Vous êtes de garde aux urgences un matin lorsque les pompiers accompagnent Mme P. après un « malaise » dans un supermarché.
C’est une femme de 54 ans, qui a pour antécédents une appendicectomie, un surpoids, un diabète non insulino-dépendant bien contrôlé sous metformine et glimépiride. Elle n’est pas ménopausée, G3P2 (une fausse couche non explorée, deux grossesses menées à terme s’étant déroulées sans problème), elle porte un dispositif intra-utérin (DIU) au cuivre. Elle est fumeuse, et vous évaluez sa consommation tabagique à environ 17 paquets-années (1/2 paquet de cigarettes depuis l’âge de 20 ans).
Elle n’a pas d’allergie connue.
C’est sa sœur, qui était avec elle lors du malaise, qui l’accompagne et qui vous raconte : Mme P. a ressenti une soudaine faiblesse alors qu’elle marchait dans les rayons, est tombée au sol et a eu quelques « secousses » des bras mal décrites, qui ont duré quelques secondes. Mme P. a repris conscience après 2 minutes environ.
Devant vous elle est asthénique, ralentie, confuse, une demi-heure après son malaise. Elle a visiblement une amnésie complète de l’épisode, et ne peut vous raconter que le trajet jusqu’à l’hôpital dans le camion des pompiers.
L’examen neurologique ne retrouve pas de déficit sensitif ni moteur, en dehors de la somnolence elle est consciente et orientée. Les nerfs crâniens sont intègres, les pupilles réactives et symétriques. Il n’y a pas de syndrome méningé. Elle marche lentement, mais sans ataxie. Les réflexes ostéotendineux sont retrouvés bilatéraux et symétriques, le réflexe cutanéo-plantaire est en flexion à gauche, en extension à droite.
L’examen cardiopulmonaire est sans anomalie particulière, l’abdomen est souple et indolore. L’inspection retrouve des ecchymoses sur les membres supérieurs, il y a eu une perte d’urine, et elle s’est visiblement mordu la langue sur le côté droit lors de l’épisode.
Elle est apyrétique et stable hémodynamiquement avec des pressions artérielles, un pouls et une saturation corrects.
C’est une femme de 54 ans, qui a pour antécédents une appendicectomie, un surpoids, un diabète non insulino-dépendant bien contrôlé sous metformine et glimépiride. Elle n’est pas ménopausée, G3P2 (une fausse couche non explorée, deux grossesses menées à terme s’étant déroulées sans problème), elle porte un dispositif intra-utérin (DIU) au cuivre. Elle est fumeuse, et vous évaluez sa consommation tabagique à environ 17 paquets-années (1/2 paquet de cigarettes depuis l’âge de 20 ans).
Elle n’a pas d’allergie connue.
C’est sa sœur, qui était avec elle lors du malaise, qui l’accompagne et qui vous raconte : Mme P. a ressenti une soudaine faiblesse alors qu’elle marchait dans les rayons, est tombée au sol et a eu quelques « secousses » des bras mal décrites, qui ont duré quelques secondes. Mme P. a repris conscience après 2 minutes environ.
Devant vous elle est asthénique, ralentie, confuse, une demi-heure après son malaise. Elle a visiblement une amnésie complète de l’épisode, et ne peut vous raconter que le trajet jusqu’à l’hôpital dans le camion des pompiers.
L’examen neurologique ne retrouve pas de déficit sensitif ni moteur, en dehors de la somnolence elle est consciente et orientée. Les nerfs crâniens sont intègres, les pupilles réactives et symétriques. Il n’y a pas de syndrome méningé. Elle marche lentement, mais sans ataxie. Les réflexes ostéotendineux sont retrouvés bilatéraux et symétriques, le réflexe cutanéo-plantaire est en flexion à gauche, en extension à droite.
L’examen cardiopulmonaire est sans anomalie particulière, l’abdomen est souple et indolore. L’inspection retrouve des ecchymoses sur les membres supérieurs, il y a eu une perte d’urine, et elle s’est visiblement mordu la langue sur le côté droit lors de l’épisode.
Elle est apyrétique et stable hémodynamiquement avec des pressions artérielles, un pouls et une saturation corrects.
Question 1 - Parmi les informations qui sont à votre disposition, celle(s) orientant vers une crise d’épilepsie plutôt que vers une syncope est/sont :
On décrit en général une morsure latérale dans les convulsions épileptiques (souvent lors de la phase tonique), alors qu’une morsure du bout distal de la langue évoque une syncope (lors de la chute).
Il est désormais acquis que les pertes d’urines peuvent survenir dans les deux troubles, sans orienter vers l’un ou l’autre.
On peut également retrouver des secousses myocloniques dans les syncopes, qui débutent, à la différence de crise d’épilepsie, après la perte de connaissance.
On décrit la syncope comme étant à l’« emporte-pièce », avec une récupération très brève, rarement un état confusionnel.
Un effort à l’origine d’une perte de connaissance oriente au contraire vers une syncope.



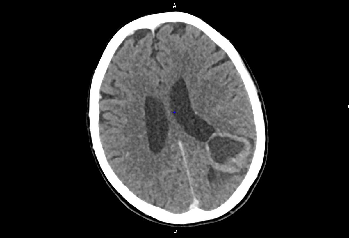
Ici c’est le déficit postcritique prolongé qui est l’élément le plus parlant.