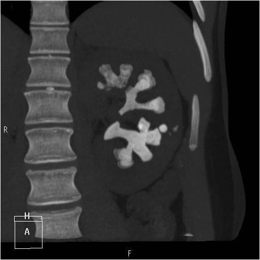
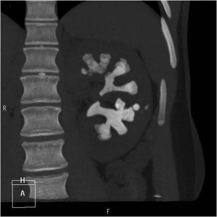
Raphaëlle Renard-Penna, La Revue du Praticien Uroscanner sans injection. Calcul coralliforme du rein gauche.