Recherche avancée

Précisez votre recherche

Par mots
Par parution

Affinez votre recherche en cliquant sur les rubriques (articles, dossiers, tests...)

Displaying 951 - 975 of 1537

Lymphome hodgkinien classique

MALADIE DE HODGKIN
Image

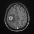
Métastase cérébrale unique

CANCER DU POUMON
METASTASE
A
Image
promo

Piqûre par poisson-pierre

POISSON VENENEUX
MORSURES ET PIQURES
rf
Image

Piqûre de vive

POISSON VENENEUX
VENIN
A
Image

Urticaire

URTICAIRE
Image

Hernie inguinale bilatérale

HERNIE INGUINALE
Image

Hernie inguinale du garçon

HERNIE INGUINALE
Image

Dacryocystite chronique

DACRYOCYSTITE CHRONIQUE
Image

Leucoplasie

LEUCOPLASIE
s
Image

Kérato-acanthome sous-unguéal

KERATOACANTHOME
DOIGT
OSTEOLYSE
Image

Dermite du siège candidosique

CANDIDOSE
NOURRISSON
DERMITE DU SIEGE
OP
Image

Héliodermie

HELIODERMIE
VIEILLISSEMENT PEAU
RAYONS UVA
héliodermie
Image

Langue plicaturée

LANGUE SCROTALE
nn
Image

Kérato-acanthome sous-unguéal

KERATOACANTHOME
DOIGT
Image

Dermatopathie diabétique

COMPLICATIONS DU DIABETE
MALADIES DE LA PEAU
MEMBRES INFERIEURS
p
Image

Maladie de Behçet

MALADIE DE BEHCET
APHTOSE BUCCALE
LANGUE
nn
Image

Chondrocalcinose du genou

CHONDROCALCINOSE
GENOU
Image

Héliodermie

HELIODERMIE
VIEILLISSEMENT PEAU
RAYONS UVA
Image
Image

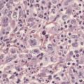
Lymphome hodgkinien

MALADIE DE HODGKIN
HISTOLOGIE
Image

Hyperplasie folliculaire bénigne

LYMPHOMES
HISTOLOGIE
Image