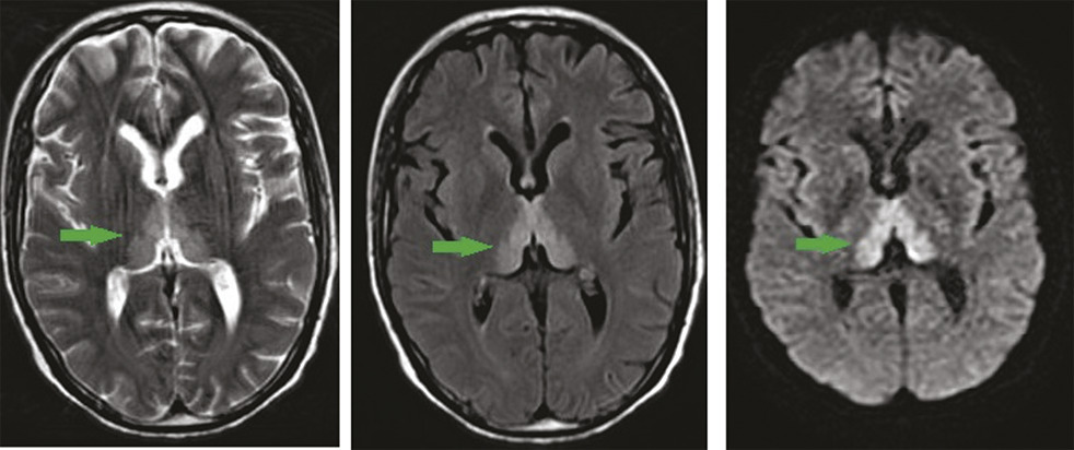
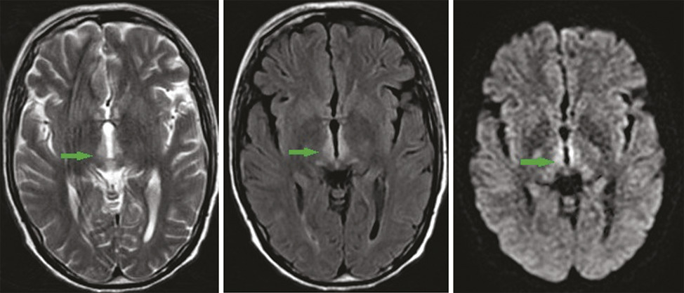
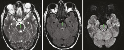
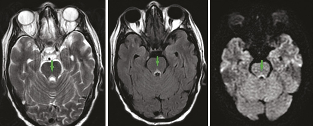
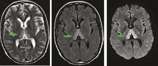
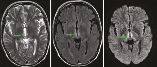
Ce patient de 49 ans, ayant bénéficié d’une duodénopancréatectomie céphalique pour un ampullome vatérien, était admis pour des vomissements incoercibles apparus en postopératoire immédiat, rebelles au traitement, et mis sous nutrition parentérale. Une semaine plus tard apparaissait un syndrome confusionnel avec apathie et hypersomnie. L’imagerie par résonance magnétique (IRM) montrait des hypersignaux T2, Flair et diffusion, bilatéraux et symétriques du thalamus postéromédian, périventriculaires du troisième ventricule et périaqueducaux en hypersignal (fig. 1, 2 et 3 ). Devant cet aspect en imagerie, associé aux vomissements prolongés, à l’alimentation parentérale et aux troubles neuropsychiques, une encéphalopathie de Gayet-Wernicke était évoquée, et le patient mis sous thiamine, avec une bonne évolution.
L’encéphalopathie de Gayet-Wernicke est une urgence médicale due à une carence aiguë et massive en vitamine B1.1 En dehors de l’alcoolisme, ses facteurs de risque sont : chirurgie gastro-intestinale, vomissements chroniques, nutrition parentérale prolongée, jeûne prolongé, malnutrition, anorexie mentale, chimiothérapie, sida.2 Elle se manifeste par une triade associant à divers degrés des troubles neuropsychiques (confusion, apathie, bradypsychie, hypersomnie), des troubles oculomoteurs et des troubles de l’équilibre. L’IRM cérébrale objective classiquement des hypersignaux symétriques dans les séquences pondérées T2, Flair et parfois une diffusion, de part et d’autre du troisième ventricule, des noyaux thalamiques postéromédiaux, des corps mamillaires, et de la région périaqueducale.1 Son traitement est fondé sur l’administration de thiamine.
Références
1. Lenz V, Vargas MI, Bin JF, et al. Value of MRI findings in Gayet-Wernicke encephalopathy. J Neuroradiol 2002;29:153-60.
2. Bouchal S, Bougtoub N, Alami B, et al. Gayet-Wernicke encephalopathy: clinical features and radiological anomalies. Pan Afr Med J 2020;36:259.
2. Bouchal S, Bougtoub N, Alami B, et al. Gayet-Wernicke encephalopathy: clinical features and radiological anomalies. Pan Afr Med J 2020;36:259.
Une question, un commentaire ?