Madame J., patiente de 36 ans, se présente à 21 h 00 aux urgences pour une douleur médio-thoracique d’apparition subaiguë évoluant depuis deux heures. Elle n’a pas d’antécédent notable hormis un tabagisme actif à 20 paquets/année (PA). L’échelle visuelle analogique (EVA) est à 6, la température à 37,8 °C. La patiente est en train d’être installée dans le box des urgences. Elle exerce la profession de professeur d’éducation physique et sportive (EPS) en collège.
Recherche d’une hypertension/anisotension en faveur d’une dissection
Recherche de signe de thrombose veineuse profonde (TVP) argumentant pour une embolie pulmonaire
Recherche de signe d’ischémie aiguë ou de cœur droit
Première épisode de douleur thoracique chez une femme jeune, avec pour seul facteur de risque un tabagisme actif à 20 PA.
L’examen clinique va nous orienter parmi les principales étiologies de douleur thoracique qui sont, pour rappel :
– les causes cardiaques : syndrome coronarien aigu (SCA) avec sus-décalage du segment ST (SCA ST- ou ST+), dissection aortique, péricardite ;
– les causes pulmonaires : embolie pulmonaire, pleurésie, pneumopathie, pneumothorax.
La caractérisation des éléments cliniques suivante permettra d’orienter le diagnostic :
– la prise des constantes : température, fréquence cardiaque ;
– l’auscultation cardiopulmonaire ;
– l’électrocardiogramme ;
– la prise de pression artérielle et la recherche d’une anisotension ;
– la recherche de signe de thrombose veineuse profonde ;
– LA CARACTÉRISATION DE LA DOULEUR THORACIQUE (v. question suivante) et LE TERRAIN (âge, facteurs de risque cardiovasculaires).
L’auscultation pulmonaire est claire avec un murmure vésiculaire bien perçu bilatéral et symétrique. Vous ne notez pas de souffle cardiaque et les bruits du cœur sont réguliers. La pression artérielle est à 130/79 au bras gauche et 128/77 au bras droit. La fréquence cardiaque est à 60/min. La saturation est à 99 % en air ambiant avec une patiente eupnéique. La température est à 37,9 °C. Les mollets sont symétriques et indolores. Vous ne notez pas d’œdème des membres inférieurs. Vous réinterrogez la patiente qui rapporte une douleur médio-thoracique, constrictive, apparue il y a deux heures, fluctuante mais avec un fond persistant. La douleur ne semble pas en lien avec l’effort. Il n’y a pas d’irradiation notable. L’électrocardiogramme est en cours de réalisation.
Question 2 - Quelles sont vos deux principales hypothèses diagnostiques à ce stade ?
Douleur thoracique de novo chez une patiente jeune
Jusqu’à preuve du contraire : douleur thoracique chez une patiente tabagique active
Pas de tachycardie, pas de dyspnée, pas de signe de thrombophlébite, pas de facteur favorisant, donc peu d’arguments pour une embolie pulmonaire
L’auscultation pulmonaire est symétrique, claire, avec un murmure vésiculaire bien perçu bilatéralement : a priori, pas d’argument pour une pleurésie, un pneumothorax ou une pneumopathie.
Concernant l’embolie pulmonaire, il n’y a pas de tachycardie, pas de dyspnée, pas de signe de thrombophlébite. La patiente est jeune et n’a pas de facteur de risque de maladie thromboembolique connu, donc peu d’arguments pour une embolie pulmonaire.
Le SCA doit être éliminé devant une douleur thoracique chez une patient tabagique active.
La péricardite doit être évoquée dans un contexte de douleur thoracique de novo chez une patiente jeune.
Peu d’arguments pour la dissection aortique : pas d’anisotension, patiente non hypertendue, pas d’irradiation dorsale de la douleur.
Question 3 - Vous cherchez à préciser la douleur thoracique de votre patiente afin d’orienter votre diagnostic :
IL EST PRIMORDIAL DE CARACTÉRISER AU MIEUX LA DOULEUR THORACIQUE PAR L’INTERROGATOIRE.
Les caractéristiques d’une douleur péricardique sont :
– une douleur thoracique rétro-sternale prolongée ;
– une majoration à l’inspiration forcée et au décubitus ;
– une diminution à l’antéflexion et sous anti-inflammatoires non stéroïdiens (AINS)/aspirine ;
– une résistance à la trinitrine.
Les autres éléments en faveur du diagnostic de péricardite sont :
– une infection oto-rhino-laryngée (ORL) ou digestive dans les semaines qui précèdent ;
– la présence d’une fébricule.
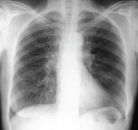
Voici l’électrocardiogramme. et la radiographie pulmonaire.
Question 4 - Interprétez l’électrocardiogramme.
Aspect évocateur de péricardite aiguë :
– sus-décalage du segment ST concave, diffus ;
– pas de miroir ;
– discret sous-décalage du segment PR dans les dérivations inférieures.
La légère variation de la fréquence cardiaque est une variation respiratoire. Il n’y a pas d’onde P bloquée, l’espace PR est normal. On ne retient donc pas de trouble conductif.
Question 5 - Quel est le diagnostic le plus probable au vu de la clinique et de vos examens ?
Le diagnostic le plus probable est la péricardite :
– terrain compatible ;
– douleur thoracique évocatrice ;
– électrocardiogramme typique (sus-décalage du segment ST concave diffus sans miroir ; discret sous-décalage du segment PR dans les dérivations inférieures) ;
– patiente subfébrile.
Question 6 - Quels examens vous semblent pertinents à ce stade ?
Selon les recommandations de l’European Society of Cardiology (ESC) 2015, le diagnostic de péricardite est porté en présence de deux éléments parmi les quatre suivants :
– douleur thoracique d’allure péricardique ;
– électrocardiogramme retrouvant un sus-décalage du segment ST concave, diffus et/ou un sous-décalage de PR ;
– frottement péricardique à l’auscultation cardiaque ;
– épanchement péricardique sur l’échographie cardiaque ;
Les autres éléments cliniques et biologiques en faveur d’une péricardite sont :
– histoire infectieuse récente (ORL, digestive) ;
– fébricule ;
– présence d’un syndrome inflammatoire biologique.
On réalise donc :
– une échographie cardiaque qui a pour objectif :
o d’argumenter le diagnostic positif en recherchant un épanchement péricardique. À noter que l’épanchement n’est pas obligatoire pour poser le diagnostic de péricardite, on parle dans ce cas de péricardite sèche,
o d’évaluer l’abondance de l’épanchement péricardique et de rechercher des signes de retentissement hémodynamique (tamponnade),
o de permettre de faire le suivi de l’épanchement,
– la recherche d’un syndrome inflammatoire biologique : NFS, CRP ;
– la troponinémie qui recherche une cytolyse myocardique associée :
o on parle dans ce cas de myopéricardite si la cytolyse est faible. Une hospitalisation initiale est alors nécessaire, notamment pour faire le diagnostic différentiel avec un SCA (imagerie par résonance magnétique). Le traitement est le même que celui de la péricardite excepté la période sans sport qui doit être de six mois dans ce cas,
o si la cytolyse myocardique est importante, la prise en charge et les complications seront celles d’une myocardite aiguë. On parle dans ce cas de péri-myocardite. Hospitalisation en soins intensifs cardiologiques. Pour rappel, les deux principales complications de la myocardite aiguë sont le trouble rythmique et l’insuffisance cardiaque aiguë (myocardite fulminante).
Vous avez évoqué à juste titre une péricardite aiguë.
L’échographie cardiaque retrouve un épanchement péricardique de faible abondance en regard du ventricule droit, mesuré à 3 mm.
Le bilan demandé retrouve :
– fonction rénale normale ;
– troponinémie négative ;
– leucocytose à 11 G/L sur une polynucléose neutrophile ;
– CRP à 25 mg/L ;
– dosage de l’hormone chorionique gonadotrope humaine (ß-HCG) négatif.
Vous réalisez un examen clinique complet à visée étiologique. La patiente ne rapporte pas d’autres symptômes récents et notamment pas d’arthralgie ou d’éruptions cutanées inhabituelles. Elle se sent peut-être plus fatiguée ces derniers temps. Les examens rhumatologique et dermatologique sont sans anomalie. Vous reprenez la température qui est à 37,7 °C.
Question 7 - L’étiologie la plus probable de cette péricardite est :
La présentation est ici typique d’une péricardite aiguë virale. L’étiologie virale est de loin la plus fréquente dans les pays développés (> 90 %). De plus :
– il n’y a aucun argument à ce stade pour une autre étiologie (auto-immune, néoplasique, tuberculose) ;
– il n’y a pas de signe d’alerte. Pour rappel, les signes d’alerte (qui justifient d’une hospitalisation) sont :
o majeurs : température < 38 °C, installation subaiguë sur plusieurs semaines, épanchement péricardique abondant, tamponnade, absence de réponse clinique après une semaine de traitement anti-inflammatoire),
o mineurs : terrain immunodéprimé, augmentation de la troponinémie, patient sous anticoagulant, notion de traumatisme.
Question 8 - Quelle est votre prise en charge ?
Dans ce contexte de péricardite aiguë virale = bénigne, sans signe d’alerte majeur ou mineur et sans argument pour une autre étiologie sous-jacente, le traitement en ambulatoire est recommandé.
Il associe :
– une bithérapie par :
o aspirine : 1 000 mg/8 h la première semaine puis 1 000 mg/12 h la deuxième semaine,
o colchicine : 0,5 mg/j (< 70 kg) ou 0,5 mg deux fois par jour (> 70 kg) pour une durée de trois mois,
– en association avec un protecteur gastrique ;
– du REPOS jusqu’à l’amendement de la douleur thoracique et la normalisation de l’électrocardiogramme et de la CRP. Arrêt de travail initial.
Il n’y a pas d’indication à élargir le bilan étiologique dans le cadre des péricardites aiguës virales sans orientation étiologique clinique.
Madame J. est surprise et un peu inquiète de quitter l’hôpital si rapidement. Elle vous questionne sur les risques qu’elle encourt avec cette péricardite supposée virale. Vous tâchez de l’informer au mieux sur les suites et les signes d’alerte.
Question 9 - Vous tâchez de l’informer au mieux sur les suites et les signes d’alerte.
Tamponnade 1 % dans la péricardite aiguë virale. Excellent pronostic
Dans le cas d’une péricardite aiguë virale simple on attend une bonne réponse au traitement anti-inflammatoire. Le patient doit donc reconsulter rapidement en cas de douleur persistante, asthénie inhabituelle persistante, fièvre persistante ou se majorant.
Le pronostic de la péricardite aiguë virale bénigne est excellent. Les tamponnades sont très rares dans ce cas (< 1 %). La récidive est la principale complication qui survient dans près de 30 % des cas si la colchicine n’est pas associée à l’aspirine.
Malheureusement vous retrouvez Mme J. aux urgences trois semaines plus tard. Après une amélioration initiale de quelques jours, elle vous dit s’être sentie très fatiguée. Elle a souvent froid le soir, et présente parfois des frissons. Elle se plaint d’une toux associée, légèrement productive avec des expectorations plutôt sales, parfois teintées de rouge. Enfin, elle présente une recrudescence de la douleur thoracique depuis trois jours.
Elle a suivi scrupuleusement son traitement par Aspégic et colchicine ainsi que les consignes de repos que vous lui aviez données. Elle n’est pas retournée au travail et a même stoppé son activité de bénévole dans le centre de réfugiés de son quartier.
Vous contrôlez l’échographie cardiaque qui retrouve une majoration de l’épanchement, d’abondance modérée, estimée à 10 mm en regard du ventricule droit et à l’apex, sans signe de retentissement hémodynamique. Il n’y a pas d’anomalie valvulaire et les fonctions ventriculaires droite et gauche sont normales.
Voici les résultats du bilan biologique demandé aux urgences :
– hémoglobine = 100 g/L ; volume globulaire moyen (VGM) = 73 fl ; leucocytes = 14 G/L avec 60 % de polynucléaires neutrophiles ; lymphocytes = 0,2 G/L ; plaquettes = 600 G/L ; CRP = 124 ;
– créatinine = 89 µmol/L, urée = 4 mmol/L ;
– troponine < 35 ng/L.
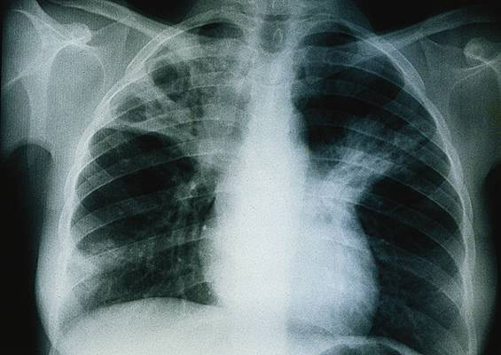
Voici la radiographie pulmonaire réalisée à l’entrée.
Question 10 - Quelle est votre prise en charge ?
Bilan lésionnel pulmonaire
L’IDR n’a pas d’intérêt pour le diagnostic positif de tuberculose maladie
L’évolution n’est finalement pas en faveur d’une péricardite aiguë virale qui répond classiquement aux anti-inflammatoires. La persistance et l’aggravation de la symptomatologie doivent faire réévaluer l’importance de l’épanchement et doivent faire compléter le bilan étiologique.
Dans ce cas précis, nous apprenons que la patiente présente une symptomatologie respiratoire (toux, hémoptysies) s’aggravant depuis qu’elle est sous anti-inflammatoires, un syndrome fébrile persistant, une image radiologique excavée du lobe supérieur droit. Elle travaille au contact de réfugiés qui proviennent potentiellement de pays où la tuberculose est endémique. Il est donc légitime d’éliminer la tuberculose en première intention.
Les examens diagnostiques dans la tuberculose maladie avec localisation pulmonaire et péricardique sont :
– diagnostic de certitude = bactériologique avec isolement du bacille tuberculeux :
o prélèvement :
§ pour la localisation pulmonaire : recherche de BK dans les expectorations si la toux est productive ; sinon tubage gastrique (trois jours de suite),
§ pour la localisation péricardique : organisation d’un drainage à visée diagnostique,
o analyse : histologie, examen direct, culture (milieu de Lowenstein-Jensen ou milieu liquidien), antibiogramme, polymerase chain reaction (PCR)
– bilan d’extension : radiographie pulmonaire, scanner thoracique.
On instaurera des précautions complémentaires type air dans l’attente du diagnostic.
Question 11 - Quelles mesures complémentaires mettez-vous en place ?
Masque FFP2
Précautions complémentaires type air
Chambre à pression négative, à défaut aération
Recherche de signe de tamponnade
Contrairement à la péricardite aiguë virale bénigne, la tamponnade est une complication fréquente de la péricardite tuberculeuse (30 % des cas). L’épanchement est actuellement en augmentation et peut évoluer vers la tamponnade. Le premier signe clinique de retentissement hémodynamique est l’apparition d’une tachycardie (adaptative devant la gêne au remplissage du ventriculaire). Les signes droits et la chute de la pression artérielle sont plus tardifs.
Un drainage chirurgical de l’épanchement péricardique à visée diagnostique est programmé au bloc opératoire pour la fin de la semaine. Deux jours avant le drainage (72 heures après l’admission), la patiente présente un malaise. À votre arrivée dans la chambre, elle est consciente. Elle est essoufflée au moindre effort. La pression artérielle est à 85/56 mmHg, la fréquence cardiaque à 125 bpm, la saturation à 89 % en air ambiant. La température est à 38,2 °C. Les extrémités sont froides, la diurèse des trois dernières heures est de 40 cc.
Question 12 - Quel est le diagnostic à évoquer en priorité ?
La patiente est en état de choc :
– hypotension + tachycardie ;
– signes d’hypoperfusion périphérique : extrémités froides, oligurie (< 0,5 cc/kg/h).
L’étiologie à évoquer en priorité est la tamponnade++++ : patiente hospitalisée et suivie pour un épanchement péricardique en majoration récente. Il faut également évoquer l’embolie pulmonaire grave (patiente hospitalisée depuis trois jours, alitée pour une infection, donc terrain à risque thromboembolique malgré le jeune âge) et l’étiologie septique (patiente fébrile depuis plusieurs jours avec un syndrome inflammatoire biologique).
Question 13 - Quel examen est prioritaire ?
La première suspicion diagnostique est ici la tamponnade. L’échographie cardiaque au lit de la patiente en urgence est la priorité absolue.
Elle permettra d’affirmer la tamponnade :
– pression dans l’oreillette droite (POD) augmentée dont le témoin est une veine cave inférieur dilatée et non compliante ;
– variation respiratoire des flux transmitraux et transaortiques (témoin échographique du pouls paradoxal de Kussmaul avec une diminution du volume d’éjection systolique à l’inspiration) ;
– septum paradoxal.
L’échographie fera le diagnostic différentiel avec :
– l’embolie pulmonaire grave (présence dans ce cas de signe de cœur pulmonaire aigu avec ventricule droit dilaté, hypokinétique, majoration des pressions artérielles pulmonaires systoliques, POD augmentée) ;
– le choc septique (débit cardiaque conservé voire augmenté dans ce cas dû à la baisse des résistances vasculaires systémiques, POD basse en général).
Tous les autres examens risquent de retarder le diagnostic de la tamponnade. Il s’agit d’une URGENCE VITALE. Le patient peut faire un arrêt cardiorespiratoire (ACR) sur dissociation électromécanique à tout moment.
Voici les résultats de votre échographie cardiaque réalisée au lit du patient : épanchement péricardique estimé à 15 mm en regard du ventricule droit, 13 mm en regard du ventricule gauche ; veine cave inférieure dilatée et non compliante ; ventricule droit normokinétique et non dilaté ; ventricule gauche normokinétique ; débit cardiaque modérément abaissé ; variation importante des flux mitraux et aortiques avec la respiration.
Question 14 - Quelle prise en charge vous semble adaptée ?
Prise en charge de la tamponnade :
– urgence vitale ;
– monitorage continu par scope, mise en place d’une voie, idéalement de deux voies d’abord périphérique ;
– position demi-assise (évite un retour veineux brutal excessif et soulage en partie la pression exercée sur le cœur, risque de désamorcer en Tredelenburg) ;
– remplissage prudent séquentiel pour conserver une précharge ventriculaire droite et un passage vers les poumons et le cœur gauche malgré la compression extrinsèque/contre-indication à la diurétisation ;
– drainage en urgence, le plus précoce possible, par voie sous-xiphoïdienne ou chirurgicale (si disponibilité immédiate du bloc et patient transportable).
L’épanchement est drainé en urgence au lit de la patiente par voie sous-xiphoïdienne. La situation hémodynamique s’améliore. En revanche, la patiente reste fébrile, avec une toux productive. Vous récupérez les résultats des examens cytobactériologiques des crachats (ECBC) réalisés ces trois derniers jours : l’examen direct avec coloration de Ziehl-Neelsen retrouve des bacilles acido-alcoolorésistants. Les cultures sont en cours. Le liquide péricardique est un exsudat et l’examen direct et les cultures de celui-ci sont en cours.
Question 15 - Quel est votre traitement ?
Vitamine B6 dont l’objectif est de prévenir la neuropathie périphérique causée par l’isoniazide
Antibiothérapie :
– quadrithérapie antituberculeuse pour une durée de deux mois associant éthambutol + pyrazinamide + rifampicine + isoniazide ;
– suivie d’une bithérapie antituberculeuse d’une durée de quatre mois associant isoniazide + rifampicine ;
/!\ Toujours penser aux recherches de résistances (test génotypique rapide : gène rpoB pour rechercher une résistance à la rifampicine ; antibiogramme phénotypique pouvant prendre plusieurs semaines) qui devront faire réévaluer l’antibiothérapie.
/!\ Bilan préthérapeutique : fonction rénale, uricémie, fond d’œil, sérologies hépatites B et C et virus de l’immunodéficience humaine (VIH), ß-HCG si femme jeune.
La corticothérapie est discutée et n’a pas de niveau de preuve important dans le cas de la péricardite tuberculeuse.
Thérapeutique associée : vitamine B6 (prévention de la neuropathie périphérique causée par l’isoniazide).
Mesures associées :
– déclaration obligatoire double :
o signalement immédiat, nominatif, urgent au médecin de l’agence régionale de santé à enquête sur tous les cas contacts (la patiente est professeur d’EPS !),
o notification anonyme pour les données épidémiologiques,
– précaution complémentaires air ;
– importance de la prise en charge nutritionnel chez ces patients fréquemment dénutris.
L’examen clinique va nous orienter parmi les principales étiologies de douleur thoracique qui sont, pour rappel :
– les causes cardiaques : syndrome coronarien aigu (SCA) avec sus-décalage du segment ST (SCA ST- ou ST+), dissection aortique, péricardite ;
– les causes pulmonaires : embolie pulmonaire, pleurésie, pneumopathie, pneumothorax.
La caractérisation des éléments cliniques suivante permettra d’orienter le diagnostic :
– la prise des constantes : température, fréquence cardiaque ;
– l’auscultation cardiopulmonaire ;
– l’électrocardiogramme ;
– la prise de pression artérielle et la recherche d’une anisotension ;
– la recherche de signe de thrombose veineuse profonde ;
– LA CARACTÉRISATION DE LA DOULEUR THORACIQUE (v. question suivante) et LE TERRAIN (âge, facteurs de risque cardiovasculaires).