Recherche avancée

Précisez votre recherche

Par mots
Par parution

Affinez votre recherche en cliquant sur les rubriques (articles, dossiers, tests...)

Displaying 651 - 675 of 1537

Maladie de Dupuytren

MALADIE DE DUPUYTREN
maladie-de-dupuytren
Image

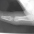
Fracture du doigt

FRACTURES ARTICULAIRES
A
Image
promo

Fracture du doigt

FRACTURES ARTICULAIRES
TRAUMATISMES DU DOIGT
Image

Thrombose veineuse profonde

THROMBOSE VEINEUSE
Image
Image

Langue framboisée

SCARLARTINE
A
Image

Mégalérythème épidémique

ERYTHEME INFECTIEUX
erythème infectieux
Image

Pytiriasis rosé de Gibert

PITYRIASIS ROSE
Image

Maladie de Verneuil

HIDROSADENITE SUPPUREE
%
Image

Leucoplasie de la corde vocale gauche

CANCER DES VOIES AERODIGESTIVES
Leucoplasie de la corde vocale gauche
Image

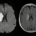
Hématome lobaire frontal bilatéral

ACCIDENT VASCULAIRE CEREBRAL
Image

Carcinome épidermoïde du sinus piriforme gauche

CANCER DES VOIES AERODIGESTIVES
CARCINOME EPIDERMOIDE DU SINUS PIRIFORME
carcinome
Image

Angiœdème héréditaire

ANGIO-OEDEME HEREDITAIRE
OEDEME
oedeme
Image

Tumeur de la paroi latérale gauche de l’oropharynx

CANCER DES VOIES AERODIGESTIVES
TUMEUR DE LA PAROI LATERALE GAUCHE DE L'OROPHARYNX
Q
Image

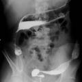
Adénocarcinome colique

ADENOCARCINOME
Image

Carcinome épidermoïde du sinus piriforme gauche

CANCER DES VOIES AERODIGESTIVES
CARCINOME EPIDERMOIDE DU SINUS PIRIFORME
Image

Maladie de Verneuil

HIDROSADENITE SUPPUREE
Image

Angiœdème héréditaire

ANGIO-OEDEME HEREDTAIRE
OEDEME
angoedeme
Image

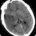
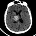
Hématome intracérébral profond

ACCIDENT VASCULAIRE CEREBRAL
HEMATOME INTRACEREBRAL
Image

Cancer des voies aérodigistives

CANCER DES VOIES AERODIGESTIVES
HYPERMETABOLISME
TUMEUR MALIGNE
Image