Raphaëlle Renard-Penna, La Revue du Praticien
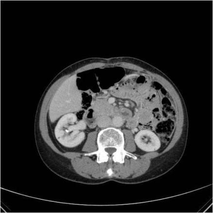
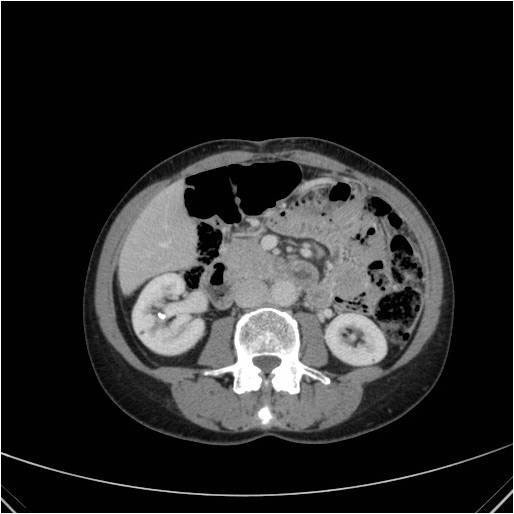
Tomodensitométrie avec injection au temps mixte néphrographique et excrétoire. Visibilité du calcul par transparence au niveau des cavités rénales droites. Opacification mixte du parenchyme rénal et des cavités rénales.