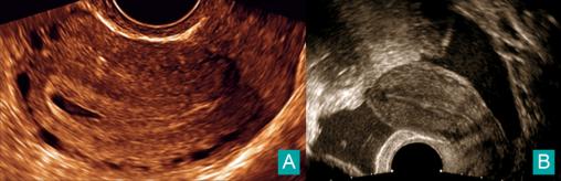
Charlotte Laplane, Claude d’Ercole (La Revue du Praticien) A. Pseudo-sac gestationnel.B. Épanchement du cul-de-sac de Douglas.