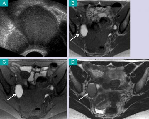
(A) Échographie pelvienne par voie endovaginale : kyste ovarien avec un fin piqueté échogène homogène. (B) Imagerie par résonance magnétique (IRM) en coupe axiale, en séquence pondérée T1 : kyste ovarien droit en hypersignal. (C) IRM en coupe axiale, en séquence pondérée T1 avec extinction du signal de la graisse : persistance de l'hypersignal. (D) IRM en coupe axiale, en séquence pondérée T2 : kyste ovarien avec un hyposignal (shading). Voir : Daraï É, Bazot M, Ballester M, Belghiti J. Endométriose. Rev Prat 2014;64:545-50.
Lire aussi
Article Web
Exercice
Article