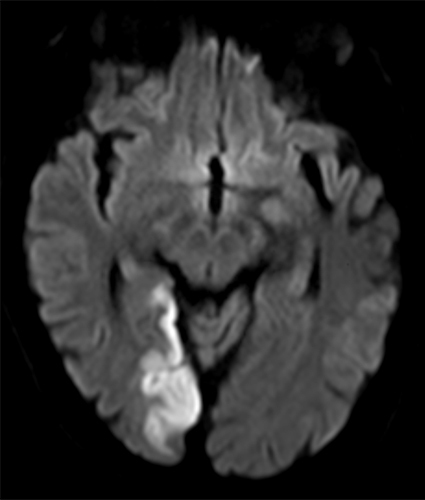
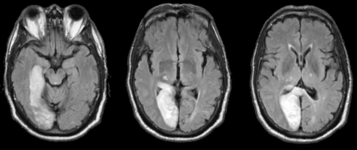
Le 12 août 2019 à 8 h 10, une patiente de 40 ans, Mme J, droitière, est admise aux urgences de l’hôpital où vous exercez suite à l’apparition brutale d’une amputation des deux hémichamps visuels à gauche, depuis la veille au soir à 23 h 45, avec une céphalée concomitante. À son arrivée, l’interrogatoire est difficile car elle semble désorientée dans le temps et l’espace. C’est sa sœur, qui est passée la voir ce jour, qui s’est rendu compte que la patiente n’était pas dans son état habituel.
Dans ses antécédents, vous retenez :
– un fond migraineux depuis des années non suivi, non traité ;
– 2 fausses couches à 7 et 8 semaines d’aménorrhée il y a 10 et 12 ans ;
– un trouble de l’humeur suivi en psychiatrie.
– elle fume 10 cigarettes par jour depuis l’âge de 25 ans.
Dans les antécédents familiaux : un vitiligo chez sa sœur.
Elle ne prend pas de traitement actuellement.
De plus, sa sœur vous rapporte des troubles de la marche qui semblent évoluer depuis le début du mois de février 2019.
À l’examen clinique : la patiente est désorientée. Elle a une amputation dans les hémichamps visuels gauches des deux yeux. Le testing moteur vous semble légèrement plus faible aux deux membres inférieurs, vous ne parvenez pas à évaluer la sensibilité. Ses réflexes ostéo-tendineux sont vifs aux membres inférieurs, vous retrouvez une extension lente des deux hallux lorsque vous effleurez la plante des pieds avec votre marteau. Lorsque vous regardez les chaussures de la patiente, il vous semble que l’avant de ses chaussures est très abîmé par rapport à l’arrière.
Dans ses antécédents, vous retenez :
– un fond migraineux depuis des années non suivi, non traité ;
– 2 fausses couches à 7 et 8 semaines d’aménorrhée il y a 10 et 12 ans ;
– un trouble de l’humeur suivi en psychiatrie.
– elle fume 10 cigarettes par jour depuis l’âge de 25 ans.
Dans les antécédents familiaux : un vitiligo chez sa sœur.
Elle ne prend pas de traitement actuellement.
De plus, sa sœur vous rapporte des troubles de la marche qui semblent évoluer depuis le début du mois de février 2019.
À l’examen clinique : la patiente est désorientée. Elle a une amputation dans les hémichamps visuels gauches des deux yeux. Le testing moteur vous semble légèrement plus faible aux deux membres inférieurs, vous ne parvenez pas à évaluer la sensibilité. Ses réflexes ostéo-tendineux sont vifs aux membres inférieurs, vous retrouvez une extension lente des deux hallux lorsque vous effleurez la plante des pieds avec votre marteau. Lorsque vous regardez les chaussures de la patiente, il vous semble que l’avant de ses chaussures est très abîmé par rapport à l’arrière.
Question 1 - Parmi les affirmations suivantes concernant la prise en charge immédiate de la patiente, la(les)quelle(s) est(sont) vraie(s) ?
En l’absence de contre-indication, la recommandation actuelle pour envisager une thrombolyse intraveineuse est d’être dans les 4 h 30 du début du déficit (étude ECASSII). Ici les symptômes évoluent depuis près de 9 heures.
La recommandation pour la thrombectomie (thrombolyse intra-artérielle) a changé en 2018 : pour une occlusion proximale carotidienne ou sylvienne portion M1, possibilité d’envisager une thrombectomie dans les 24 heures du début des symptômes si tableau clinique sévère (NIHSS > 10) et petit volume lésionnel (étude DAWN). Donc, en pratique, on réalise une imagerie des troncs artériels supra-aortiques [TSAO] rapidement [même un scanner] pour savoir s’il existe une occlusion proximale à déboucher). Par contre, ceci n’est pas valable pour une occlusion vertébro-basilaire.
Jamais avant la réalisation d’une imagerie cérébrale, même si la sémiologie peut sembler systématisée (et, au passage, ici ce n’est pas le cas), vous prenez le risque d’anti-agréger une lésion hémorragique sans imagerie initiale.
Non plus, on attendra de réaliser une imagerie cérébrale à visée étiologique. Dans le cadre d’un accident vasculaire cérébral (AVC) l’état de vigilance/orientation compte dans le scoring clinique (score NIHSS), avec une administration d’un anticonvulsivant vous pouvez fausser votre surveillance clinique par la suite (et passer la nuit à scanner votre patient pour être sûr qu’il ne s’aggrave pas…).
Petit rappel de deux réflexes : heure de début et glycémie capillaire devant un déficit neurologique aigu++.












