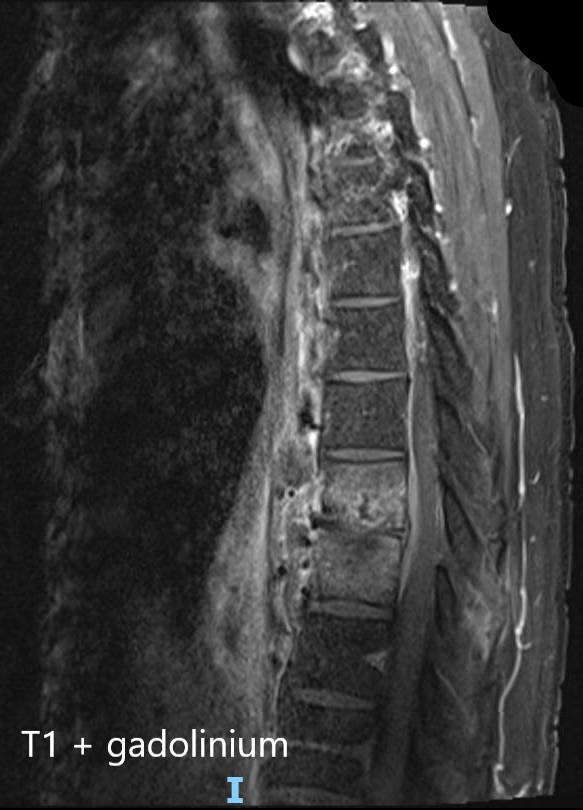
Vous voyez en consultation M. M., 52 ans, pour des douleurs dorsales évoluant depuis quelques semaines. Il est d’origine mauritanienne, travaille dans le bâtiment, et n’a pas d’antécédent particulier, ni de consommation de tabac ou d’alcool. Il ne prend aucun traitement.
Il vient vous voir car il ne peut plus travailler du fait des douleurs qui sont devenues permanentes, y compris la nuit, sans irradiation. Il n’a pas pris sa température mais signale des sueurs nocturnes depuis dix jours. Il a également constaté une faiblesse des membres inférieurs lorsqu’il marche longtemps, l’obligeant à s’arrêter, sans douleur. Il n’a pas de trouble sphinctérien à l’interrogatoire.
Il vient vous voir car il ne peut plus travailler du fait des douleurs qui sont devenues permanentes, y compris la nuit, sans irradiation. Il n’a pas pris sa température mais signale des sueurs nocturnes depuis dix jours. Il a également constaté une faiblesse des membres inférieurs lorsqu’il marche longtemps, l’obligeant à s’arrêter, sans douleur. Il n’a pas de trouble sphinctérien à l’interrogatoire.
Question 1 - Parmi les syndromes suivants, vous évoquez le(s) suivant(s) à l’interrogatoire du patient :
Oui, incomplet.
Oui, démasqué par l’effort.
Oui (dorsalgies).
Oui (atteinte pyramidale probable).











Il faut donc évoquer une pathologie rachidienne inflammatoire/infectieuse/tumorale avec syndrome de compression médullaire partiel se traduisant uniquement par une claudication médullaire : celle-ci correspond à un syndrome pyramidal, démasqué par l’effort.