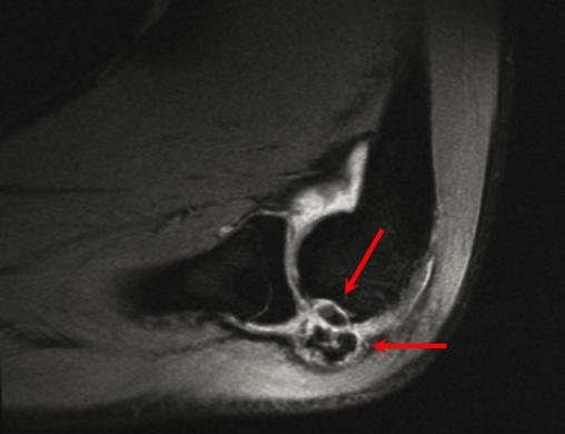
Ostéochondrose articulaire du coude associant un fragment du condyle latéral en place, ainsi que des corps étrangers dans la synoviale articulaire. Voir : P. Journeau, E. Polirzstok, F. Launay, D. Barbier. Lésions osseuses de sollicitation excessive chez l’enfant sportif. Rev Prat 2015;65(8);1084-90.
Lire aussi
Article Web