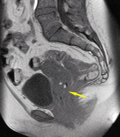
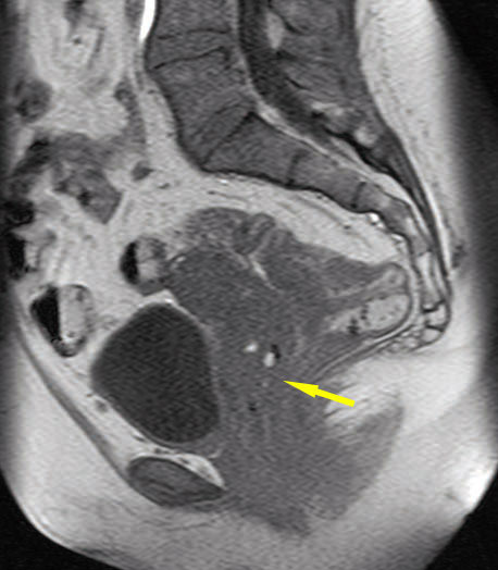
Imagerie par résonance magnétique, en coupe sagittale, en pondération T1, montrant des spots hyperintenses focalisés témoignant d’implants hémorragiques localisés dans le cul-de-sac vaginal postérieur.
Lire aussi
Article Web
Exercice
Article