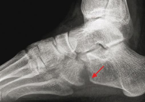
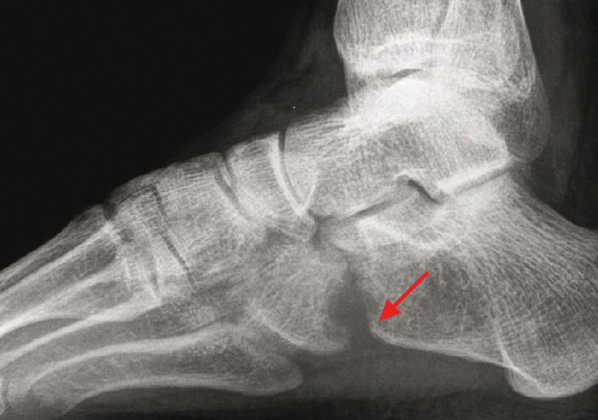
Radiographie de profil du pied : arthrite tuberculeuse calcanéo-cuboïdienne (élargissement de l'interligne lié à la destruction de l'os sous-chondral).