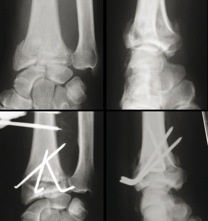
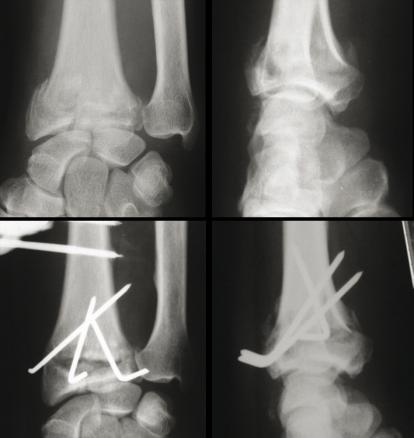
Fracture extra-intra-articulaire à déplacement postérieur : (Haut, gauche) Radio de face. (Haut, droite) Radio de profil. Traitement : on retiendra que la plaque antérieure corrige bien les déplacements antérieurs les broches corrigent bien les déplacements postérieurs, et le fixateur externe corrige bien le raccourcissement. Il faut souvent associer plusieurs méthodes. (Bas, gauche) Radio de face. (Bas, droite) Radio de profil.