Skip to main navigation
Header navigation
Newsletters
Librairie
Plus
Menu du compte de l'utilisateur
S'abonner
Bookmark page
Sous menu plus
larevuedupracticien
larevuedupracticien
La rédaction
La rédaction
Indépendance
Indépendance
DPC
DPC
JNMG
JNMG
Annonces
Annonces
E-suppléments
E-suppléments
La Revue du Praticien
Navigation principale
Actualités
Vient de paraître
Tests
Culture
Recherche
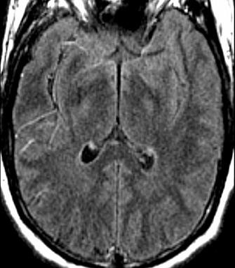
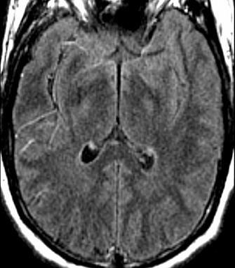
IRM cérébrale, séquence FLAIR : aspect normal à H2
Lire plus tard
Partager
Imprimer
Ce contenu est exclusivement réservé aux abonnés
Fil d'Ariane
Image
IRM cérébrale, séquence FLAIR : aspect normal à H2
IRM cérébrale, séquence FLAIR : aspect normal à H2
Lire aussi
Article Web
AVC : un nouveau médicament réduit de 50 % la mortalité
Exercice
Dossier progressif n° 261
Article Web
Prévention secondaire post-AVC : du nouveau ! 🎤
Article Web
AVC à la phase aiguë : d’énormes progrès, mais encore des zones d’ombre
Article Web
L’incidence des AVC augmente chez les jeunes
Article Web
Quelles cibles tensionnelles après thrombectomie ?