Vous êtes de garde aux urgences et recevez Mme L., 26 ans, qui vient pour une diarrhée évoluant depuis six jours. Elle vous dit avoir plus de dix selles par jour avec présence de sang et de glaires. Elle a également des douleurs abdominales diffuses, prédominant en fosse iliaque droite. Elle rapporte également ne pas avoir uriné depuis six heures.
Elle rapporte des problèmes de transit à type de diarrhée et des douleurs abdominales régulières évoluant depuis plusieurs années mais d’intensité moindre par rapport à l’épisode actuel.
Elle n’a pas d’antécédent particulier. Elle fume cinq cigarettes par jour et boit de l’alcool occasionnellement. Elle n’a pas voyagé récemment.
Cliniquement, elle a une fréquence cardiaque à 108 battements par minute, elle a une tension artérielle à 123/88 mmHg, une température à 37,9 °C, une saturation en oxygène à 98 %. L’abdomen est tendu quand vous palpez la fosse iliaque droite. Vous ne palpez pas de globe urinaire. Il n’y a pas de marbrure.
Elle rapporte des problèmes de transit à type de diarrhée et des douleurs abdominales régulières évoluant depuis plusieurs années mais d’intensité moindre par rapport à l’épisode actuel.
Elle n’a pas d’antécédent particulier. Elle fume cinq cigarettes par jour et boit de l’alcool occasionnellement. Elle n’a pas voyagé récemment.
Cliniquement, elle a une fréquence cardiaque à 108 battements par minute, elle a une tension artérielle à 123/88 mmHg, une température à 37,9 °C, une saturation en oxygène à 98 %. L’abdomen est tendu quand vous palpez la fosse iliaque droite. Vous ne palpez pas de globe urinaire. Il n’y a pas de marbrure.
Question 1 - Devant ce tableau clinique, quel(s) diagnostic(s) évoquez-vous ?



– une diarrhée infectieuse : bactérienne, virale, parasitaire ;
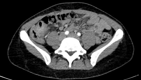
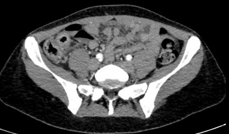
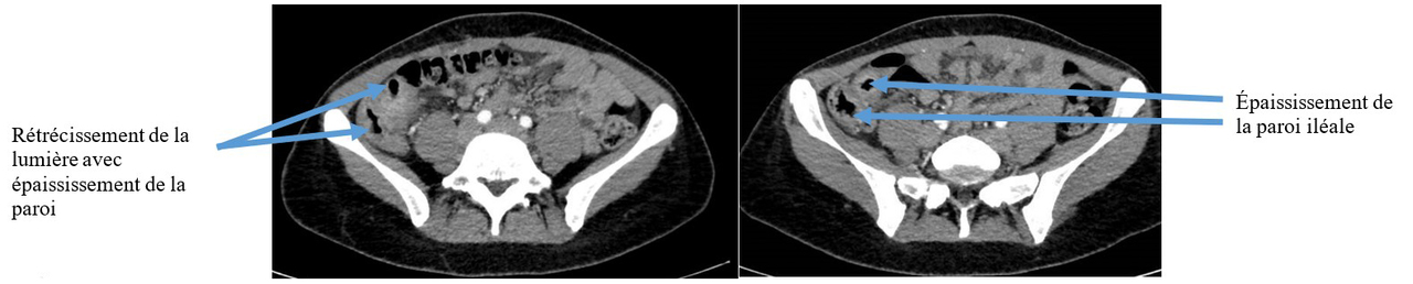
– une colite aiguë grave pouvant être inaugurale d’une maladie inflammatoire chronique de l’intestin (MICI). Ici, c’est un diagnostic possible car la patiente décrit des troubles digestifs évoluant depuis plusieurs années et elle fume, ce qui est un facteur de risque de développer une maladie de Crohn. Les critères de Truelove et Witts définissent la colite aiguë grave : > 6 selles sanglantes/24 h + protéine C réactive (CRP) > 30 mg/L ou hémoglobine < 10,5 g/dL ou température > 37,8 °C OU fréquence cardiaque > 90 bpm.
Le syndrome de l’intestin irritable peut entraîner des douleurs abdominales diffuses et une diarrhée mais qui est liquidienne. La présence de sang et de glaires dans les selles va contre ce diagnostic.
Même si la colite à Clostridioides difficile se voit classiquement chez les patients ayant pris des antibiotiques, sous chimiothérapie ou porteurs d’une MICI, il faut l’évoquer devant ce tableau. Et toujours penser dans un tableau de colite aiguë grave qu’il faut chercher une surinfection bactérienne notamment à Clostridioides difficile et virale (CMV).