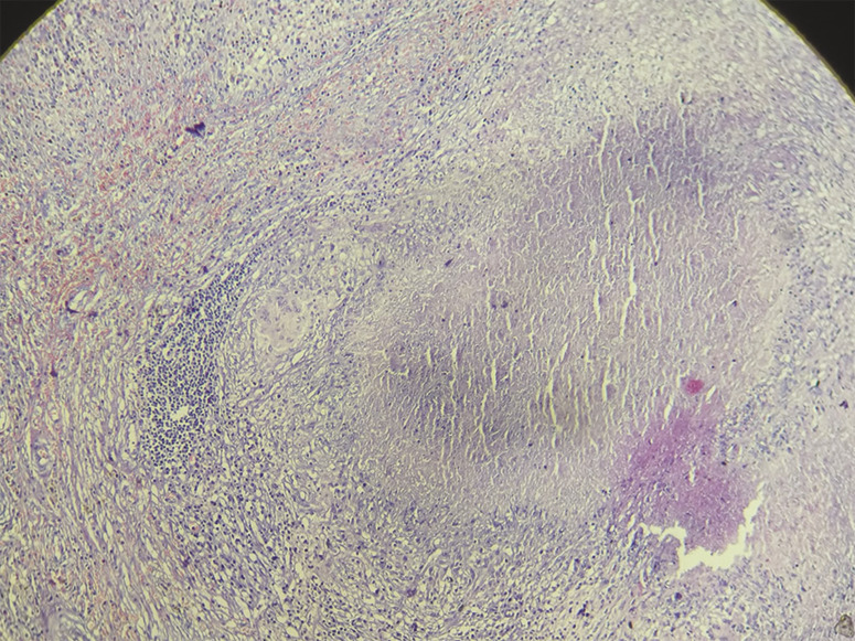
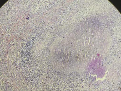
Cette jeune fille de 17 ans, sans antécédents particuliers, décrivait depuis trois mois une fièvre, des sueurs nocturnes, des céphalées, une asthénie, et un amaigrissement de 10 kg en deux mois. À l’examen, on notait une fièvre à 38 °C et une tachycardie à 110 batt/min. La biologie montrait un syndrome inflammatoire, avec une protéine C-réactive à 114 mg/L. Les bilans infectieux et immunologique étaient normaux. Une tomographie par émission de positons (TEP) au 18F-FDG objectivait une splénomégalie intensément hypermétabolique, pathologique, de fixation hétérogène (fig. 1 ). L’étude histologique (fig. 2 ) de la pièce de splénectomie (fig. 3 ) avait posé le diagnostic de tuberculose splénique. Sous traitement antituberculeux, une amélioration clinique et biologique avait été obtenue.
La tuberculose splénique primitive se développe généralement chez le sujet immunodéprimé, en particulier en cas de co-infection par le virus de l’immunodéficience humaine (VIH). Elle est très rare chez l’individu immunocompétent.1 Le diagnostic, suspecté radiologiquement, est confirmé par l’histologie d’une ponction à l’aiguille fine, d’une biopsie splénique ou d’une pièce de splénectomie. La prise en charge repose sur un traitement antituberculeux. L’intervention chirurgicale est peu documentée dans la littérature mondiale, limitée aux biopsies laparoscopiques à l’emporte-pièce à des fins diagnostiques.2 La splénectomie peut être appropriée en cas de rupture splénique spontanée ou d’échec du traitement antituberculeux.1
Références
1. Kumar S, Pai AG, Tungenwar PN, Bhandarwar AH. Isolated primary tuberculosis of spleen, A rare entity in the immuno-competent patient. Int J Surg Case Rep 2017;30:93-6.
2. Zhan F, Wang CJ, Lin JZ, Zhong PJ, Qiu WZ, Lin HH, et al. Isolated splenic tuberculosis: a case report. World J Gastrointest Pathophysiol 2010;13:109-11.
2. Zhan F, Wang CJ, Lin JZ, Zhong PJ, Qiu WZ, Lin HH, et al. Isolated splenic tuberculosis: a case report. World J Gastrointest Pathophysiol 2010;13:109-11.
Une question, un commentaire ?
Sur le même thème
Exercice
Exercice
Exercice
Exercice
Exercice