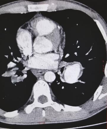
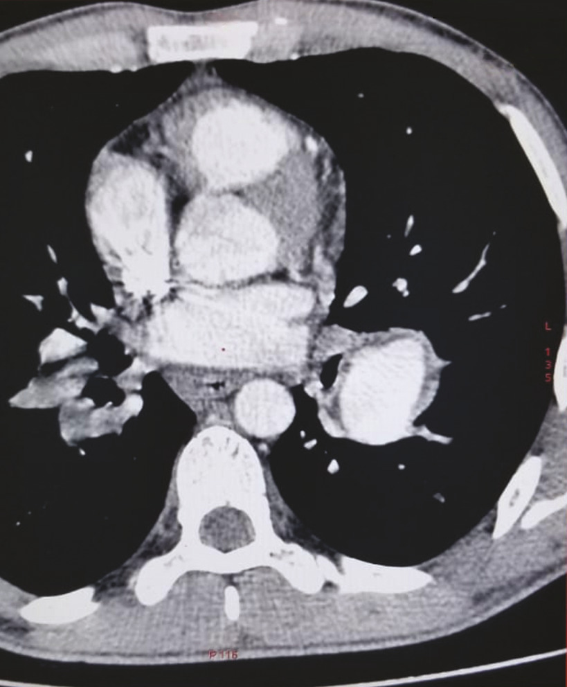
Cet homme de 21 ans consultait pour des hémoptysies. Il avait comme antécédent une aphtose bipolaire. L’électrocardiogramme était en rythme sinusal et l’échocardiographie (fig. 1 ) montrait un énorme thrombus du ventricule droit et de la veine cave inférieure. Sur l’angiotomodensitométrie thoracique (fig. 2 ), on notait de multiples anévrismes des artères pulmonaires. Le diagnostic de maladie de Behçet était retenu devant la thrombose intracardiaque, l’antécédent d’aphtose bipolaire, une uvéite antérieure et le test de sensibilité cutanée. Le patient était mis sous corticothérapie, colchicine et anticoagulation avec une bonne évolution clinique et la persistance du thrombus cardiaque. Le malade était adressé pour une thrombectomie chirurgicale.
Le syndrome de Hughes-Stovin associe la dilatation anévrismale des artères pulmonaires à des thromboses veineuses périphériques, avec parfois la visualisation exceptionnelle de thrombus intracardiaques.1, 2 C’est un mode de révélation rare mais grave de la maladie de Behçet.
Le traitement repose classiquement sur les agents immunosuppresseurs, les corticoïdes et les anticoagulants. En cas d’inefficacité du traitement médical ou de thrombus massif, une thrombectomie chirurgicale peut être proposée. En cas de récidive, la thrombolyse peut constituer une alternative intéressante au traitement chirurgical.
Le traitement repose classiquement sur les agents immunosuppresseurs, les corticoïdes et les anticoagulants. En cas d’inefficacité du traitement médical ou de thrombus massif, une thrombectomie chirurgicale peut être proposée. En cas de récidive, la thrombolyse peut constituer une alternative intéressante au traitement chirurgical.
Références
1. Anupama BK, Tymko C, Subedi R, Virk J, Chaudhuri D. Hughes Stovin syndrome: a rare form of Behcet’s disease presenting as recurrent intracardiac thrombi. Cureus. 2020;12(5):e7907.
2. El Euch M, Bouaziz R, Jaziri R, Fraj E, Kefi A et al. Prolonged fever and Intracardiac thrombosis revealing Behçet’s disease. J Med Vasc 2019;44:295-8.
2. El Euch M, Bouaziz R, Jaziri R, Fraj E, Kefi A et al. Prolonged fever and Intracardiac thrombosis revealing Behçet’s disease. J Med Vasc 2019;44:295-8.
Une question, un commentaire ?
Sur le même thème
Article