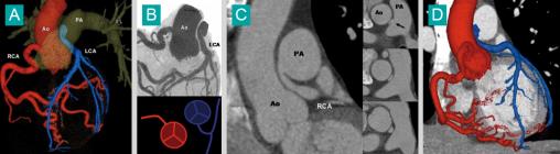
A. Volume rendering (VR) : l'artère coronaire gauche (LCA) en bleu naît de l'artère pulmonaire (PA), artère coronaire droite normale (rouge). Ao : aorte.B. Représentation de l'anomalie de naissance de l'artère coronaire gauche (LCA) en Maximum Intensity projection (MIP).C. Reformatage 2D dans le plan coronal et axial : trajet interartériel (entre l'aorte et l'artère pulmonaire) de l'artère coronaire gauche, qui est comprimée.D. Fusion VR et reformatage 2D des artères coronaires et des cavités cardiaques.