Maladie de Verneuil
HIDROSADENITE SUPPUREE
Image
Calcul de weddellite de morphologie IIa
LITHIASE URINAIRE
Image
Cristaux de 2,8-dihydroxyadénine
LITHIASE URINAIRE
Image
Lésions osseuses radiologiques d'une rupture du ligament croisé antérieur
LESIONS PERI-ARTICULAIRES
LESIONS LIGAMENTAIRES
Image
Lésion méniscale médiale traumatique verticale de grade 3
LESIONS PERI-ARTICULAIRES
LESIONS LIGAMENTAIRES
Image
Cutis vericis gyrata
CUTIS VERTICIS GYRATA
Image
Lupus engelure
LUPUS
Image
Lupus aigu
LUPUS
Image
Lèpre tuberculoïde
LEPRE
Image
Dermatite atopique de type pityriasis alba
ECZEMA ATOPIQUE
PITYRIASIS
Image
Dermatomyosite
DERMATOMYOSITE
Image
Crise aiguë de fermeture de l’angle
MALADIES DE L'OEIL
Image
Image
Pseudomarisque inflammatoire de la maladie de Crohn
MALADIE DE CROHN
Image
Dissociation isorythmique
TROUBLES DU RYTHME CARDIAQUE
BLOC CARDIAQUE
Image
Image
Syndrome des antiphospholipides
SYNDROME DES ANTICORPS ANTIPHOSPHOLIPIDES
NECROSE
Image
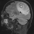
Lymphome cérébral
LYMPHOMES
LYMPHOME MALIN NON HODGKINIEN
Image
Anomalies des pieds à la naissance : chevauchements des orteils.
ANOMALIES MORPHOLOGIQUES CONGENITALES DU PIED
ORTEILS
Image
Ecthyma
ECTHYMA
IMPETIGO
Image
Leucocorie chez un enfant
LEUCOCORIE
Image
Scytalidiose
MELANONYCHIE
PACHYONYCHIE
PERIONYXIS
Image
Radiodermite post-cancer du sein
CANCER DU SEIN
RADIODERMITE
Image
Image