoracique à l’inspiration et une abolition du murmure vésiculaire (MV) à l’auscultation.
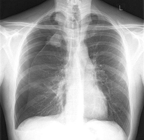
Une radio de thorax de face est réalisée.
Question 11 - Concernant cette radiographie du thorax quelle est la ou les proposition(s) vraie(s) ?
Il y a un pneumothorax droit sur cette radio, il est complet car le poumon est complètement décollé sur toute sa hauteur. La 1re côte donne souvent l’impression d’un pneumothorax apical par son arc antérieur, mais c’est un pur effet de contraste. Sur cette radio il n’y a pas de signe de gravité radiologique. Attention ! la déviation du médiastin (non présente ici) n’est pas un signe de gravité du pneumothorax. Il ne faut jamais faire de radio en expiration en cas de suspicion de pneumothorax, ça pourrait entraîner un collapsus par diminution du retour veineux. Le pneumothorax comprime la veine cave et diminue le retour veineux, l’expiration diminue encore plus ce retour veineux et peut entraîner un désamorçage de la pompe cardiaque. Le drainage se fait soit par voie antérieure en dehors de la ligne médio-claviculaire entre le 2e et le 3e EIC, soit par voie axillaire sur la ligne axillaire moyenne entre le 4e et le 5e EIC. Pour avoir un repère, retenir que le mamelon est au niveau du 5-6e EIC, donc on ne draine jamais en-dessous du mamelon.
Le pneumothorax est drainé, le cathéter est laissé en place, les radios de contrôle sont satisfaisantes. Le patient devient fébrile à 38,5 °C à 5 jours postopératoires, il n’a pas de signes de phlébite, pas de symptômes respiratoires, l’auscultation pulmonaire est claire, il ne présente pas de syndrome méningé, il présente une inflammation au point d’insertion du cathéter. Des hémocultures sur voie périphérique sont réalisées qui retrouvent la bactérie suivante à l’examen direct.
Question 12 - Quelle(s) est la ou les proposition(s) vraie(s)?
C’est la coloration de Gram qui permet de réaliser l’examen direct.
Il y a 4 types principaux de bactéries visibles en coloration de Gram : la famille des cocci qui comprend : Cocci Gram + : pneumocoque, streptocoque, qui sont reconnaissables à l’examen direct en fonction de leur disposition : les staphylocoques sont en amas ; les streptocoques sont en chaînettes ; les pneumocoques sont en diplocoque ; Cocci Gram - : méningocoque, gonocoque ; la famille des bacilles qui comprend : Bacilles Gram + : listeria, diphtérie ; Bacilles Gram - : groupe des entérobactéries, classée dans 4 groupes selon leur résistance.
La coloration de Ziehl-Nielsen permet de mettre en évidence les mycobactéries, BAAR (bacilles acido-alcoolorésistants) à l’examen direct.
Après 5 jours d’hospitalisation dans un service de réanimation, il faut cibler les germes nosocomiaux et non pas communautaires. On ne peut pas affirmer pour le moment que le cathéter est à l’origine de la bactériémie, il faut réaliser des hémocultures sur cathéter et sur voie périphérique au même moment pour établir les critères d’infection de cathéter.
Critères d’infection du cathéter : hémocultures du KT positives de manière significative (> 10^3/mL, 2 heures avant celles de la voie périphérique ou les hémocultures du KT sont 5 fois plus concentrées à la même bactérie que celles de la voie périphérique. Une autre porte d’entrée est tout à fait possible en présence d’un BGN sur les hémocultures, notamment une infection urinaire ou digestive.
La culture retrouve un Enterobacter cloacae à 10^4/mL avec un délai de pousse de 6 h sur les hémocultures du cathéter et de 10 h sur les hémocultures en périphérie.
Question 13 - Quelle(s) est la ou les proposition(s) vraie(s) ?
Critères d’infection du cathéter : hémocultures du KT positives de manière significative (> 10^3/mL), 2 heures avant celles de la voie périphérique ou les hémocultures du KT sont 5 fois plus concentrées à la même bactérie que celles de la voie périphérique.
Critères d’ablation du cathéter de longue durée (PAC, cathéter tunellisé) : les cathéters sont précieux pour les patients, on aura tendance à les garder même en présence d’une infection sauf en présence de : choc septique, thrombose de cathéter, certains germes (Staphylococcus aureus, Pseudomonas aeruginosa), infections fungiques. Il s’agit d’une bactériémie liée au cathéter avérée sur un cathéter de courte durée, il faut retirer le cathéter et débuter une antibiothérapie probabiliste à adapter secondairement en fonction de la bactérie retrouvée. Ici on retrouve une entérobactérie du groupe 3, c’est-à-dire qu’elle contient une céphalosporinase de bas niveau avec un risque de développer une céphalosporinase hyperproduite (c’est-à-dire de haut niveau) en cas de traitement par céphalosporine de 3e génération (C3G). Pour cette raison, les entérobactéries du groupe 3 se traitent avec des C4G (cetfazidime ou céfépime, car elles ont moins de risque de créer une céphalosporinase hyperproduite.
Voir le tableau ci-dessous : Dans le cadre des infections liées au cathéter il faut réaliser une ETT si la bactérie responsable est le Staphyloccocus aureus ou bien une candidémie, devant le haut risque de greffe valvulaire. Une ETT sera réalisée également en cas de persistance de la fièvre au-delà de 5 jours malgré une antibiothérapie adaptée. Un écho-Doppler du vaisseau concerné est indispensable à la recherche d’une thrombose septique qui nécessitera une anticoagulation curative et augmentera la durée de traitement.
Le cathéter veineux central est retiré, la pipéracilline/tazobactam est relayée pour de la ceftazidime, l’écho-Doppler veineux n’a pas montré de thrombose de la veine sous-clavière droite, les hémocultures sont revenues stériles après 48 h de traitement probabiliste. Dans un intervalle de 10 min, le cathéter veineux central est retiré et la 1re dose de ceftazidime est administrée. Cinq minutes après, le patient perd connaissance : PA = 69/45 mmHg, FC = 140/min, SpO2 = 94 % en air ambiant, température = 38 °C.
Question 14 - Quelle(s) est (sont) l’(les) hypothèse(s) diagnostique(s) la (les) plus probable(s) ?
Le plus probable est un choc anaphylactique à la ceftazidime devant une très bonne imputabilité intrinsèque (tableau clinique et délai d’apparition concordant parfaitement) et imputabilité extrinsèque (nombreuses réactions allergiques aux bêtalactamines reconnues). Le rash cutané n’est pas systématique et peut être d’apparition retardée. Les signes neurologiques sont la conséquence de l’hypotension artérielle avec bas débit cérébral. Une embolie gazeuse donne des troubles neurologiques marqués, une hypoxémie, des troubles cardiovasculaires importants, étant donné le passage intravasculaire de bulle entraînant l’occlusion de nombreux vaisseaux responsables d’ischémie en aval et d’inflammation locale. Le diagnostic de certitude repose sur l’échographie cardiaque qui retrouve les bulles dans les cavités cardiaques. Les deux autres diagnostics sont très peu probables étant donné la brutalité d’installation du tableau clinique, la négativation des hémocultures, l’absence de syndrome infectieux franc. (L’épisode subfébrile peut être expliqué par l’inflammation retrouvée dans le choc anaphylactique et l’embolie gazeuse.)
Une éruption cutanée à type de papule apparaît quelques minutes après le début du tableau vous confortant dans l’idée d’un choc anaphylactique à la ceftazidime. PA = 69/45 mmHg ; FC = 140/min ; SpO2 = 93 % en air ambiant ; score de Glasgow à 6.
Question 15 - Quelle(s) est (sont) la (les) mesure(s) à entreprendre immédiatement ?
Il faut évidemment arrêter la perfusion de l’allergène avant tout. On est devant un choc anaphylactique de grade 3 (voir classification en dessous), il faut débuter des bolus d’adrénaline à 0,1 mg ou 0,2 mg. La dose d’adrénaline à 1 mg par bolus est réservée à l’arrêt cardiorespiratoire : – grade 1 : pas d’adrénaline ; – grade 2 : bolus de 10-20 microgrammes ; – grade 3 : bolus de 100-200 microgrammes ; – grade 4 : arrêt cardiorespiratoire ; – grade 5 : décès. L’urgence est à la réanimation cardiopulmonaire dans ce contexte d’état de choc, les corticoïdes ont un effet retardé et évitent surtout les relargages d’allergènes pouvant être responsables de récidive. Ils ne sont pas à administrer en urgence. Les antihistaminiques ont un effet mineur et retardé, ils ne sont pas non plus recommandés en urgence. Le choc anaphylactique correspond à une hypovolémie relative par vasodilatation majeure, il faut augmenter la volémie de ces patients en stimulant la vasoconstriction et par un remplissage vasculaire. Il faut bien sûr intuber en séquence rapide ce patient qui a un score de Glasgow < 8, avec hypoxémie, risque de bronchospasme et état de choc.
Le soluté de remplissage de 1re intention est un cristalloïde.
Il existe des cristalloïdes isotoniques au plasma : sérum à 0,9 %, glucosé 5 %, bicarbonate de Na, Ringer Lactate ; et des solutés hypertoniques : sérum à 7,5 %, G30 %, indiqués dans des situations spécifiques et restreintes.
Les colloïdes sont utilisés en 2e intention, ce sont des macromolécules qui permettent d’éviter la fuite capillaire du soluté. Pour faire simple, les colloïdes restent dans les vaisseaux, leurs principaux risques sont l’allergie et le risque de troubles de l’hémostase, ils coûtent également beaucoup plus cher. Ils sont représentés par Plasmion, Voluven, et l’albumine.
La norédraline sera débutée en 2e intention en cas d’échec du remplissage avec persistance d’une hypotension. Elle s’administre par voie centrale (cathéter veineux jugulaire, sous-clavier, fémoral), mais la voie périphérique est possible en urgence en attente de la pose de la voie centrale (recommandation de la Société française d’anesthésie et de réanimation [SFAR] 2015).
L’objectif de la pression artérielle systolique (PAS) en l’absence de traumatisme crânien est 80-90 mmHg jusqu’à réalisation de l’hémostase.
Chez ce patient il n’y a pas encore d’indication d’une intubation. Les principaux critères d’intubation en urgence sont : détresse respiratoire aiguë avec signes d’épuisement majeur, coma avec score de Glasgow < 8 entraînant un risque majeur d’inhalation du contenu gastrique, arrêt cardiorespiratoire.
Par contre, si on avait dû l’intuber, on l’aurait fait en séquence rapide car il est considéré comme ayant l’estomac plein et il y a un gros risque d’inhalation du contenu gastrique. Dans ce cas la ventilation au masque préalable à l’intubation est contre-indiquée car elle augmente ce risque d’inhalation en remplissant l’estomac d’air.
Le dextro du patient montre une glycémie normale (attention à la conversion g/L → mmol/L, il faut multiplier ou diviser par 5,5).
Référence : Collège des enseignants de médecine intensive-réanimation, 6e édition.