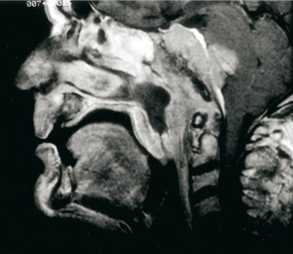
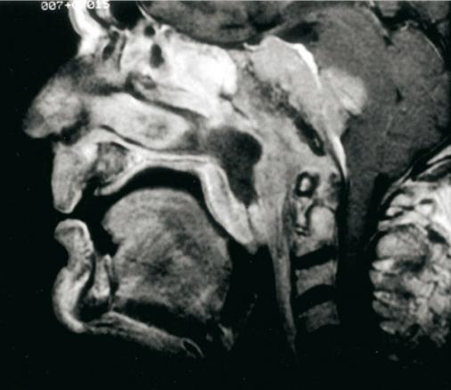
IRM incidence sagittale du nasopharynx. Carcinome indifférencié du nasopharynx étendu au sphénoïde et en intracrânien.

Lire aussi