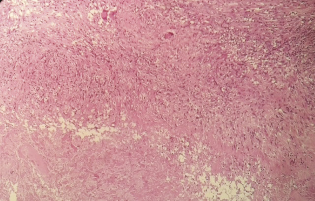
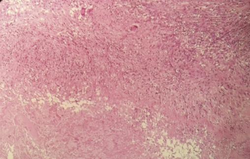
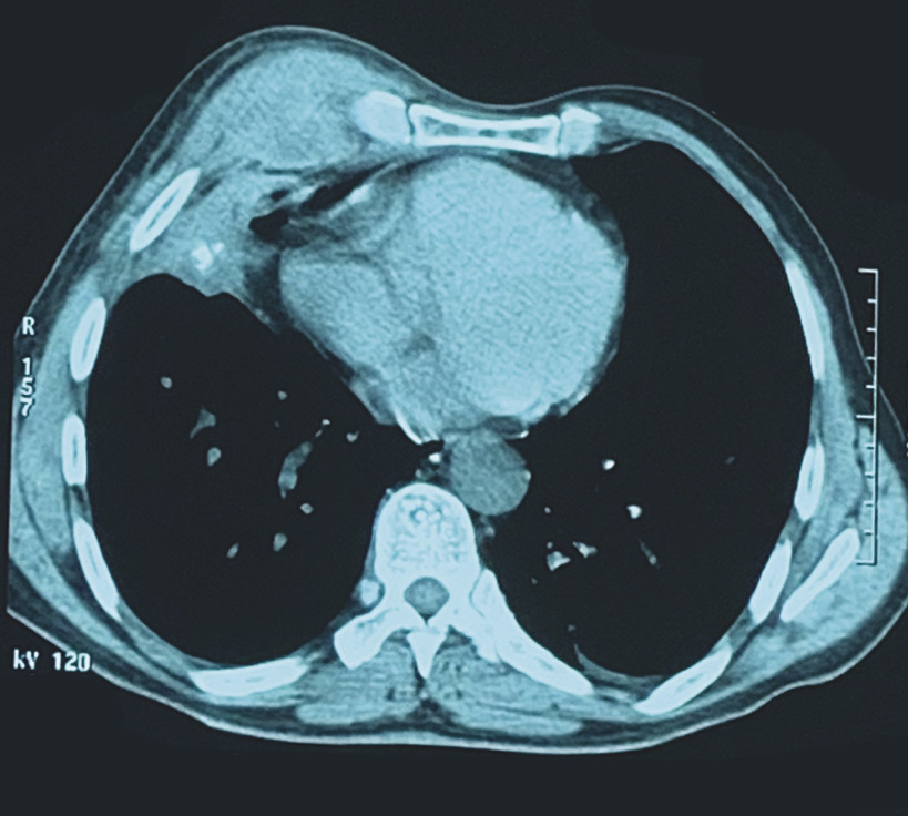
Ce patient de 48 ans, tabagique chronique (25 paquets-années), avait depuis 1 mois une tuméfaction parasternale droite fluctuante en son centre, avec une peau inflammatoire en regard. L’échographie des parties molles montrait une collection hétérogène et hypoéchogène au niveau de la paroi thoracique antérieure droite. La tomodensitométrie thoracique montrait un processus lésionnel pariétal parasternal droit mesurant 68 x 35 x 28 mm en continuité avec un foyer pulmonaire droit (fig. 1 ). Le bilan biologique montrait un syndrome inflammatoire, avec une protéine C-réactive à 56 mg/L, des lymphocytes à 12 500 éléments/mm3 ; la recherche de bacilles de Koch dans les expectorations et dans le liquide de ponction de la collection pariétale était négative à l’examen direct. La biopsie mettait en évidence des granulomes épitélioïdo-giganto-cellulaires avec nécrose caséeuse (fig. 2 ). La sérologie du VIH était négative, et le patient mis sous traitement antituberculeux pendant 6 mois, avec une bonne évolution clinique et radiologique.
La tuberculose de la paroi thoracique est une localisation inhabituelle de la tuberculose, décrite souvent chez les patients immunodéprimés.1 Elle est caractérisée par l’absence de signes cliniques spécifiques et pose un problème de diagnostic avec les infections à germes pyogènes, l’actinomycose ou avec les tumeurs pariétales bénignes ou malignes. Son traitement est fondé sur une chimiothérapie antibacillaire précédée par une incision-drainage qui permet l’évacuation de la collection et de confirmer histologiquement et bactériologiquement le diagnostic de tuberculose.2
Références
1. Zidane A, Bakzaza O, Afandi O, Baiz Y, Chafik A. Tuberculose de la paroi thoracique : à propos de 3 cas. Rev Pneumol Clin 2015;71:290-3.
2. Faure E, Souilamas R, Riquet M, Chehab A, et al. Cold abscess of the chest wall entity? Ann Thorac Surg 1998;66:1174-8.
2. Faure E, Souilamas R, Riquet M, Chehab A, et al. Cold abscess of the chest wall entity? Ann Thorac Surg 1998;66:1174-8.
Une question, un commentaire ?
Sur le même thème
Exercice
Exercice
Exercice
Exercice
Article
Article