Skip to main navigation
Header navigation
Newsletters
Librairie
Plus
Menu du compte de l'utilisateur
S'abonner
Bookmark page
Sous menu plus
larevuedupracticien
larevuedupracticien
La rédaction
La rédaction
Indépendance
Indépendance
DPC
DPC
JNMG
JNMG
Annonces
Annonces
E-suppléments
E-suppléments
La Revue du Praticien
Navigation principale
Actualités
Vient de paraître
Tests
Culture
Recherche
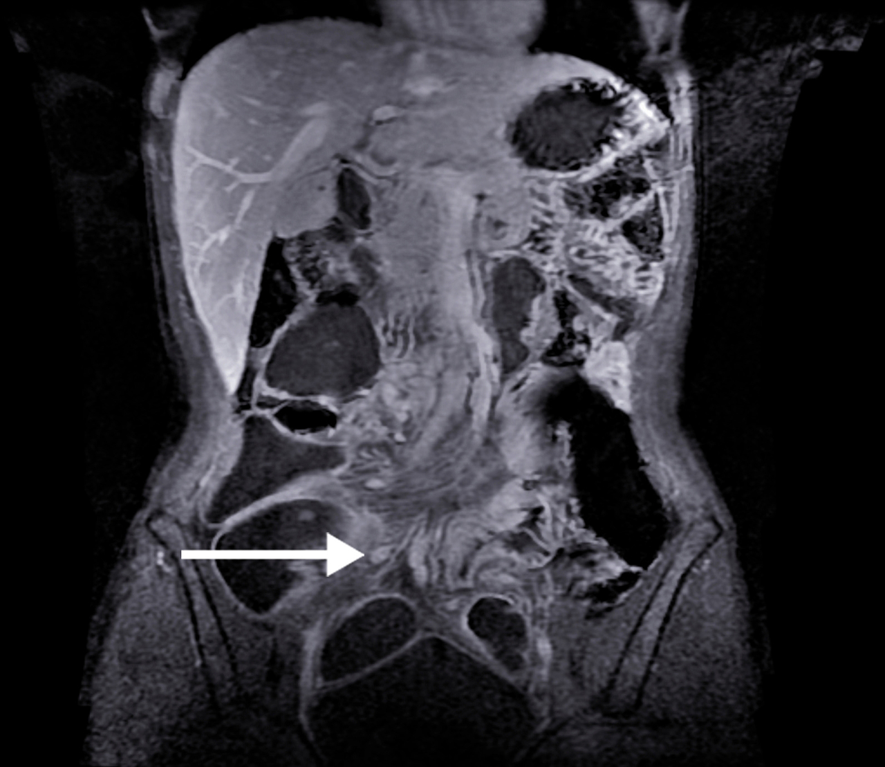
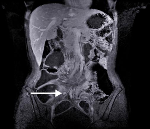
Adénopathies mésentériques
Lire plus tard
Partager
Imprimer
Ce contenu est exclusivement réservé aux abonnés
Fil d'Ariane
Image
Adénopathies mésentériques
IRM. Adénopathies mésentériques chez une malade ayant une maladie de Crohn de l'iléon.
Lire aussi
Exercice
Dossier progressif n° 263
Article
Vivre avec la maladie de Crohn
Article
Prise en charge des lésions secondaires de la maladie de Crohn anopérinéale
Exercice
Dossier progressif n° 181
Article
Patients-reported outcomes dans les MICI
Article
Maladies Inflammatoires chroniques de l’intestin