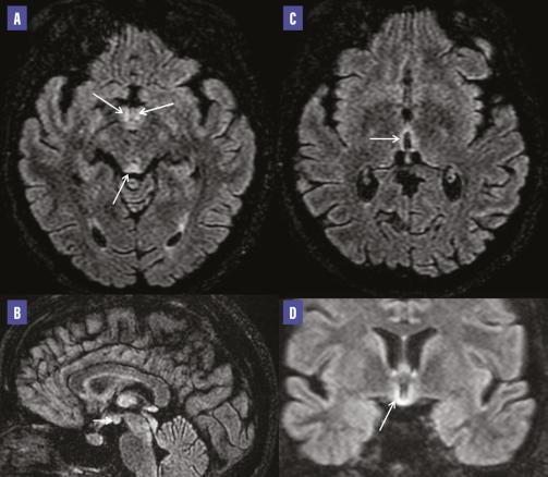
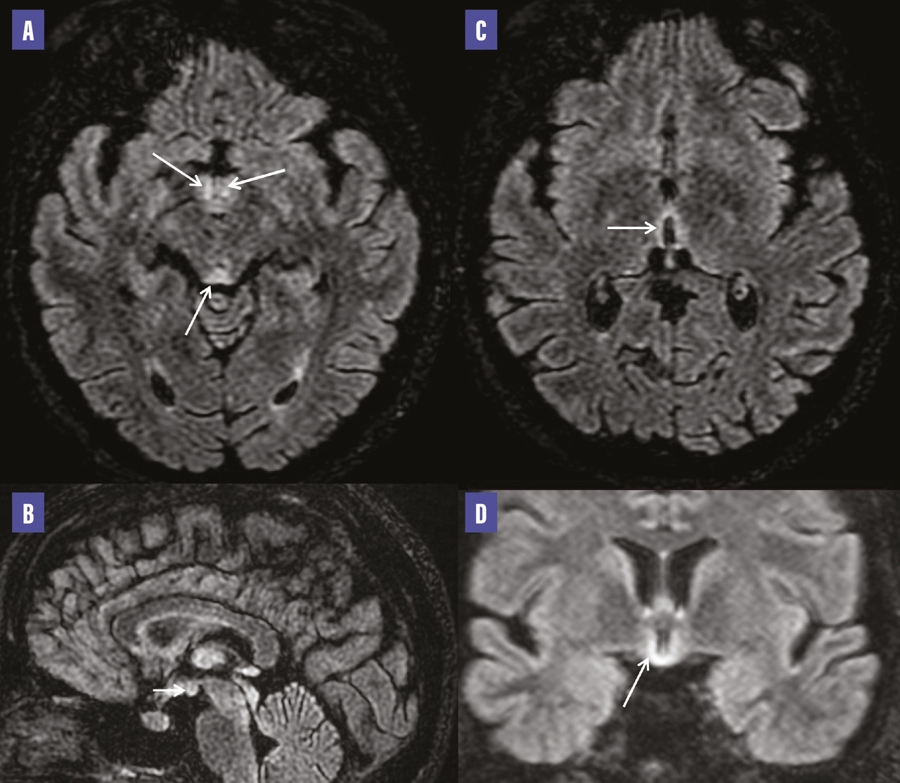
Une patiente âgée de 23 ans, sans antécédents pathologiques notables, enceinte à cinq semaines d’aménorrhée, se plaint de vomissements gravidiques incoercibles sans prise en charge adéquate. Elle est adressée au service des urgences pour une symptomatologie neurologique caractérisée par un syndrome confusionnel. L’examen révèle une amnésie, un syndrome cérébelleux statique et un nystagmus. Le bilan biologique montre une alcalose métabolique avec hypokaliémie, alors que la ponction lombaire est normale. Un scanner cérébral est réalisé en urgence et ne montre aucune anomalie. Le lendemain de son admission, la patiente bénéficie d’une imagerie par résonance magnétique (IRM) cérébrale, qui met en évidence un hypersignal sur les séquences pondérées en FLAIR/T2, symétrique et bilatéral au niveau périaqueducal, des corps mamillaires, et autour du troisième ventricule sans restriction en diffusion et sans rehaussement pathologique après injection de gadolinium (figure ). Ces éléments sont très évocateurs, dans ce contexte clinique, d’une encéphalopathie de Gayet-Wernicke. L’administration parentérale de 1 g de vitamine B1 par jour, conjointement avec de la vitamine B6, est initiée, puis remplacée par une administration orale de vitamine B1 à raison de 500 mg deux fois par jour jusqu’à la fin de la grossesse. Deux mois plus tard, une amélioration significative du syndrome cérébelleux et des troubles mnésiques est observée.
L’encéphalopathie de Gayet-Wernicke, également connue sous le nom de syndrome de Wernicke-Korsakoff, est une pathologie métabolique qui résulte d’une carence en thiamine (vitamine B1). Elle est sous-diagnostiquée, en raison de présentations cliniques déroutantes et fréquemment atypiques chez des personnes non identifiées comme étant à risque. Un patient sur cinq ne présente aucun des signes classiques de la triade caractéristique de l’encéphalopathie de Gayet-Wernicke (troubles neuropsychiques, oculomoteurs et de l’équilibre) et celle-ci n’est présente que chez environ 30 % des patients. Dans les autres cas, la carence peut se manifester par des symptômes tels qu’une hypothermie, une hypotension, une tachycardie, des hallucinations, des céphalées, de la fatigue.1 De plus, ces signes peuvent parfois être difficiles à distinguer des symptômes de l’intoxication éthylique aiguë ou chronique, qui constitue le principal facteur de risque de cette pathologie.1 Une carence en vitamine B1 peut également se développer dans d’autres contextes tels que la malnutrition, l’anorexie mentale, la nutrition parentérale prolongée sans supplémentation en thiamine, ainsi que les tumeurs gastro-intestinales et la chimiothérapie.
Dans le cas de cette patiente, l’hypovitaminose B1 a été déclenchée par des vomissements incontrôlables liés à un état d’hyperemesis gravidarum. Celui-ci affecte 0,5 à 2 % des grossesses et se caractérise par des vomissements sévères au cours du premier trimestre, entraînant une perte de poids, une déshydratation extracellulaire et une alcalose métabolique associée à une hypokaliémie.
Les anomalies associées à l’encéphalopathie de Gayet-Wernicke sont généralement bilatérales et symétriques, localisées en périaqueducales, au niveau de la paroi du troisième ventricule, en regard des corps mamillaires et des thalami médians. Des manifestations moins courantes peuvent également se produire dans des zones telles que le vermis cérébelleux supérieur, les noyaux des nerfs crâniens, le noyau rouge, le noyau dentelé, le splénium, ou même corticales. Sur le plan radiologique, le scanner est souvent normal ou peut montrer des zones d’hypodensité. En revanche, l’IRM révèle des lésions en hyposignal en pondération T1, en hypersignal en pondération T2 et FLAIR. De plus, un rehaussement pathologique est observé après l’injection de contraste en pondération T1. Quoique pathognomonique de cette pathologie, le rehaussement intense des corps mamillaires est rarement observé. Les anomalies peuvent présenter un signal hyperintense en diffusion, bien que le coefficient apparent de diffusion puisse varier.2
Les principaux diagnostics différentiels à considérer incluent la maladie de Creutzfeldt-Jakob et le delirium tremens.
En l’absence ou en cas de retard de traitement -qui repose sur l’administration de vitamines par voie intraveineuse- le risque prédominant est le développement du syndrome de Korsakoff en raison des lésions du circuit hippocampo-mamillo-thalamique. La réponse au traitement est progressive.1,2
Dans le cas de cette patiente, l’hypovitaminose B1 a été déclenchée par des vomissements incontrôlables liés à un état d’hyperemesis gravidarum. Celui-ci affecte 0,5 à 2 % des grossesses et se caractérise par des vomissements sévères au cours du premier trimestre, entraînant une perte de poids, une déshydratation extracellulaire et une alcalose métabolique associée à une hypokaliémie.
Les anomalies associées à l’encéphalopathie de Gayet-Wernicke sont généralement bilatérales et symétriques, localisées en périaqueducales, au niveau de la paroi du troisième ventricule, en regard des corps mamillaires et des thalami médians. Des manifestations moins courantes peuvent également se produire dans des zones telles que le vermis cérébelleux supérieur, les noyaux des nerfs crâniens, le noyau rouge, le noyau dentelé, le splénium, ou même corticales. Sur le plan radiologique, le scanner est souvent normal ou peut montrer des zones d’hypodensité. En revanche, l’IRM révèle des lésions en hyposignal en pondération T1, en hypersignal en pondération T2 et FLAIR. De plus, un rehaussement pathologique est observé après l’injection de contraste en pondération T1. Quoique pathognomonique de cette pathologie, le rehaussement intense des corps mamillaires est rarement observé. Les anomalies peuvent présenter un signal hyperintense en diffusion, bien que le coefficient apparent de diffusion puisse varier.2
Les principaux diagnostics différentiels à considérer incluent la maladie de Creutzfeldt-Jakob et le delirium tremens.
En l’absence ou en cas de retard de traitement -qui repose sur l’administration de vitamines par voie intraveineuse- le risque prédominant est le développement du syndrome de Korsakoff en raison des lésions du circuit hippocampo-mamillo-thalamique. La réponse au traitement est progressive.1,2
Références
1. Nasri S, Aichouni N, Ettayeb M, Mebrouk Y, Kamaoui I. Encéphalopathie de Wernicke : complication rare de l’hyperemesis gravidarum. Pan Afr Med J 2020;36(267).
2. Esquevin A, Carsin-Nicol B, Soto Ares G, Gauvrit JY. Imagerie des comas et des troubles de la conscience de l’adulte. Paris: Elsevier Masson 2014.
2. Esquevin A, Carsin-Nicol B, Soto Ares G, Gauvrit JY. Imagerie des comas et des troubles de la conscience de l’adulte. Paris: Elsevier Masson 2014.
Une question, un commentaire ?
Sur le même thème
Exercice
Exercice