Vous recevez aux urgences Mme F., âgée de 56 ans, qui a l’impression d’étouffer. Cela fait plusieurs jours qu’elle a vraiment du mal à respirer.
Mme F. travaille dans l’industrie pharmaceutique. Elle a récemment fait un aller et retour à Chicago pour un déplacement professionnel. Elle ne fume pas, a une consommation modérée d’alcool, et n’a pas d’antécédent médical particulier. Elle est ménopausée depuis 2 ans, ne prend aucun traitement, n’a pas d’allergie. Elle n’a pas de douleur, pas d’autre plainte fonctionnelle en dehors d’une fatigue et d’une toux non productive depuis quelques jours. La dyspnée n’est pas rythmée par le temps respiratoire.
Les paramètres vitaux sont les suivants :
poids 60 kg pour 1,70 m,
TA = 140/90 mmHg,
FC = 96 bpm,
FR = 20 /min,
SaO2 = 92 % sous 3 L/min,
T°= 37,9 °C,
peak flow = 250 L/min,
HGT = 5,0 mmol/L.
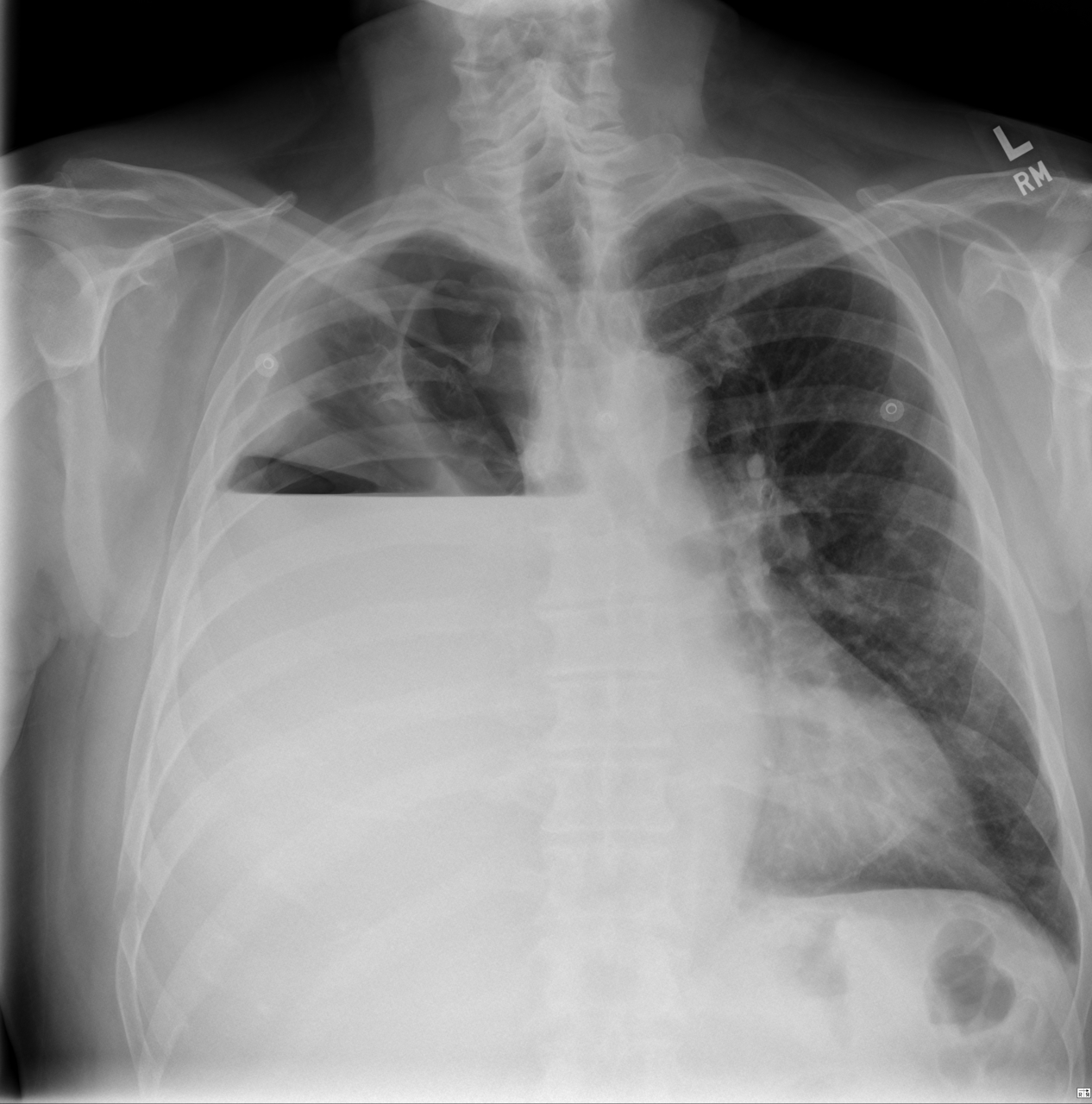
Vous n’observez pas de signe de lutte respiratoire, la dyspnée est silencieuse. L’auscultation pulmonaire retrouve une diminution du murmure vésiculaire à droite, accompagnée de sibilants localisés à mi-hauteur, la percussion révèle une matité. Les bruits du cœur sont réguliers, sans souffle. Il n’y a pas d’œdème des membres inférieurs, les mollets sont souples et indolores. Le reste de l’examen clinique est sans particularité.
Question 1 Cette observation permet d’éliminer :
L’examen clinique est ici partiel. Si la matité permet d’exclure le pneumothorax, il ne permet pas de trancher entre un syndrome pleural et une atélectasie.
Une embolie pulmonaire n’est pas une hypothèse que l’on peut éliminer par la clinique.
Le tableau clinique n’est pas évocateur d’un asthme : les sibilants sont localisés et non diffus, la dyspnée n’est pas bruyante, ni limitée au temps expiratoire. De plus, un asthme aigu grave se définit par un peak flow < 150 L/min ou < 50 % de la théorique, ce qui n’est pas le cas ici. Les sibilants peuvent être le signe d’une obstruction bronchique localisée.
Question 2 : Vous complétez votre examen par
Recherche d’une atélectasie ou d’un épanchement pleural.
Élimination d’une embolie pulmonaire, car probabilité moyenne, absence de contexte d’alitement, d’opération récente ou d’inflmmation, âge 80 ans.
Recherche de signes droits en faveur d’une embolie pulmonaire ou de signes d’ischémie.
Évaluation de l’hématose (effet shunt), recherche de signes de gravité (hypoxémie, hypercapnie, acidose lactique).
Pas de douleur thoracique, cet examen n’a pas sa place ici sauf signes d’ischémie myocardique sur l’ECG.
Exploration d’une dyspnée avec désaturation.
Vous recevez les résultats de votre bilan initial.
NFS : Hb = 10,2 g/dL,
VGM = 90 fL,
CCMH = 33 UI/L,
plaquettes = 490 G/L,
leucocytes = 15,0 G/L dont PNN = 13,2 G/L, lymphocytes = 1,6 G/L
créatinine sanguine = 70 µmol/L,
urée = 5,0 mmol/L,
Na = 142 mmol/L,
K = 4,2 mmol/L,
Ca = 2,25 mmol/L,
albumine = 36 g/L,
C-RP = 60 mg/L.
gaz du sang : PaO2 = 101 mmHg,
PaC02 = 35 mmHg,
Sa02 = 94 %,
HCO3- = 20 mmol/L
TP = 79 %,
TCA : patient = 30s, témoin = 32s,
D-dimères = 1 235 UI/L
L’ECG retrouve une tachycardie sinusale (101 bpm) avec un bloc de branche incomplet droit.
Question 3 : Ces résultats permettent d’éliminer :
Cette hypothèse a déjà été éliminée par la clinique.
Sur la radio de thorax, le médiastin est repoussé par l’opacité, il est donc comprimé par un épanchement pleural.
Dans le cas d’une atélectasie le médiastin aurait été attiré vers l’opacité.
Seuls des D-dimères négatifs (≤500 UI/L) auraient permis d’éliminer cette hypothèse.
Hypothèse déjà éliminée par la clinique.
Question 4 : Vous complétez ce bilan par :
L’angioscanner thoracique est l’examen de choix pour éliminer une embolie pulmonaire, ici, il permettra de plus d’explorer l’étiologie de la pleurésie.
Vous projetez de faire une ponction pleurale. Vous êtes devant Mme F.
Question 5 : Décrivez votre geste :
Il faut piquer en aspiration, l’effusion de liquide pleural dans la seringue indiquera alors que l’espace interpleural est catéthérisé.
Attention, toujours vérifier la latéralité du point de ponction. Ici le point est placé sur le poumon sain, pas besoin de créer un pneumothorax iatrogène !
Vous obtenez le liquide suivant : L’analyse du liquide pleural retrouve 80 % de lymphocytes, et 45 g/L de protides. L’examen bactériologique direct ne retrouve pas de germe, ni de bacille acido-alcoolo résistant.
Question 6 : Vous suspectez
On aurait eu un transsudat.
On aurait eu un liquide purulent et une formule majoritairement constituée de PNN.
Il s’agit d’un exsudat, avec un liquide hématique. Les diagnostics les plus probables sont la pleurésie carcinomateuse et la tuberculose pleurale. Une embolie pulmonaire peut aussi donner un exsudat hémorragique, d’autant plus qu’elle n’a toujours pas été éliminée par l’angioscanner à ce stade du dossier.
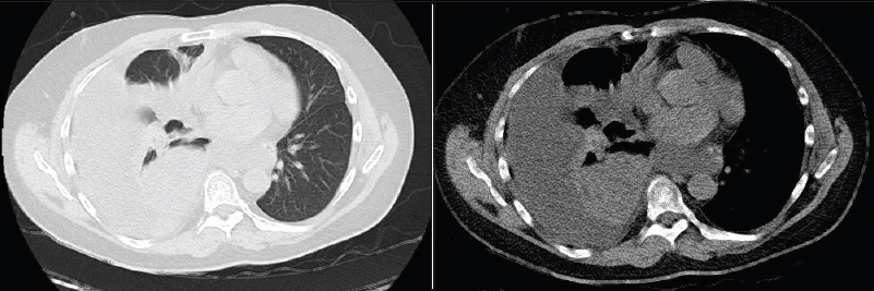
L’angioscanner ne retrouve pas de défect endoluminal du tronc pulmonaire ni des artères pulmonaires segmentaires et sous-segmentaires.
Vous recevez les images clés du scanner thoracique. Mme F. est hospitalisée. Elle a été bien soulagée par la ponction pleurale. Vous organisez une fibroscopie bronchique qui retrouve un adénocarcinome bronchique TTF1+, envahissant la bronche intermédiaire droite.
Question 7 : Quels examens programmez-vous dans un délai de quelques jours ?
Le diagnostic de cancer est confirmé, l’embolie pulmonaire est éliminée. Il est temps de débuter le bilan d’extension : scanner abdomino-pelvien avec coupes hépatiques et centrées sur les surrénales, un TEP-TDM au 18-FDG et une imagerie cérébrale systématiques. La médiastinoscopie et l’EBUS sont des examens de deuxième intention en cas de suspicion de métastases ganglionnaires médiastinales (T2 ou T3) qui indiqueraient une maladie non résécable.
Les EFR font partie du bilan d’opérabilité.
Vous revoyez Mme. F. une semaine plus tard. Le TEP-TDM au 18-FDG ne retrouve pas d’autre foyer hypermétabolique en dehors de la lésion déjà connue et d’une adénopathie hilaire homolatérale. Le résumé des EFR indique un VEMS à 85 % et une DLCO à 90 % de la valeur théorique.
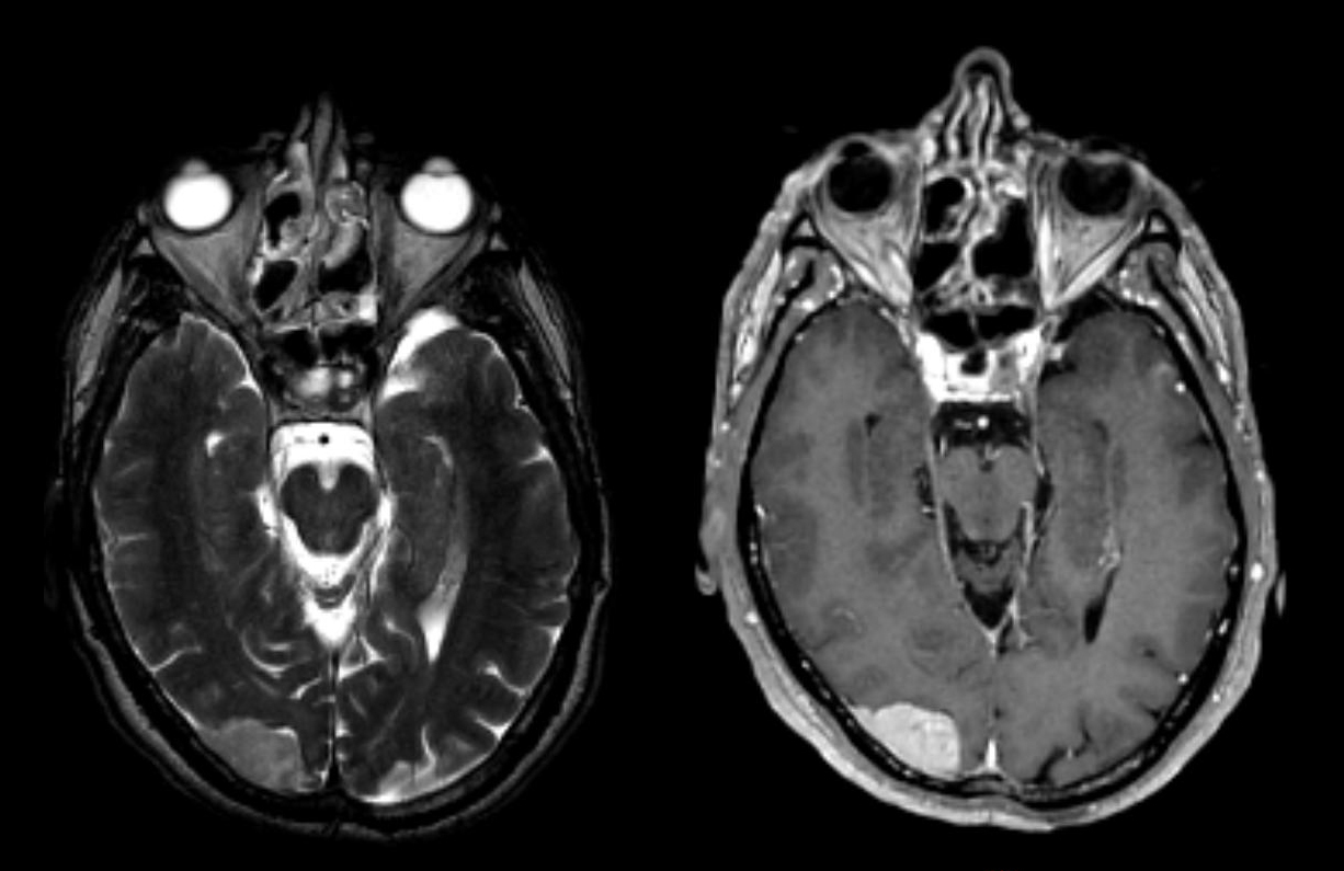
Une image vous interpelle sur l’IRM cérébrale :
Question 8 : Vous recommandez :
À propos de l’imagerie cérébrale : il s’agit d’une image typique de méningiome : tumeur extraparenchymateuse, bien limitée, à base méningée, avec des prolongements méningés (ou queues le long des méninges) se rehaussant fortement et de façon homogène lors de l’injection de gadolinium. Il s’agît d’une tumeur bénigne et asymptomatique, elle ne nécessite donc aucune exploration ni aucun traitement.
De façon générale en radiologie tumorale, l’examen radiologique peut être suffisant à conclure à la bénignité d’une lésion. A contrario, la suspicion d’une lésion maligne impose la réalisation d’une biopsie. Les traitements antinéoplasiques sont des traitements à marge thérapeutique étroite, et ont une indication précise. La preuve histologique est indispensable à leur prescription d’autant plus que les stratégies thérapeutiques sont définies en fonction de critères histologiques (type histologique, grade tumoral) et des données de biologie moléculaire. Enfin, une lésion tumorale a potentiellement des diagnostics différentiels infectieux ou immunologiques.
À propos de la thérapeutique à envisager :
au niveau neurologique il n’y a pas de symptôme d’HTIC ni de signe d’engagement : cette lésion ne nécessite aucun traitement ;
au niveau oncologique : le patient a une maladie non métastatique, la chimiothérapie n’est pas le traitement de première intention.
Vous envisagez de faire une thoracoscopie vidéo-assistée.
Question 9 : Cet examen est justifié car :
Non, attention à ne pas confondre avec la médiastinoscopie.
Non, uniquement en cas de suspicion d’atteinte pleurale
La thoracoscopie est ici indispensable pour déterminer la suite de la prise en charge de Mme F. En effet, la présence de nodules pleuraux indiquerait une maladie métastatique, par définition non résécable. Or ni le scanner ni la ponction du liquide pleural qui ne retrouve pas de cellule maligne ne permettent de conclure sur l’envahissement pleural chez cette patiente. En effet, cette pleurésie peut être simplement réactionnelle à l’atélectasie et à un défaut de résorption de liquide pleural secondaire à l’envahissement tumoral sans pour autant être une localisation métastatique.
Votre bilan d’extension conclut à un adénocarcinome bronchique de 75 mm de grand axe, envahissant la plèvre viscérale et pariétale, sans nodule pleural distant. Vous présentez le dossier de Mme F. en réunion de concertation pluridisciplinaire. Mme F. souhaite tout faire pour guérir de son cancer, son indice ECOG est de 1.
Question 10 : Indiquez la ou les stratégie(s) thérapeutique(s) que vous proposez pour Mme F.
La maladie est-elle résécable ? Oui, puisqu’elle est non M1, non N2-N3, non T4. On propose donc un traitement curatif.
La patiente est-elle opérable ? Oui car les EFR montrent un VEMS > 80 % et une DLCO > 80 %, la patiente est volontaire pour le traitement.
NB : en cas de non-opérabilité on peut réaliser une radiochimiothérapie concomitante.
La maladie est N1 (T3) : le traitement doit comporter une chimiothérapie adjuvante.
La maladie est N1 (T3) : le traitement doit comporter une chimiothérapie adjuvante.
Attention : en raison de l’envahissement pleural, on recommande la réalisation d’une irradiation pariétale afin de diminuer le risque de récidive locale.
Dans le cancer bronchique non à petites cellules, l’irradiation cérébrale prophylactique n’est pas recommandée.
Mme F. est traitée par une bilobectomie droite. Les suites opératoires sont simples.
Les explorations complémentaires sur la pièce opératoire indiquent : « absence de mutation pour l’EGFR et pour KRAS, absence de surexpression de HER2, présence d’un réarrangement ALK-EML4 ».
Question 11 : En cas de récidive métastatique, Mme F. pourra bénéficier des traitements suivants :
Oui, car carcinome NON à petites cellules, NON épidermoïde.
Il n’existe actuellement aucun traitement ciblant K-RAS.
Oui, car existence d’un réarrangement de ALK.
Oui, même à l’ère de thérapies moléculaires ciblées la chimiothérapie est efficace.
Mme F. ne présente pas de mutation de l’EGFR, elle ne peut donc pas recevoir de traitement anti-EGFR en première ligne de traitement d’un cancer métastatique. Pour comprendre (ce qui suit n’est très probablement pas un niveau de connaissance exigible à l’ECN) : Mme F. pourra par contre recevoir ultérieurement un traitement anti-EGFR, mais avec un haut risque d’échec. On préférera ici en seconde ligne un traitement ciblant le réarrangement de ALK.
Dans le cancer du poumon, aucune thérapie moléculaire ciblée n’a son indication pour le traitement adjuvant du cancer, ces thérapies ont uniquement leur place en phase métastasique.
Les connaissances exigibles pour l’ECN ne devraient pas dépasser le niveau de cette question, qui est plus une question d’interprétation des données de l’anatomo-pathologie et de la biologie moléculaire qu’une question de thérapeutique.
Question 12 : L’échographie cardiaque transthoracique postopératoire indique une FEVG à 65 %, sans autre anomalie. Vous débutez une chimiothérapie adjuvante par cisplatine + navelbine.
Ne fait pas partie de la prévention des nausées-vomissements chimio-induits aigus et retardés. C’est un traitement des vomissements anticipatoires.
Non, jamais d’antibioprophylaxie en prévention de la neutropénie fébrile.
Le principal pourvoyeur d’effets indésirables de cette association est le cisplatine.
Ce médicament est :
néphrotoxique (nécrose tubulaire aiguë) qu’on prévient par une hyperhydratation par du sérum salé isotonique, avec une surveillance de la fonction rénale régulière ;
ototoxique : toujours rechercher cliniquement une hypoacousie ;
neurotoxique : vérification des reflex ostéo-tendineux avant toute administration ;
hautement émétisant : prescription d’aprépitant (anti-NK1) en association avec un sétron comme le Zophren et une corticothérapie pour la prévention des nausées-vomissements chimio-induits.
Mme F. reçoit sa première cure de chimiothérapie qu’elle semble bien tolérer. Vous lui prescrivez 3 injections G-CSF en prévention de la neutropénie fébrile. Malgré vos traitements, elle consulte 5 jours plus tard aux urgences de votre hôpital. Elle est très fatiguée, vomit en permanence, n’arrive plus à s’alimenter, et se plaint de douleurs au niveau du rachis, des genoux et du bassin. Elle estime son EVA à 9/10 malgré la prise de paracétamol.
Les paramètres vitaux sont les suivants :
T° = 37,7 °C,
TA = 100/55 mmHg,
FC = 110 bpm,
SaO2 = 94 % en air ambiant,
poids 53 kg contre 55 kg avant la cure de chimiothérapie.
Question 13 : A propos de la symptomatologie digestive, vous envisagez le ou les diagnostics de :
Attention ! Tout symptôme après une cure de chimiothérapie n’est pas synonyme d’un effet secondaire de la chimiothérapie. Il faut donc étayer l’examen clinique afin de rechercher les diagnostics différentiels.
L’hypercalcémie d’origine paranéoplasique ou la méningite carcinomateuse ne sont cependant pas des hypothèses probables chez une patiente en rémission complète d’un cancer du poumon (cancer opéré et non métastasé).
Question 14 : A propos de la symptomatologie douloureuse, vous envisagez le ou les diagnostics de :
Peu probable car cette symptomatologie diffuse serait témoin d’un envahissement métastatique osseux extensif, éliminé par le bilan d’extension encore récent.
Oui, la description sémiologique est typique.
Ne pas oublier les effets indésirables des traitements associés à la chimiothérapie. Les douleurs osseuses sont le principal effet secondaire des G-CSF. Elles correspondent à la stimulation de la moelle osseuse. Les régions douloureuses correspondent aux sites où se fait l’hématopoïèse (os plats, rachis, épiphyse des os longs), et leur délai d’apparition est compatible avec l’administration des G-CSF.
Vous concluez à des vomissements chimio-induits et à des douleurs osseuses secondaires aux injections de G-CSF.
Le bilan des urgences est le suivant :
Na = 148 mmol/L,
K = 3,5 mmol/L,
créatinine = 120 µmol/L (antériorité à 75 µmol/L),
urée = 15 mmol/L,
Ca = 2, 20 mmol/L,
albumine = 37 g/L,
C-RP = 15 mg/L,
Hb = 10,0 g/dL,
leucocytes = 5,0 G/L,
glucose = 5,5 mMol/L.
Question 15 : Mme F. est hospitalisez. Vous faites ses prescriptions.
Oui, la réhydratation doit être urgente en raison de l’insuffisance rénale aiguë et du risque nécrose tubulaire aiguë secondaire au cisplatine.
Oui, les vomissements chimio-induits sont l’indication principale de la nutrition parentérale. Celle-ci doit être de courte durée.
Non, pas de traitement PO en phase aiguë de vomissements incoercibles.
Oui, la douleur est majeure (EVA >= 8/10), l’indication à une titration morphinique est justifiée, mais devra être prudente en raison de l’insuffisance rénale aiguë.
Non, les biphosphonates sont indiqués en cas d’hypercalcémie… la calcémie est ici normale.
Une embolie pulmonaire n’est pas une hypothèse que l’on peut éliminer par la clinique.
Le tableau clinique n’est pas évocateur d’un asthme : les sibilants sont localisés et non diffus, la dyspnée n’est pas bruyante, ni limitée au temps expiratoire. De plus, un asthme aigu grave se définit par un peak flow < 150 L/min ou < 50 % de la théorique, ce qui n’est pas le cas ici. Les sibilants peuvent être le signe d’une obstruction bronchique localisée.