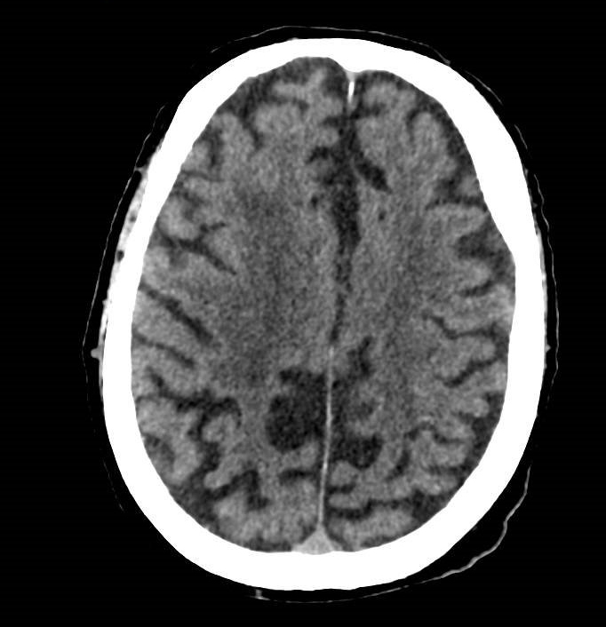
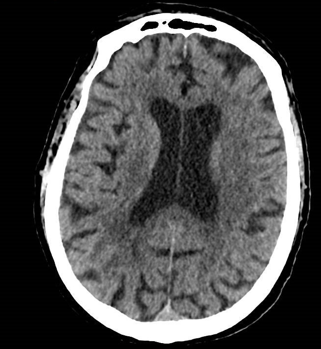
Vous voyez aux urgences Mme H., 70 ans, pour céphalées. Elle est suivie pour une hypertension artérielle traitée par amlodipine, et a eu une fracture du col fémoral à la suite d’une chute de sa hauteur il y a cinq ans. Elle est adressée par son médecin traitant, car elle se plaint de céphalées frontales depuis environ un mois, à prédominance matinale et progressivement croissantes. Elle se sent également inhabituellement fatiguée.
Question 1 - Les diagnostics suivants sont compatibles avec le tableau clinique présenté :
Les céphalées sont généralement brutales et intenses.
Les céphalées sont rarement chroniques sur un mois mais plutôt par crises avec caractéristiques migraineuses.
Il s’agit de céphalées matinales d’évolution progressive depuis un mois devant faire évoquer une hypertension intracrânienne et toutes ses causes (y compris une thrombose veineuse cérébrale), une méningite chronique, une hypertension artérielle incontrôlée, ou une artérite a cellules géantes.




