Un homme de 85 ans se plaint de douleurs des deux épaules et d’une asthénie depuis 6 mois. Il n’a pas de céphalées. La CRP est à 37 mg/L.
Quel est votre diagnostic ?
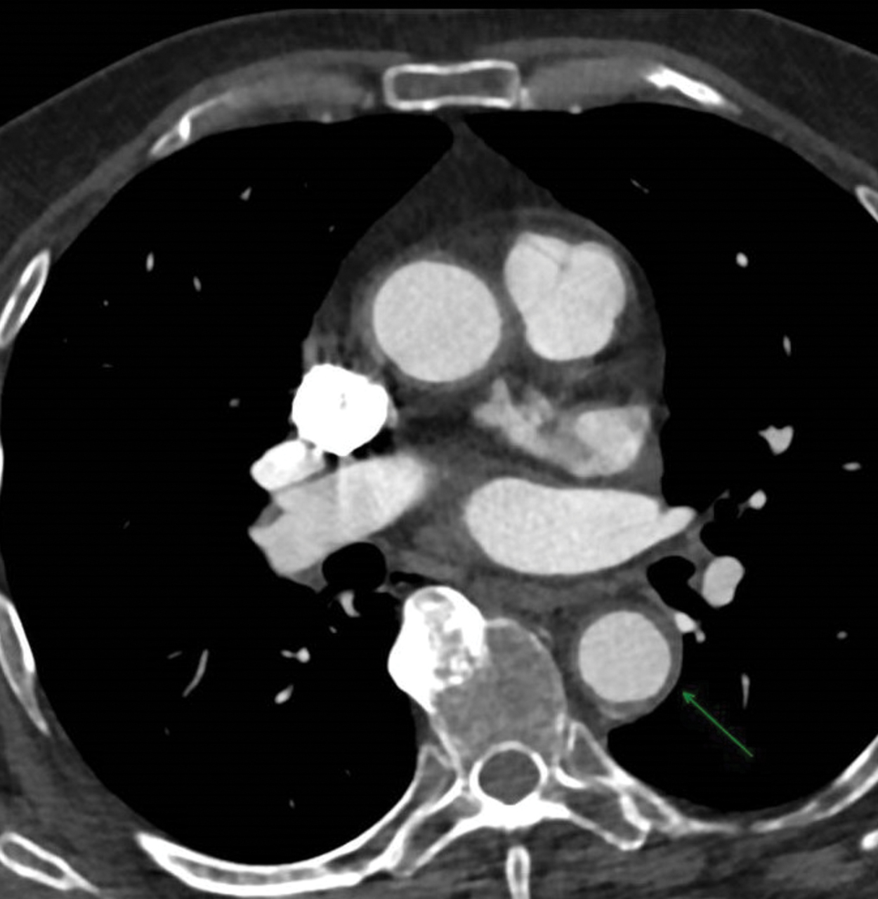
L’artérite à cellules géantes (maladie de Horton) est associée à la pseudopolyarthrite rhizomélique (PPR) dans 40 % des cas. Les douleurs des ceintures peuvent révéler la maladie. Les céphalées sont inconstantes dans les formes avec aortite. Le scanner permet d’objectiver l’aortite qui se traduit par un épaississement homogène de la paroi de l’aorte.

Exercez-vous aux ECN avec les dossiers progressifs et les LCA de La Revue du Praticien