Skip to main navigation
Header navigation
Newsletters
Librairie
Plus
Menu du compte de l'utilisateur
S'abonner
Bookmark page
Sous menu plus
larevuedupracticien
larevuedupracticien
La rédaction
La rédaction
Indépendance
Indépendance
DPC
DPC
JNMG
JNMG
Annonces
Annonces
E-suppléments
E-suppléments
La Revue du Praticien
Navigation principale
Actualités
Vient de paraître
Tests
Culture
Recherche
Maladie de Behçet
Lire plus tard
Partager
Imprimer
Ce contenu est exclusivement réservé aux abonnés
Fil d'Ariane
Image
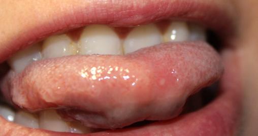
Maladie de Behçet
Collection P. Frances
Lésions au niveau de la langue : aphtose buccale
Lire aussi
Article
Syndrome de Hughes-Stovin et maladie de Behçet
Article
La maladie de Behçet
Exercice
Maladie de Behçet : comment faire le diagnostic ?
Article
Carcinome épidermoïde