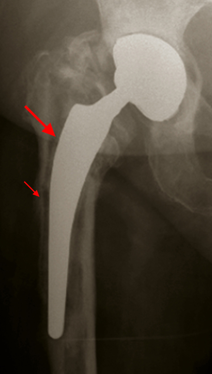
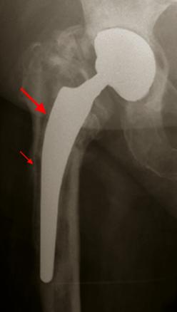
Grande flèche : liseré d'ostéolyse avec descellement de la hampe fémorale.Petite flèche : appositions périostées.